Centrin 1 Antibody (OTI1E1) - Azide and BSA Free

Images

 
Western Blot: Centrin 1 Antibody (OTI1E1) - Azide and BSA Free [NBP2-70408] - Analysis of HEK293T cells were transfected with the pCMV6-ENTRY control (Left lane) or pCMV6-ENTRY Centrin 1.
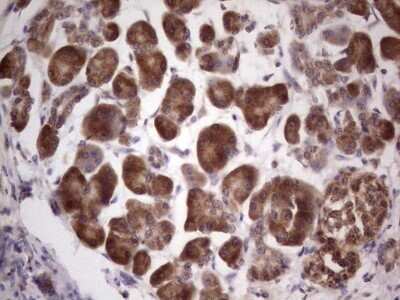
Immunohistochemistry: Centrin 1 Antibody (OTI1E1) - Azide and BSA Free [NBP2-70408] - Analysis of Carcinoma of Human pancreas tissue. (Heat-induced epitope retrieval by 1 mM EDTA in 10mM Tris, pH8.5, 120C for 3min)

Product Details

Summary
Reactivity Hu, Mu, RtSpecies Glossary
Applications WB, IHC
Clone
OTI1E1
Clonality
Monoclonal
Host
Mouse
Conjugate
Unconjugated
Format
Azide and BSA Free
Concentration
LYOPH

Order Details

Centrin 1 Antibody (OTI1E1) - Azide and BSA Free Summary

Description
Novus Biologicals Mouse Centrin 1 Antibody (OTI1E1) - Azide and BSA Free (NBP2-46253) is a monoclonal antibody validated for use in IHC and WB. All Novus Biologicals antibodies are covered by our 100% guarantee.
Immunogen
Full length human recombinant protein of human CETN1 (NP_004057) produced in E.coli.
Isotype
IgG2a
Clonality
Monoclonal
Host
Mouse
Gene
CETN1
Purity
Immunogen affinity purified
Innovator's Reward
Test in a species/application not listed above to receive a full credit towards a future purchase.

Applications/Dilutions

Dilutions
  • Immunohistochemistry 1:150
  • Immunohistochemistry-Paraffin
  • Western Blot 1:2000
Theoretical MW
19.4 kDa.
Disclaimer note: The observed molecular weight of the protein may vary from the listed predicted molecular weight due to post translational modifications, post translation cleavages, relative charges, and other experimental factors.

Reactivity Notes

Please note that this antibody is reactive to Mouse and derived from the same host, Mouse. Mouse-On-Mouse blocking reagent may be needed for IHC and ICC experiments to reduce high background signal. You can find these reagents under catalog numbers PK-2200-NB and MP-2400-NB. Please contact Technical Support if you have any questions.

Packaging, Storage & Formulations

Storage
Store at -20C. Avoid freeze-thaw cycles.
Buffer
Lyophilized from PBS (pH 7.3) with 8% Trehalose
Preservative
No Preservative
Concentration
LYOPH
Purity
Immunogen affinity purified
Reconstitution Instructions
we recommend adding 100uL distilled water to a final antibody concentration of about 1 mg/mL. To use this carrier-free antibody for conjugation experiment, we strongly recommend performing another round of desalting process.

Alternate Names for Centrin 1 Antibody (OTI1E1) - Azide and BSA Free

  • calcium binding protein
  • Caltractin isoform 2
  • caltractin
  • CEN1centrin-1
  • centrin, EF-hand protein, 1
  • CETN
  • EF-hand protein

Background

Centrin 1 is encoded by this gene plays important roles in the determination of centrosome position and segregation, and in the process of microtubule severing. This encoded protein is localized to the centrosome of interphase cells, and redistributes to the region of the spindle poles during mitosis, reflecting the dynamic behavior of the centrosome during the cell cycle.

Limitations

This product is for research use only and is not approved for use in humans or in clinical diagnosis. Primary Antibodies are guaranteed for 1 year from date of receipt.

Customers Who Viewed This Item Also Viewed...

