Fer-1-like protein 6 Antibody - BSA Free

Images

 
Orthogonal Strategies: Fer-1-like protein 6 Antibody [NBP2-31004] -Analysis in human stomach and tonsil tissues using NBP2-31004antibody. Corresponding FER1L6 RNA-seq data are presented for the same tissues.
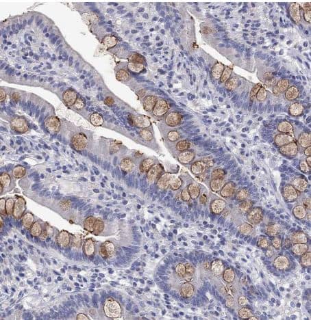
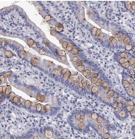
Fer-1-like protein 6 Antibody [NBP2-31004] - Staining of human stomach shows strong membranous positivity in glandular cells.
Fer-1-like protein 6 Antibody [NBP2-31004] - Staining of human small intestine shows strong membranous positivity in goblet cells.
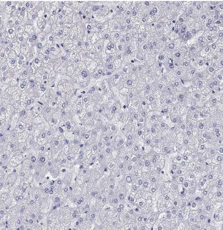
Fer-1-like protein 6 Antibody [NBP2-31004] -Staining of human liver shows no positivity in hepatocytes as expected.
Fer-1-like protein 6 Antibody [NBP2-31004] -Staining of human tonsil shows no positivity in non-germinal center cells as expected.

Product Details

Summary
Reactivity HuSpecies Glossary
Applications IHC
Clonality
Polyclonal
Host
Rabbit
Conjugate
Unconjugated
Format
BSA Free
Validated by:
       

Orthogonal Strategies

 

Order Details

View Available Formulations
Catalog# & Formulation Size Price

Fer-1-like protein 6 Antibody - BSA Free Summary

Description
Novus Biologicals Rabbit Fer-1-like protein 6 Antibody - BSA Free (NBP2-31004) is a polyclonal antibody validated for use in IHC. All Novus Biologicals antibodies are covered by our 100% guarantee.
Immunogen
This antibody was developed against a recombinant protein corresponding to amino acids: QPGHDISDSLTATESSGAHSSSQDPPADHIYVDVEPPPTVVPDSAQAQPAILVDVPDSSPMLEPEHTPVAQEPPKDGKPKD
Isotype
IgG
Clonality
Polyclonal
Host
Rabbit
Gene
FER1L6
Purity
Immunogen affinity purified
Innovator's Reward
Test in a species/application not listed above to receive a full credit towards a future purchase.

Applications/Dilutions

Dilutions
  • Immunohistochemistry 1:1000 -1:2500
  • Immunohistochemistry-Paraffin 1:1000 - 1:2500
Application Notes
For IHC-Paraffin, HIER pH 6 retrieval is recommended.
Control Peptide
Fer-1-like protein 6 Protein (NBP2-31004PEP)

Packaging, Storage & Formulations

Storage
Store at 4C short term. Aliquot and store at -20C long term. Avoid freeze-thaw cycles.
Buffer
PBS (pH 7.2) and 40% Glycerol
Preservative
0.02% Sodium Azide
Purity
Immunogen affinity purified

Alternate Names for Fer-1-like protein 6 Antibody - BSA Free

  • C8ORFK23
  • FER1L6
  • Fer-1-Like 6 (C. Elegans)

Limitations

This product is for research use only and is not approved for use in humans or in clinical diagnosis. Primary Antibodies are guaranteed for 1 year from date of receipt.

Customers Who Viewed This Item Also Viewed...

NB100-79809
Species: Hu, Mu
Applications: ChIP, ICC/IF, IP
NBP2-81733
Species: Hu, Mu, Rt
Applications: ELISA, IHC,  IHC-P, WB
NBP3-46482
Species: Hu, Mu, Rt
Applications: ELISA, IHC, WB
NB100-77279
Species: Hu, Mu
Applications: IP, WB
NBP2-38220
Species: Hu
Applications: IHC,  IHC-P, WB
H00009448-M07
Species: Bv, Hu, Pa
Applications: ELISA, ICC/IF, IHC,  IHC-P, WB

Publications for Fer-1-like protein 6 Antibody (NBP2-31004) (0)

There are no publications for Fer-1-like protein 6 Antibody (NBP2-31004).
By submitting your publication information earn gift cards and discounts for future purchases.

Reviews for Fer-1-like protein 6 Antibody (NBP2-31004) (0)

There are no reviews for Fer-1-like protein 6 Antibody (NBP2-31004). By submitting a review you will receive an Amazon e-Gift Card or Novus Product Discount.
  • Review with no image -- $10/€7/£6/$10 CAD/¥70 Yuan/¥1110 Yen
  • Review with an image -- $25/€18/£15/$25 CAD/¥150 Yuan/¥2500 Yen

Product General Protocols

Find general support by application which include: protocols, troubleshooting, illustrated assays, videos and webinars.

FAQs for Fer-1-like protein 6 Antibody (NBP2-31004) (0)

There are no specific FAQs related to this product. Read our general customer & technical service FAQs.

Secondary Antibodies

 

Isotype Controls

Additional Fer-1-like protein 6 Products

Blogs on Fer-1-like protein 6

There are no specific blogs for Fer-1-like protein 6, but you can read our latest blog posts.

Customers Who Bought This Also Bought

Contact Information

Product PDFs

Calculators

Concentration Calculator

The concentration calculator allows you to quickly calculate the volume, mass or concentration of your vial. Simply enter your mass, volume, or concentration values for your reagent and the calculator will determine the rest.

=
÷

Review this Product

Be the first to review our Fer-1-like protein 6 Antibody - BSA Free and receive a gift card or discount.

Bioinformatics

Gene Symbol FER1L6
Uniprot