COPB2 Antibody

Images

 
Simple Western: COPB2 Antibody [NBP1-88651] - Simple Western lane view shows a specific band for COPB2 in 0.2 mg/ml of RT4 lysate. This experiment was performed under reducing conditions using the 12-230 kDa separation ...read more
Simple Western: COPB2 Antibody [NBP1-88651] - Electropherogram image(s) of corresponding Simple Western lane view. COPB2 antibody was used at 1:20 dilution on RT4 lysate(s).
Immunohistochemistry-Paraffin: COPB2 Antibody [NBP1-88651] -Staining of human pancreas shows strong cytoplasmic granular positivity in exocrine glandular cells.
Immunohistochemistry-Paraffin: COPB2 Antibody [NBP1-88651] -Staining of human duodenum shows strong cytoplasmic granular positivity in glandular cells.
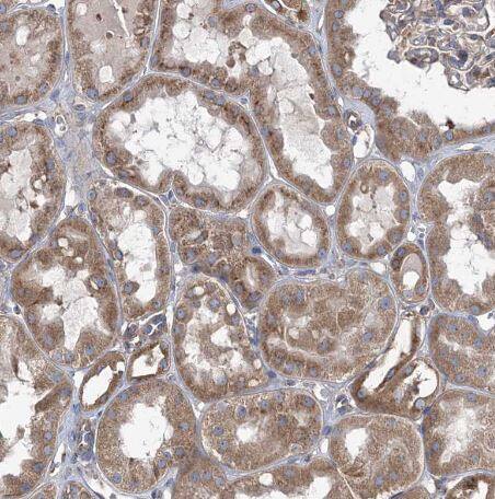
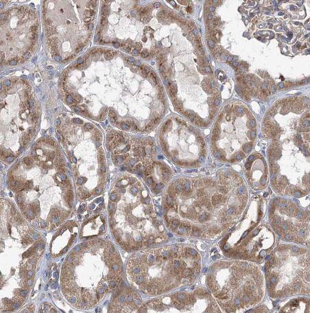
Immunohistochemistry-Paraffin: COPB2 Antibody [NBP1-88651] -Staining of human kidney shows strong cytoplasmic positivity in cells in tubules.
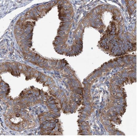
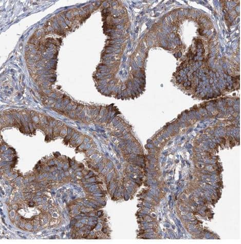
Immunohistochemistry-Paraffin: COPB2 Antibody [NBP1-88651] -Staining of human fallopian tube shows strong cytoplasmic positivity in glandular cells.

Product Details

Summary
Product Discontinued
View other related COPB2 Primary Antibodies

Order Details


    • Catalog Number
      NBP1-88651
    • Availability
      Product Discontinued

    Can't find what you are looking for? Use our Antibody Concierge Service & we will help you locate your antibody!

    Or feel free to contact us for alternative products.

COPB2 Antibody Summary

Immunogen
This antibody was developed against Recombinant Protein corresponding to amino acids: VALGYDEGSIIVKLGREEPAMSMDANGKIIWAKHSEVQQANLKAMGDAEIKDGERLPLAVKDMGSCEIYPQTIQHNPNGRFVVVCGDGEYIIYTA
Predicted Species
Mouse (99%), Rat (99%). Backed by our 100% Guarantee.
Isotype
IgG
Clonality
Polyclonal
Host
Rabbit
Gene
COPB2
Purity
Immunogen affinity purified
Innovator's Reward
Test in a species/application not listed above to receive a full credit towards a future purchase.

Applications/Dilutions

Dilutions
  • Immunohistochemistry 1:50 - 1:200
  • Immunohistochemistry-Paraffin 1:50 - 1:200
  • Simple Western 1:20
  • Western Blot Reported in scientific literature (PMID: 29946045).
Application Notes
IHC-Paraffin, HIER pH 6 retrieval is recommended.