NBP2-15669
Species: Mu, Rt, Ze
Applications: IHC-WhMt, IHC, WB
NBP2-14871
Species: Mu, Rt
Applications: ICC/IF, WB
NB120-2860
Species: Ba, Bv, Ch, Hu, Mu, Rt
Applications: ELISA, Flow, ICC/IF, IHC,  IHC-P, WB
NBP1-88213
Species: Hu
Applications: IHC,  IHC-P
H00001070-M01
Species: Ch, Hu, Mu, Rt, Ze
Applications: ELISA, ICC/IF, IP, KD, WB
NB100-1028
Species: Ca, Eq, Fe, Hu, Mu, Rt
Applications: Dual ISH-IHC, ICC/IF, IHC-FrFl, IHC-WhMt, IHC, IHC-Fr,  IHC-P, KO, PEP-ELISA, WB
NBP1-87102
Species: Hu, Mu, Rt
Applications: ICC/IF, IHC,  IHC-P, WB
NBP2-50028
Species: Bv, Hu, Mu, Rt
Applications: ICC/IF, IHC-FrFl, IHC,  IHC-P, WB
NBP1-88795
Species: Hu
Applications: IHC,  IHC-P, WB
NBP1-88213
Species: Hu
Applications: IHC,  IHC-P
NBP1-87103
Species: Hu, Mu
Applications: IHC,  IHC-P, WB
NBP2-14909
Species: Bv, Hu
Applications: ICC/IF, IHC,  IHC-P, IP, WB
NBP1-33736
Species: Hu, Mu, Rt
Applications: ICC/IF, IHC,  IHC-P, IP, WB
NBP3-32652
Species: Hu, Mu, Rt
Applications: Flow, ICC/IF, IHC,  IHC-P, WB
NBP2-24479
Species: Bv, Ca, Eq, Hu, Mu, Pm, Rt
Applications: ICC/IF, IHC,  IHC-P, WB
MAB4470
Species: All-Multi
Applications: Flow, ICC, IHC, WB
NB120-11427
Species: Fe, Hu, Mu, Rt
Applications: ELISA, ICC/IF, IHC-FrFl, IHC, IHC-Fr,  IHC-P, IP, WB
NBP2-84105
Species: Hu
Applications: IHC,  IHC-P, WB

Publications for Centrin 1 Antibody (NBP2-70408) (0)

There are no publications for Centrin 1 Antibody (NBP2-70408).
By submitting your publication information earn gift cards and discounts for future purchases.

Reviews for Centrin 1 Antibody (NBP2-70408) (0)

There are no reviews for Centrin 1 Antibody (NBP2-70408). By submitting a review you will receive an Amazon e-Gift Card or Novus Product Discount.
  • Review with no image -- $10/€7/£6/$10 CAD/¥70 Yuan/¥1110 Yen
  • Review with an image -- $25/€18/£15/$25 CAD/¥150 Yuan/¥2500 Yen

Product General Protocols

Find general support by application which include: protocols, troubleshooting, illustrated assays, videos and webinars.

Video Protocols

WB Video Protocol

FAQs for Centrin 1 Antibody (NBP2-70408) (0)

There are no specific FAQs related to this product. Read our general customer & technical service FAQs.

Secondary Antibodies

 

Isotype Controls

Additional Centrin 1 Products

Research Areas for Centrin 1 Antibody (NBP2-70408)

Find related products by research area.

Blogs on Centrin 1

There are no specific blogs for Centrin 1, but you can read our latest blog posts.

Customers Who Bought This Also Bought

Contact Information

Product PDFs

Calculators

Concentration Calculator

The concentration calculator allows you to quickly calculate the volume, mass or concentration of your vial. Simply enter your mass, volume, or concentration values for your reagent and the calculator will determine the rest.

=
÷

Review this Product

Be the first to review our Centrin 1 Antibody (OTI1E1) - Azide and BSA Free and receive a gift card or discount.

Bioinformatics

Gene Symbol CETN1