ERN2 Antibody

Images

 
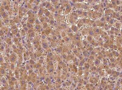
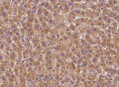
Immunohistochemistry-Paraffin: ERN2 Antibody [NBP3-05980] - Staining of human ERN2 in human liver with rabbit polyclonal antibody at 1:100 dilution.
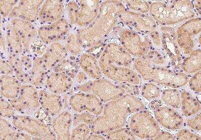
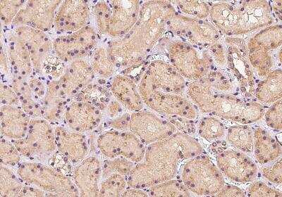
Immunohistochemistry-Paraffin: ERN2 Antibody [NBP3-05980] - Staining of human ERN2 in human kidney with rabbit polyclonal antibody at 1:100 dilution.

Product Details

Summary
Product Discontinued
View other related ERN2 Primary Antibodies

Order Details


    • Catalog Number
      NBP3-05980
    • Availability
      Product Discontinued

    Can't find what you are looking for? Use our Antibody Concierge Service & we will help you locate your antibody!

    Or feel free to contact us for alternative products.

ERN2 Antibody Summary

Description
This antibody can be stored at 2C-8C for one month without detectable loss of activity. Antibody products are stable for twelve months from date of receipt when stored at -20C to -80C. Avoid repeated freeze-thaw cycles.
Immunogen
Produced in rabbits immunized with E. coli-derived Human ERN2 fragment.
Isotype
IgG
Clonality
Polyclonal
Host
Rabbit
Gene
ERN2
Purity
Antigen and protein A Affinity-purified
Innovator's Reward
Test in a species/application not listed above to receive a full credit towards a future purchase.

Applications/Dilutions

Dilutions
  • Immunohistochemistry
  • Immunohistochemistry-Paraffin 1:50-1:200

Packaging, Storage & Formulations

Storage
Store at 4C short term. Aliquot and store at -20C long term. Avoid freeze-thaw cycles.
Buffer
PBS, pH7.0
Preservative
0.03% Proclin 300
Purity
Antigen and protein A Affinity-purified

Alternate Names for ERN2 Antibody

  • EC 2.7.11
  • endoplasmic reticulum to nucleus signaling 2
  • endoplasmic reticulum to nucleus signalling 2
  • Endoplasmic reticulum-to-nucleus signaling 2
  • ER to nucleus signalling 2
  • hIRE2p
  • inositol-requiring 1 beta
  • Inositol-requiring protein 2
  • IRE1, S. cerevisiae, homolog of
  • Ire1-beta
  • IRE1bIRE1 beta
  • IRE2
  • serine/threonine-protein kinase/endoribonuclease IRE2

Background

Induces translational repression through 28S ribosomal RNA cleavage in response to ER stress. Pro-apoptotic. Appears to play no role in the unfolded-protein response, unlike closely related proteins

Limitations

This product is for research use only and is not approved for use in humans or in clinical diagnosis. Primary Antibodies are guaranteed for 1 year from date of receipt.

Customers Who Viewed This Item Also Viewed...

NB100-2323
Species: Dr, Gt, SyHa, Hu, Ma, Pm, Mu, Po, Pm, Rb, Rt
Applications: ChIP, ELISA, IB, ICC/IF, IHC, IHC-Fr,  IHC-P, IP, In vitro, KD, Simple Western, WB
NBP1-40256
Species: Hu, Mu, Pl, Po, Rb, Rt
Applications: ChIP, CyTOF-ready, Flow-IC, Flow, IB, ICC/IF, IHC, IHC-Fr,  IHC-P, IP, KO, Simple Western, WB
NB600-1335
Species: Hu, Mu, Pm, Rt
Applications: ChIP, ELISA, Flow, GS, ICC/IF, IHC,  IHC-P, IP, KD, Simple Western, WB
AF3999
Species: Hu
Applications: KO, WB
NBP1-77681
Species: Hu, Mu
Applications: Flow, ICC/IF, IHC,  IHC-P, KD, WB
NBP1-06274
Species: Ce, Ch, Dr, Hu, Mu, Rt, Sh, Ze
Applications: Flow, ICC/IF, IHC-FrFl, IHC,  IHC-P, Simple Western, WB
NBP1-48284
Species: Hu, Mu, Rt
Applications: ICC/IF, IHC,  IHC-P, WB
AF1543
Species: Hu
Applications: IHC, WB
NBP2-67471
Species: Hu, Mu, Rt
Applications: ICC/IF, IHC,  IHC-P, WB
NB100-74510
Species: Hu, Mu, Pm, Rt
Applications: ELISA, ICC/IF, IHC,  IHC-P, IP, WB
H00009695-Q01
Species: Hu
Applications: ELISA, AP, PA, PAGE, WB
NBP2-67766
Species: Hu, Mu, Rt
Applications: Flow, ICC/IF, IHC,  IHC-P, IP, WB
MAB3277
Species: Hu, Mu, Rt
Applications: ICC, KO, WB
NBP2-01787
Species: Ca, Hu, Pm, Mu, Rt
Applications: Flow, ICC/IF, IHC,  IHC-P, WB
MAB1417
Species: Bv, Hu, Mu
Applications: ICC, IHC
NBP2-37592
Species: Hu
Applications: ELISA, Flow, ICC/IF, IHC,  IHC-P, WB

Publications for ERN2 Antibody (NBP3-05980) (0)

There are no publications for ERN2 Antibody (NBP3-05980).
By submitting your publication information earn gift cards and discounts for future purchases.

Reviews for ERN2 Antibody (NBP3-05980) (0)

There are no reviews for ERN2 Antibody (NBP3-05980). By submitting a review you will receive an Amazon e-Gift Card or Novus Product Discount.
  • Review with no image -- $10/€7/£6/$10 CAD/¥70 Yuan/¥1110 Yen
  • Review with an image -- $25/€18/£15/$25 CAD/¥150 Yuan/¥2500 Yen

Product General Protocols

Find general support by application which include: protocols, troubleshooting, illustrated assays, videos and webinars.

FAQs for ERN2 Antibody (NBP3-05980) (0)

There are no specific FAQs related to this product. Read our general customer & technical service FAQs.

Contact Information

Product PDFs

Calculators

Concentration Calculator

The concentration calculator allows you to quickly calculate the volume, mass or concentration of your vial. Simply enter your mass, volume, or concentration values for your reagent and the calculator will determine the rest.

=
÷

Review this Product

Be the first to review our ERN2 Antibody and receive a gift card or discount.

Bioinformatics

Gene Symbol ERN2