delta Opioid R/OPRD1 Antibody Summary
| Immunogen |
Synthetic 15 amino acid peptide from C-terminus of human Delta Opioid Receptor. |
| Localization |
Multi pass membrane protein |
| Specificity |
Human Delta Opioid Receptor. BLAST analysis of the peptide immunogen showed no homology with other human proteins. |
| Predicted Species |
Porcine (93%), Bovine (93%), Guinea Pig (93%), Rabbit (93%), Primate (93%), Monkey (93%). Backed by our 100% Guarantee. |
| Isotype |
IgG |
| Clonality |
Polyclonal |
| Host |
Rabbit |
| Gene |
OPRD1 |
| Purity |
Immunogen affinity purified |
| Innovator's Reward |
Test in a species/application not listed above to receive a full credit towards a future purchase. |
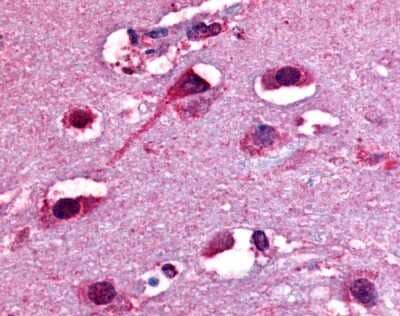
Applications/Dilutions
| Dilutions |
- Immunohistochemistry
- Immunohistochemistry-Paraffin 1:10 - 1:500
|
| Control |
|
Reactivity Notes
Predicted cross-reactivity based on sequence identity: Chimpanzee (93%), Gorilla (93%), Orangutan (93%), Galago (93%), Marmoset (93%), Rat (86%).
Packaging, Storage & Formulations
| Storage |
Store at 4C short term. Aliquot and store at -20C long term. Avoid freeze-thaw cycles. |
| Buffer |
PBS |
| Preservative |
0.1% Sodium Azide |
| Concentration |
1.0 mg/ml |
| Purity |
Immunogen affinity purified |
Alternate Names for delta Opioid R/OPRD1 Antibody
Background
OPRD1 is an Opioid Receptor that is involved in the control of anxiety, depression, and pain. It is a promising target in the therapy of mood-altering disorders and drug addiction. Delta and kappa opioid receptors function synergistically by forming heterodimers. OPRD1 expression has been reported primarily in the brain. High OPRD1 expression has been documented in the cortex, caudate, hippocampus, nucleus accumbens, and putamen; low OPRD1 expression has been identified in the cerebellum, hypothalamus, substantia nigra, and thalamus. OPRD1 expression is reduced in the putamen and amygdala of Alzheimer's patients and in the putamen in Parkinson's disease.
Limitations
This product is for research use only and is not approved for use in humans or in clinical diagnosis. Primary Antibodies are
guaranteed for 1 year from date of receipt.
Customers Who Viewed This Item Also Viewed...
Species: Hu
Applications: CyTOF-ready, Flow, ICC
Species: Rt
Applications: IHC
Species: Hu, Mu, Po, Rt, Sh
Applications: Flow, ICC/IF, IHC, IHC-P, PEP-ELISA, WB
Species: Hu, Mu, Rt
Applications: ELISA, IHC, IP, WB
Species: Hu, Rt
Applications: IHC, IHC-P, KO, WB
Species: Hu, Mu
Applications: IHC, IHC-P, WB
Species: Hu
Applications: ELISA, IP, S-ELISA, WB
Species: Hu, Mu, Rt
Applications: IHC, WB
Species: ET
Applications: ELISA, ICC/IF, IHC, IHC-P, IP, Simple Western, WB
Species: Hu
Applications: IHC, IHC-P, WB
Species: Ch
Applications: ELISA, ICC/IF, IHC, IHC-P, WB
Species: Hu, Mu, Rt
Applications: IHC, IHC-P, KD, WB
Species: Hu
Applications: WB
Species: Hu, Mu, Rt
Applications: ICC/IF, IHC, IHC-P, WB
Species: Hu, In, Mu, Pm, Rt
Applications: ICC/IF, IF, IHC (-), WB
Species: Hu
Applications: ICC, WB
Species: Hu, Mu, Rt
Applications: ICC/IF, IHC, IHC-P, WB
Species: Hu, Po, Bv, Gp, Pm, Pm, Rb
Applications: IHC
Publications for delta Opioid R/OPRD1 Antibody (NLS226) (0)
There are no publications for delta Opioid R/OPRD1 Antibody (NLS226).
By submitting your publication information earn gift cards and discounts for future purchases.
Reviews for delta Opioid R/OPRD1 Antibody (NLS226) (0)
There are no reviews for delta Opioid R/OPRD1 Antibody (NLS226).
By submitting a review you will receive an Amazon e-Gift Card or Novus Product Discount.
- Review with no image -- $10/€7/£6/$10 CAD/¥70 Yuan/¥1110 Yen
- Review with an image -- $25/€18/£15/$25 CAD/¥150 Yuan/¥2500 Yen
Product General Protocols
Find general support by application which include: protocols, troubleshooting, illustrated assays, videos and webinars.
FAQs for delta Opioid R/OPRD1 Antibody (NLS226) (0)
Control Lysate(s)
Secondary Antibodies
| |
Isotype Controls
|
Additional delta Opioid R/OPRD1 Products
Research Areas for delta Opioid R/OPRD1 Antibody (NLS226)
Find related products by research area.
|
Blogs on delta Opioid R/OPRD1