CDGSH Iron Sulfur Domain 3 Antibody

Images

 
Western Blot: CDGSH Iron Sulfur Domain 3 Antibody [NBP2-30633] - Lane 1: Marker [kDa] 250, 130, 100, 70, 55, 35, 25, 15, 10. Lane 2: A-549
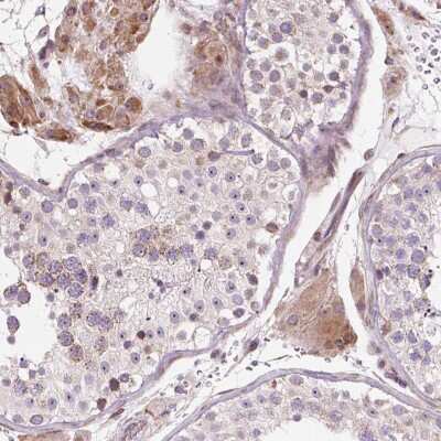
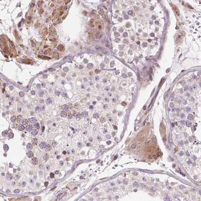
Immunohistochemistry-Paraffin: CDGSH Iron Sulfur Domain 3 Antibody [NBP2-30633] - Staining of human testis shows moderate cytoplasmic positivity in Leydig cells.
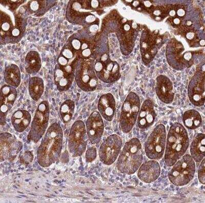
Immunohistochemistry-Paraffin: CDGSH Iron Sulfur Domain 3 Antibody [NBP2-30633] - Staining of human small intestine shows granular like cytoplasmic positivity in glandular cells.
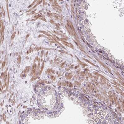
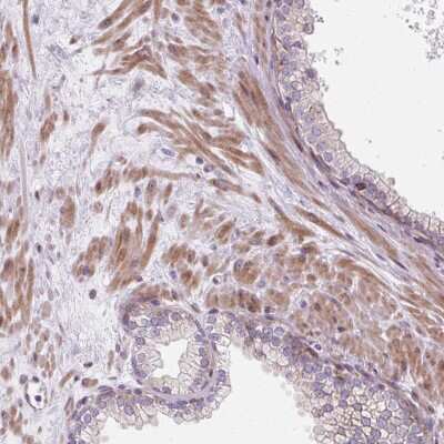
Immunohistochemistry-Paraffin: CDGSH Iron Sulfur Domain 3 Antibody [NBP2-30633] - Staining of human prostate shows moderate cytoplasmic positivity in smooth muscle cells.
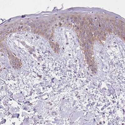
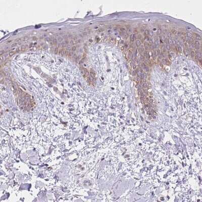
Immunohistochemistry-Paraffin: CDGSH Iron Sulfur Domain 3 Antibody [NBP2-30633] - Staining of human skin shows weak cytoplasmic positivity in squamous epithelial cells.

Product Details

Summary
Product Discontinued
View other related CDGSH Iron Sulfur Domain 3 Primary Antibodies

Order Details


    • Catalog Number
      NBP2-30633
    • Availability
      Product Discontinued

    Can't find what you are looking for? Use our Antibody Concierge Service & we will help you locate your antibody!

    Or feel free to contact us for alternative products.

CDGSH Iron Sulfur Domain 3 Antibody Summary

Immunogen
This antibody was developed against a recombinant protein corresponding to amino acids: QPFCDGSHFFQRTGLSPLKFKAQETRMVALCTCKATQRPPYCDGTHRSERVQKAEVGS
Isotype
IgG
Clonality
Polyclonal
Host
Rabbit
Gene
CISD3
Purity
Immunogen affinity purified
Innovator's Reward
Test in a species/application not listed above to receive a full credit towards a future purchase.

Applications/Dilutions

Dilutions
  • Immunohistochemistry 1:50 - 1:200
  • Immunohistochemistry-Paraffin 1:50 - 1:200
Application Notes
For IHC-Paraffin, HIER pH 6 retrieval is recommended.

