DPP8 Antibody

Images

 
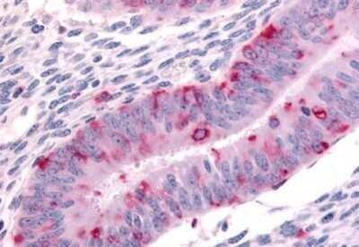
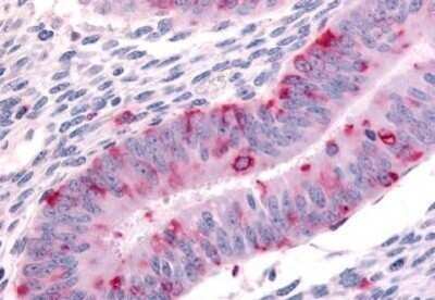
Immunohistochemistry-Paraffin: DPP8 Antibody [NB100-59022] - Analysis of anti-DPP8 antibody with human uterus at concentration 20 ug/ml.

Product Details

Summary
Product Discontinued
View other related DPP8 Primary Antibodies

Order Details


    • Catalog Number
      NB100-59022
    • Availability
      Product Discontinued

    Can't find what you are looking for? Use our Antibody Concierge Service & we will help you locate your antibody!

    Or feel free to contact us for alternative products.

DPP8 Antibody Summary

Immunogen
Synthetic 16 amino acid peptide from N-terminus of human DPP8 (NP_569118.1).
Specificity
Human DPP8. BLAST analysis of the peptide immunogen showed no homology with other human proteins, except DPP9 (56%).
Predicted Species
Mouse (94%), Rat (94%), Opossum (94%). Backed by our 100% Guarantee.
Isotype
IgG
Clonality
Polyclonal
Host
Rabbit
Gene
DPP8
Purity
Immunogen affinity purified
Innovator's Reward
Test in a species/application not listed above to receive a full credit towards a future purchase.

Applications/Dilutions

Dilutions
  • Immunohistochemistry
  • Immunohistochemistry-Paraffin 20 ug/ml
Control
DPP8 Overexpression Lysate

Reactivity Notes

Predicted cross-reactivity based on sequence identity: Gorilla (100%), Gibbon (100%), Marmoset (100%), Turkey (81%), Chicken (81%).

Packaging, Storage & Formulations

Storage
Store at 4C short term. Aliquot and store at -20C long term. Avoid freeze-thaw cycles.
Buffer
PBS
Preservative
0.1% Sodium Azide
Concentration
1.0 mg/ml
Purity
Immunogen affinity purified

Alternate Names for DPP8 Antibody

  • dipeptidyl peptidase 8
  • Dipeptidyl peptidase IV-related protein 1
  • dipeptidyl peptidase IV-related protein-1
  • dipeptidylpeptidase 8
  • dipeptidyl-peptidase 8
  • DP8
  • DP8Dipeptidyl peptidase VIII
  • DPP VIII
  • DPP8
  • DPRP1
  • DPRP-1
  • DPRP1Prolyl dipeptidase DPP8
  • EC 3.4.14.5
  • FLJ14920
  • FLJ20283
  • MGC26191
  • MSTP097
  • MSTP135
  • MSTP141

Background

This gene encodes a member of the peptidase S9B family, a small family of dipeptidyl peptidases that are able to cleave peptide substrates at a prolyl bond. The encoded protein shares similarity with dipeptidyl peptidase IV in that it is ubiquitously expressed, and hydrolyzes the same substrates. These similarities suggest that, like dipeptidyl peptidase IV, this protein may play a role in T-cell activation and immune function. Alternatively spliced transcript variants encoding different isoforms have been described.

Limitations

This product is for research use only and is not approved for use in humans or in clinical diagnosis. Primary Antibodies are guaranteed for 1 year from date of receipt.

Customers Who Viewed This Item Also Viewed...

AF1180
Species: Hu
Applications: ICC, IHC, Simple Western, WB
NBP2-01521
Species: Hu, Mu, Rt
Applications: Flow, IHC,  IHC-P, WB
AF3715
Species: Hu
Applications: Dual ISH-IHC, IHC, IP, KO, Simple Western, WB
NBP2-16669
Species: Hu, Mu, Rt
Applications: ICC/IF, IHC,  IHC-P, WB
NBP1-88502
Species: Hu
Applications: IHC,  IHC-P
AF3436
Species: Mu
Applications: IP, Neut, WB
H00005729-B01P
Species: Hu
Applications: Flow, ICC/IF, WB
NBP2-48836
Species: Ca, Hu
Applications: ICC/IF, IHC,  IHC-P
NBP2-92546
Species: Hu, Mu, Rt
Applications: ELISA, ICC/IF, IHC, WB
NBP2-33950
Species: Hu, Mu
Applications: ICC/IF, IHC,  IHC-P, WB
AF2335
Species: Mu
Applications: CyTOF-ready, Flow, ICC, IHC, IP, WB
NBP1-32870
Species: Ch, Hu
Applications: IHC,  IHC-P, IP, KD, WB
NBP1-46535
Species: Hu, Mu, Rb, Rt, Xp
Applications: ICC/IF, IHC-FrFl, IHC, IHC-Fr,  IHC-P, WB
NBP3-48674
Species: Hu, Mu, Rt, Ze
Applications: ICC/IF, IHC,  IHC-P, WB
AF5866
Species: Hu
Applications: IHC, WB
NB100-59022
Species: Hu, Po, Bt, Bv, Ca, Eq, Pm, Pm, Rb, Mu, Rt, Ma-Op
Applications: IHC

Publications for DPP8 Antibody (NB100-59022) (0)

There are no publications for DPP8 Antibody (NB100-59022).
By submitting your publication information earn gift cards and discounts for future purchases.

Reviews for DPP8 Antibody (NB100-59022) (0)

There are no reviews for DPP8 Antibody (NB100-59022). By submitting a review you will receive an Amazon e-Gift Card or Novus Product Discount.
  • Review with no image -- $10/€7/£6/$10 CAD/¥70 Yuan/¥1110 Yen
  • Review with an image -- $25/€18/£15/$25 CAD/¥150 Yuan/¥2500 Yen

Product General Protocols

Find general support by application which include: protocols, troubleshooting, illustrated assays, videos and webinars.

FAQs for DPP8 Antibody (NB100-59022) (0)

There are no specific FAQs related to this product. Read our general customer & technical service FAQs.

Contact Information

Product PDFs

Calculators

Concentration Calculator

The concentration calculator allows you to quickly calculate the volume, mass or concentration of your vial. Simply enter your mass, volume, or concentration values for your reagent and the calculator will determine the rest.

=
÷

Review this Product

Be the first to review our DPP8 Antibody and receive a gift card or discount.

Bioinformatics

Gene Symbol DPP8
Entrez
Uniprot