FAM50B Antibody - BSA Free

Images

 
Immunocytochemistry/ Immunofluorescence: FAM50B Antibody [NBP2-49529] - Staining of human cell line HeLa shows localization to nucleoplasm & cytokinetic bridge. Antibody staining is shown in green.
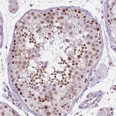
Immunohistochemistry-Paraffin: FAM50B Antibody [NBP2-49529] - Staining of human testis shows moderate nuclear positivity in cells in seminiferous ducts.

Product Details

Summary
Reactivity HuSpecies Glossary
Applications ICC/IF, IHC
Clonality
Polyclonal
Host
Rabbit
Conjugate
Unconjugated
Format
BSA Free

Order Details

View Available Formulations
Catalog# & Formulation Size Price

FAM50B Antibody - BSA Free Summary

Description
Novus Biologicals Rabbit FAM50B Antibody - BSA Free (NBP2-49529) is a polyclonal antibody validated for use in IHC and ICC/IF. All Novus Biologicals antibodies are covered by our 100% guarantee.
Immunogen
This antibody was developed against a recombinant protein corresponding to amino acids: QEALVRERERQLAKRQHLEEQRLQQ
Isotype
IgG
Clonality
Polyclonal
Host
Rabbit
Gene
FAM50B
Purity
Affinity purified
Innovator's Reward
Test in a species/application not listed above to receive a full credit towards a future purchase.

Applications/Dilutions

Dilutions
  • Immunocytochemistry/ Immunofluorescence 0.25-2 ug/ml
  • Immunohistochemistry 1:200 - 1:500
  • Immunohistochemistry-Paraffin 1:200 - 1:500
Application Notes
For IHC-Paraffin, HIER pH 6 retrieval is recommended. ICC/IF Fixation Permeabilization: Use PFA/Triton X-100.
Control Peptide
FAM50B Recombinant Protein Antigen (NBP2-49529PEP)

Packaging, Storage & Formulations

Storage
Store at 4C short term. Aliquot and store at -20C long term. Avoid freeze-thaw cycles.
Buffer
PBS (pH 7.2) and 40% Glycerol
Preservative
0.02% Sodium Azide
Purity
Affinity purified

Alternate Names for FAM50B Antibody - BSA Free

  • family with sequence similarity 50, member B
  • Protein XAP-5-like
  • X5LD6S2654E

Limitations

This product is for research use only and is not approved for use in humans or in clinical diagnosis. Primary Antibodies are guaranteed for 1 year from date of receipt.

Customers Who Viewed This Item Also Viewed...

NB100-86989
Species: Hu, Mu
Applications: IHC,  IHC-P, IP, WB
NBP2-52477
Species: Hu
Applications: CyTOF-ready, ELISA, Flow, IHC,  IHC-P, WB
NBP1-89917
Species: Hu
Applications: ICC/IF, IHC,  IHC-P, WB
NBP1-89344
Species: Hu, Ze
Applications: ICC/IF, IHC,  IHC-P, IP, WB
MAB6495
Species: Hu
Applications: ICC, Simple Western, WB
NBP1-81982
Species: Hu
Applications: IHC,  IHC-P, WB
NBP1-91904
Species: Hu
Applications: IHC,  IHC-P, WB
NBP1-85727
Species: Hu
Applications: ICC/IF, IHC,  IHC-P

Publications for FAM50B Antibody (NBP2-49529) (0)

There are no publications for FAM50B Antibody (NBP2-49529).
By submitting your publication information earn gift cards and discounts for future purchases.

Reviews for FAM50B Antibody (NBP2-49529) (0)

There are no reviews for FAM50B Antibody (NBP2-49529). By submitting a review you will receive an Amazon e-Gift Card or Novus Product Discount.
  • Review with no image -- $10/€7/£6/$10 CAD/¥70 Yuan/¥1110 Yen
  • Review with an image -- $25/€18/£15/$25 CAD/¥150 Yuan/¥2500 Yen

Product General Protocols

Find general support by application which include: protocols, troubleshooting, illustrated assays, videos and webinars.

Video Protocols

ICC/IF Video Protocol

FAQs for FAM50B Antibody (NBP2-49529) (0)

There are no specific FAQs related to this product. Read our general customer & technical service FAQs.

Customers Who Bought This Also Bought

Contact Information

Product PDFs

Calculators

Concentration Calculator

The concentration calculator allows you to quickly calculate the volume, mass or concentration of your vial. Simply enter your mass, volume, or concentration values for your reagent and the calculator will determine the rest.

=
÷

Review this Product

Be the first to review our FAM50B Antibody - BSA Free and receive a gift card or discount.

Bioinformatics

Gene Symbol FAM50B