ERP27 Antibody - BSA Free

Images

 
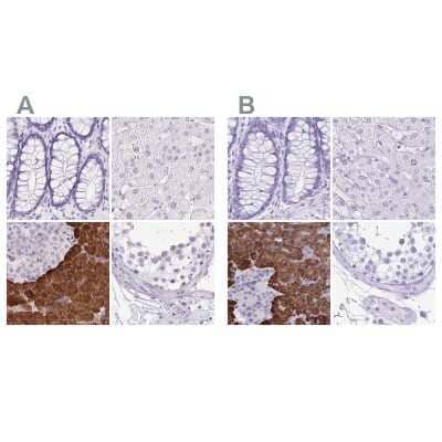
Orthogonal Strategies: Immunohistochemistry-Paraffin: ERP27 Antibody [NBP2-38679] - Staining in human pancreas and colon tissues using anti-ERP27 antibody. Corresponding ERP27 RNA-seq data are presented for the ...read more
Independent Antibodies: Immunohistochemistry-Paraffin: ERP27 Antibody [NBP2-38679] - Staining of human colon, liver, pancreas and testis using Anti-ERP27 antibody NBP2-38679 (A) shows similar protein distribution ...read more
Western Blot: ERP27 Antibody [NBP2-38679] - Analysis in control (vector only transfected HEK293T lysate) and ERP27 over-expression lysate (Co-expressed with a C-terminal myc-DDK tag (3.1 kDa) in mammalian HEK293T cells).
Immunohistochemistry-Paraffin: ERP27 Antibody [NBP2-38679] - Staining of human testis.
Immunohistochemistry-Paraffin: ERP27 Antibody [NBP2-38679] - Staining of human colon shows low expression as expected.
Immunohistochemistry-Paraffin: ERP27 Antibody [NBP2-38679] - Staining of human pancreas shows high expression.
Immunohistochemistry-Paraffin: ERP27 Antibody [NBP2-38679] - Staining of human liver.

Product Details

Summary
Reactivity HuSpecies Glossary
Applications WB, IHC
Clonality
Polyclonal
Host
Rabbit
Conjugate
Unconjugated
Format
BSA Free

Order Details

View Available Formulations
Catalog# & Formulation Size Price

ERP27 Antibody - BSA Free Summary

Description
Novus Biologicals Rabbit ERP27 Antibody - BSA Free (NBP2-38679) is a polyclonal antibody validated for use in IHC and WB. All Novus Biologicals antibodies are covered by our 100% guarantee.
Immunogen
This antibody was developed against a recombinant protein corresponding to amino acids: FQDLEIPAVPILHSMVQKFPGVSFGISTDSEVLTHYNITGNTICLFRLVDNEQLNLEDEDIESIDATKLSRFIEINSLHMVTEYNPVTVIGLFNSVIQ
Isotype
IgG
Clonality
Polyclonal
Host
Rabbit
Gene
ERP27
Purity
Immunogen affinity purified
Innovator's Reward
Test in a species/application not listed above to receive a full credit towards a future purchase.

Applications/Dilutions

Dilutions
  • Immunohistochemistry 1:1000 - 1:2500
  • Immunohistochemistry-Paraffin 1:1000 - 1:2500
  • Western Blot 0.04-0.4 ug/ml
Application Notes
For IHC-Paraffin, HIER pH 6 retrieval is recommended.
Control Peptide
ERP27 Protein (NBP2-38679PEP)

Packaging, Storage & Formulations

Storage
Store at 4C short term. Aliquot and store at -20C long term. Avoid freeze-thaw cycles.
Buffer
PBS (pH 7.2) and 40% Glycerol
Preservative
0.02% Sodium Azide
Purity
Immunogen affinity purified

Alternate Names for ERP27 Antibody - BSA Free

  • C12orf46
  • chromosome 12 open reading frame 46
  • endoplasmic reticulum protein 27 kDa
  • endoplasmic reticulum protein 27
  • endoplasmic reticulum resident protein 27
  • ER protein 27
  • ERp27
  • FLJ32115
  • PDIA8
  • protein disulfide isomerase family A, member 8

Background

ERP27 is a noncatalytic member of the protein disulfide isomerase (PDI; see MIM 608012) family of endoplasmic reticulum (ER) proteins (Alanen et al., 2006 [PubMed 16940051]).[supplied by OMIM]

Limitations

This product is for research use only and is not approved for use in humans or in clinical diagnosis. Primary Antibodies are guaranteed for 1 year from date of receipt.

Customers Who Viewed This Item Also Viewed...

NBP1-84796
Species: Hu, Mu, Rt
Applications: ICC/IF, IHC,  IHC-P, KD, WB
NBP2-38962
Species: Hu
Applications: IHC,  IHC-P
NBP1-89394
Species: Hu
Applications: ICC/IF, IHC,  IHC-P
NB600-101
Species: Bv, Ha, Hu, Mu, Pm, Rt
Applications: B/N, DB, EM, Flow, ICC/IF, IHC,  IHC-P, IP, KD, PA, Simple Western, WB

Publications for ERP27 Antibody (NBP2-38679) (0)

There are no publications for ERP27 Antibody (NBP2-38679).
By submitting your publication information earn gift cards and discounts for future purchases.

Reviews for ERP27 Antibody (NBP2-38679) (0)

There are no reviews for ERP27 Antibody (NBP2-38679). By submitting a review you will receive an Amazon e-Gift Card or Novus Product Discount.
  • Review with no image -- $10/€7/£6/$10 CAD/¥70 Yuan/¥1110 Yen
  • Review with an image -- $25/€18/£15/$25 CAD/¥150 Yuan/¥2500 Yen

Product General Protocols

Find general support by application which include: protocols, troubleshooting, illustrated assays, videos and webinars.

Video Protocols

WB Video Protocol

FAQs for ERP27 Antibody (NBP2-38679) (0)

There are no specific FAQs related to this product. Read our general customer & technical service FAQs.

Customers Who Bought This Also Bought

Contact Information

Product PDFs

Calculators

Concentration Calculator

The concentration calculator allows you to quickly calculate the volume, mass or concentration of your vial. Simply enter your mass, volume, or concentration values for your reagent and the calculator will determine the rest.

=
÷

Review this Product

Be the first to review our ERP27 Antibody - BSA Free and receive a gift card or discount.

Bioinformatics

Gene Symbol ERP27
Uniprot