EAF2 Antibody

Images

 
Western Blot: EAF2 Antibody [NBP2-97559] - Anti-EAF2 rabbit polyclonal antibody at 1:500 dilution. Lane A: HepG2 Whole Cell Lysate Lane B: A431 Whole Cell Lysate Lane C: 293T Whole Cell Lysate Lysates/proteins at 30 ug ...read more
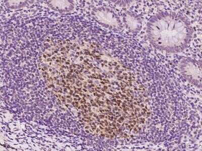
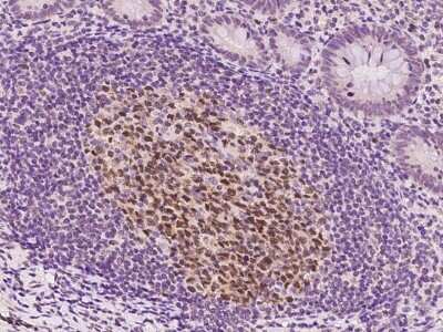
Immunohistochemistry-Paraffin: EAF2 Antibody [NBP2-97559] - Immunochemical staining of human EAF2 in human appendix with rabbit polyclonal antibody at 1:200 dilution, formalin-fixed paraffin embedded sections.

Product Details

Summary
Product Discontinued
View other related EAF2 Primary Antibodies

Order Details


    • Catalog Number
      NBP2-97559
    • Availability
      Product Discontinued

    Can't find what you are looking for? Use our Antibody Concierge Service & we will help you locate your antibody!

    Or feel free to contact us for alternative products.

EAF2 Antibody Summary

Description
This antibody can be stored at 2C to 8C for one month without detectable loss of activity. Antibody products are stable for twelve months from date of receipt when stored at -20C to -80C. Avoid repeated freeze-thaw cycles.
Immunogen
Produced in rabbits immunized with E. coli-derived Human EAF2 fragment.
Isotype
IgG
Clonality
Polyclonal
Host
Rabbit
Gene
EAF2
Purity
Antigen Affinity-purified
Innovator's Reward
Test in a species/application not listed above to receive a full credit towards a future purchase.

Applications/Dilutions

Dilutions
  • Immunohistochemistry
  • Immunohistochemistry-Paraffin
  • Western Blot

Packaging, Storage & Formulations

Storage
Store at 4C short term. Aliquot and store at -20C long term. Avoid freeze-thaw cycles.
Buffer
PBS (pH 7.0)
Preservative
0.03% Proclin 300
Purity
Antigen Affinity-purified

Alternate Names for EAF2 Antibody

  • BM040
  • ELL associated factor 2
  • testosterone regulated apoptosis inducer and tumor suppressor
  • Testosterone-regulated apoptosis inducer and tumor suppressor protein
  • TRAITSELL-associated factor 2
  • U19

Background

EAF2 acts as a transcriptional transactivator of TCEA1 elongation activity . Acts as a transcriptional transactivator of ELL and ELL2 elongation activities. Potent inducer of apoptosis in prostatic and non-prostatic cell lines. Inhibits prostate tumor growth i

Limitations

This product is for research use only and is not approved for use in humans or in clinical diagnosis. Primary Antibodies are guaranteed for 1 year from date of receipt.

Customers Who Viewed This Item Also Viewed...

NBP1-84063
Species: Hu
Applications: ChIP-EXO-SEQ, IHC,  IHC-P
NBP3-46605
Species: Hu, Mu, Rt
Applications: ELISA, ICC/IF, IHC, IP, WB
NBP2-13955
Species: Hu
Applications: IHC,  IHC-P, WB
DTSP10
Species: Hu
Applications: ELISA
DKK300
Species: Hu
Applications: ELISA
NB200-103
Species: Hu, Mu, Rt, Xp(-), Ye
Applications: CyTOF-ready, ELISA, Flow-IC, Flow, ICC/IF, IHC, IHC-Fr,  IHC-P, IP, WB
NBP2-45545
Species: Hu, Mu, Rt
Applications: IHC,  IHC-P, WB
NB100-105
Species: Bv, Ca, Fe, Ma, Hu, Pm, Mu, Po, Pm, Rb, Rt, Sh, Xp
Applications: ChIP, ChIP, ELISA, Flow, GS, IA, IB, ICC/IF, IHC-FrFl, IHC, IHC-Fr,  IHC-P, IP, In vitro, KD, KO, LA, PLA, Simple Western, TCS, WB
NBP3-45258
Species: Hu, Mu, Rt
Applications: ELISA, IHC, WB
NBP3-45183
Species: Hu, Mu, Rt
Applications: ELISA, IP, WB
AF475
Species: Mu
Applications: IHC, WB
NBP1-85482
Species: Hu
Applications: ICC/IF, IHC,  IHC-P, WB
NBP2-29463
Species: Pm, Hu, Pm, Mu
Applications: Flow, ICC/IF, IHC,  IHC-P, WB
AF231
Species: Hu
Applications: CyTOF-ready, Dual ISH-IHC, ELISA(Cap), ELISA(Det), ELISA(Sta), Flow, ICC, IHC, IP, Simple Western, WB
NBP1-28728
Species: Hu
Applications: IHC,  IHC-P, IP (-), WB
NBP2-45411
Species: Hu, Mu, Rt
Applications: IHC,  IHC-P, WB
NBP3-46113
Species: Hu, Mu, Rt
Applications: ELISA, IHC, IP, , WB
NBP2-97559
Species: Hu
Applications: WB, IHC

Publications for EAF2 Antibody (NBP2-97559) (0)

There are no publications for EAF2 Antibody (NBP2-97559).
By submitting your publication information earn gift cards and discounts for future purchases.

Reviews for EAF2 Antibody (NBP2-97559) (0)

There are no reviews for EAF2 Antibody (NBP2-97559). By submitting a review you will receive an Amazon e-Gift Card or Novus Product Discount.
  • Review with no image -- $10/€7/£6/$10 CAD/¥70 Yuan/¥1110 Yen
  • Review with an image -- $25/€18/£15/$25 CAD/¥150 Yuan/¥2500 Yen

Product General Protocols

Find general support by application which include: protocols, troubleshooting, illustrated assays, videos and webinars.

Video Protocols

WB Video Protocol

FAQs for EAF2 Antibody (NBP2-97559) (0)

There are no specific FAQs related to this product. Read our general customer & technical service FAQs.

Secondary Antibodies

 

Isotype Controls

Additional EAF2 Products

Research Areas for EAF2 Antibody (NBP2-97559)

Find related products by research area.

Blogs on EAF2

There are no specific blogs for EAF2, but you can read our latest blog posts.

Contact Information

Product PDFs

Calculators

Concentration Calculator

The concentration calculator allows you to quickly calculate the volume, mass or concentration of your vial. Simply enter your mass, volume, or concentration values for your reagent and the calculator will determine the rest.

=
÷

Review this Product

Be the first to review our EAF2 Antibody and receive a gift card or discount.

Bioinformatics

Gene Symbol EAF2