Packaging, Storage & Formulations

Storage
Store at 4C short term. Aliquot and store at -20C long term. Avoid freeze-thaw cycles.
Buffer
PBS (pH 7.2) and 40% Glycerol
Preservative
0.02% Sodium Azide
Purity
Immunogen affinity purified

Alternate Names for CDGSH Iron Sulfur Domain 3 Antibody

  • CDGSH Iron Sulfur Domain-Containing Protein 3, Mitochondrial
  • CDGSH Iron-Sulfur Domain-Containing Protein 3, Mitochondrial
  • CISD3
  • Miner2
  • MitoNEET Related 2
  • MitoNEET-Related Protein 2

Limitations

This product is for research use only and is not approved for use in humans or in clinical diagnosis. Primary Antibodies are guaranteed for 1 year from date of receipt.

Customers Who Viewed This Item Also Viewed...

NB500-249
Species: Hu, Mu, Rt
Applications: Flow, ICC/IF, IHC, IHC-Fr,  IHC-P, IP, KD, Simple Western, WB
NBP1-44261
Species: Ch, Hu, Mu, Pm, Rt
Applications: ELISA, ICC/IF, IHC, WB
NBP1-87847
Species: Hu
Applications: ICC/IF, IHC,  IHC-P, WB
NB100-1240
Species: Hu
Applications: PEP-ELISA, WB
AF1197
Species: Hu, Mu, Rt
Applications: IHC, Simple Western, WB
NBP1-89222
Species: Hu, Mu
Applications: ICC/IF, IHC,  IHC-P
NBP1-84366
Species: Hu
Applications: ICC/IF, IHC,  IHC-P, WB
NBP1-96140
Species: Hu, Mu
Applications: ChIP, Flow-IC, Flow, ICC/IF, IP, WB
MAB7158
Species: Hu, Mu
Applications: IHC, WB
NB120-14817
Species: Hu, Rt
Applications: ICC/IF, IHC, S-ELISA, WB
NBP2-20223
Species: Hu, Mu, Ze
Applications: ICC/IF, IHC,  IHC-P, WB
NBP3-38629
Species: Hu, Mu, Rt
Applications: ELISA, IHC,  IHC-P, WB
NBP2-94112
Species: Hu, Mu, Rt
Applications: ICC/IF, IHC,  IHC-P, WB
NBP1-82844
Species: Hu, Mu, Rt
Applications: ICC/IF, IHC,  IHC-P, WB

Publications for CDGSH Iron Sulfur Domain 3 Antibody (NBP2-30633) (0)

There are no publications for CDGSH Iron Sulfur Domain 3 Antibody (NBP2-30633).
By submitting your publication information earn gift cards and discounts for future purchases.

Reviews for CDGSH Iron Sulfur Domain 3 Antibody (NBP2-30633) (0)

There are no reviews for CDGSH Iron Sulfur Domain 3 Antibody (NBP2-30633). By submitting a review you will receive an Amazon e-Gift Card or Novus Product Discount.
  • Review with no image -- $10/€7/£6/$10 CAD/¥70 Yuan/¥1110 Yen
  • Review with an image -- $25/€18/£15/$25 CAD/¥150 Yuan/¥2500 Yen

Product General Protocols

Find general support by application which include: protocols, troubleshooting, illustrated assays, videos and webinars.

FAQs for CDGSH Iron Sulfur Domain 3 Antibody (NBP2-30633) (0)

There are no specific FAQs related to this product. Read our general customer & technical service FAQs.

Secondary Antibodies

 

Isotype Controls

Additional CDGSH Iron Sulfur Domain 3 Products

Blogs on CDGSH Iron Sulfur Domain 3

There are no specific blogs for CDGSH Iron Sulfur Domain 3, but you can read our latest blog posts.

Contact Information

Product PDFs

Calculators

Concentration Calculator

The concentration calculator allows you to quickly calculate the volume, mass or concentration of your vial. Simply enter your mass, volume, or concentration values for your reagent and the calculator will determine the rest.

=
÷

Review this Product

Be the first to review our CDGSH Iron Sulfur Domain 3 Antibody and receive a gift card or discount.

Bioinformatics

Gene Symbol CISD3
Uniprot