In Simple Western only 10 - 15 uL of the recommended dilution is used per data point. Separated by Size-Wes, Sally Sue/Peggy Sue.
Publications
Read Publications using
NBP1-88651 in the following applications:

  • 1 publication
  • IP
    1 publication
  • WB
    1 publication

Packaging, Storage & Formulations

Storage
Store at 4C short term. Aliquot and store at -20C long term. Avoid freeze-thaw cycles.
Buffer
PBS (pH 7.2) and 40% Glycerol
Preservative
0.02% Sodium Azide
Purity
Immunogen affinity purified

Alternate Names for COPB2 Antibody

  • beta prime subunit
  • Beta'-coat protein
  • Beta'-COP
  • betaprime-COP
  • coatomer protein complex, subunit beta 2 (beta prime)
  • coatomer subunit beta'
  • p102

Background

May be used for studies on the effects of various agents influencing energy status, on disrupting the Golgi complex, or on altering the activity of G-proteins or small GTP-binding proteins on the cellular localization of beta-COP, and for the immunoaffinity purification of the beta-COP protein.

Limitations

This product is for research use only and is not approved for use in humans or in clinical diagnosis. Primary Antibodies are guaranteed for 1 year from date of receipt.

Customers Who Viewed This Item Also Viewed...

NBP2-29906
Species: Ca, Hu, Mu
Applications: ICC/IF, IHC,  IHC-P, IP, WB
NBP2-15578
Species: Hu, Rt
Applications: ICC/IF, IHC,  IHC-P, WB
NB100-856
Species: Hu
Applications: Flow, ICC/IF, PEP-ELISA
NBP2-55178
Species: Hu
Applications: ICC/IF, IHC,  IHC-P, WB
NBP1-89705
Species: Hu, Mu, Rt
Applications: ICC/IF, IHC,  IHC-P, WB
NBP3-38210
Species: Hu, Mu, Rt
Applications: ELISA, ICC/IF, IHC,  IHC-P, WB
NBP2-22321
Species: Hu
Applications: ICC/IF, IP, WB
NBP2-00637
Species: Hu, Mu, Rt
Applications: Flow, ICC/IF, IHC,  IHC-P, WB
NBP1-82455
Species: Hu
Applications: ICC/IF, IHC,  IHC-P, WB
NBP2-45458
Species: Hu, Mu, Rt
Applications: IHC,  IHC-P, WB
NB100-1277
Species: Bv, Ma, Hu, Mu
Applications: ChIP, ICC/IF, IHC-WhMt, IHC, IHC-Fr,  IHC-P, PEP-ELISA, WB
NBP2-38206
Species: Hu
Applications: IHC,  IHC-P, KD, WB
H00005105-M01
Species: Hu, Mu
Applications: ELISA, ICC/IF, IP, WB
NBP2-33606
Species: Hu
Applications: ICC/IF, IHC,  IHC-P, WB
NBP2-20486
Species: Hu, Mu
Applications: ICC/IF, IHC,  IHC-P, IP, WB
NBP3-22348
Species: Hu, Mu, Rt
Applications: Flow, ICC/IF, IHC, IP, WB
NB110-40591
Species: Hu
Applications: ICC/IF, IHC,  IHC-P, IP, WB
NBP2-21667
Species: Hu
Applications: ELISA, ICC/IF, IHC, PAGE, WB
NB200-106
Species: Mu, Rt
Applications: ELISA, ICC/IF, IHC, IHC-Fr,  IHC-P, WB
NBP2-16991
Species: Hu
Applications: ELISA, ICC/IF, IHC,  IHC-P, WB

Publications for COPB2 Antibody (NBP1-88651)(3)

Reviews for COPB2 Antibody (NBP1-88651) (0)

There are no reviews for COPB2 Antibody (NBP1-88651). By submitting a review you will receive an Amazon e-Gift Card or Novus Product Discount.
  • Review with no image -- $10/€7/£6/$10 CAD/¥70 Yuan/¥1110 Yen
  • Review with an image -- $25/€18/£15/$25 CAD/¥150 Yuan/¥2500 Yen

Product General Protocols

Find general support by application which include: protocols, troubleshooting, illustrated assays, videos and webinars.

Video Protocols

WB Video Protocol

FAQs for COPB2 Antibody (NBP1-88651) (0)

There are no specific FAQs related to this product. Read our general customer & technical service FAQs.

Secondary Antibodies

 

Isotype Controls

Additional COPB2 Products

Research Areas for COPB2 Antibody (NBP1-88651)

Find related products by research area.

Blogs on COPB2

There are no specific blogs for COPB2, but you can read our latest blog posts.

Contact Information

Product PDFs

Calculators

Concentration Calculator

The concentration calculator allows you to quickly calculate the volume, mass or concentration of your vial. Simply enter your mass, volume, or concentration values for your reagent and the calculator will determine the rest.

=
÷

Review this Product

Be the first to review our COPB2 Antibody and receive a gift card or discount.

Bioinformatics

Gene Symbol COPB2
Entrez
Uniprot