CACNB3 Antibody

Images

 
Western Blot: CACNB3 Antibody [NBP2-76916] - Western blot analysis of CACNB3 on different lysates using anti-CACNB3 antibody at 1/500 dilution.Positive control:Lane1: Rat brain tissueLane2: SKOV-3
Immunohistochemistry: CACNB3 Antibody [NBP2-76916] - Immunohistochemical analysis of paraffin-embedded mouse ovary tissue using anti-CACNB3 antibody. Counter stained with hematoxylin.
Flow Cytometry: CACNB3 Antibody [NBP2-76916] - Flow cytometric analysis of SKOV-3 cells with CACNB3 antibody at 1/100 dilution (fuchsia) compared with an unlabelled control (cells without incubation with primary ...read more
Immunohistochemistry: CACNB3 Antibody [NBP2-76916] - Immunohistochemical analysis of paraffin-embedded rat brain tissue using anti-CACNB3 antibody. Counter stained with hematoxylin.
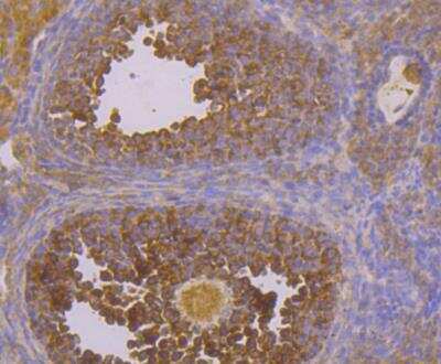
Immunohistochemistry: CACNB3 Antibody [NBP2-76916] - Immunohistochemical analysis of paraffin-embedded human uterus tissue using anti-CACNB3 antibody. Counter stained with hematoxylin.

Product Details

Summary
Product Discontinued
View other related CACNB3 Primary Antibodies

Order Details


    • Catalog Number
      NBP2-76916
    • Availability
      Product Discontinued

    Can't find what you are looking for? Use our Antibody Concierge Service & we will help you locate your antibody!

    Or feel free to contact us for alternative products.

CACNB3 Antibody Summary

Immunogen
Synthetic peptide within Human CACNB3 aa 435-484 / 484. (SwissProt: P54284 Human; SwissProt: P54285 Mouse; SwissProt: P54287 Rat)
Localization
Cytoplasm.
Isotype
IgG
Clonality
Polyclonal
Host
Rabbit
Gene
CACNB3
Purity
Immunogen affinity purified
Innovator's Reward
Test in a species/application not listed above to receive a full credit towards a future purchase.

Applications/Dilutions

Dilutions
  • Flow Cytometry 1:50-1:100
  • Immunohistochemistry
  • Immunohistochemistry-Paraffin 1:50-1:200
  • Western Blot 1:500
Theoretical MW
55 kDa.
Disclaimer note: The observed molecular weight of the protein may vary from the listed predicted molecular weight due to post translational modifications, post translation cleavages, relative charges, and other experimental factors.

Packaging, Storage & Formulations

Storage
Store at 4C short term. Aliquot and store at -20C long term. Avoid freeze-thaw cycles.
Buffer
PBS (pH7.4), 0.2% BSA, 50% Glycerol
Preservative
0.05% Sodium Azide
Concentration
1 mg/ml
Purity
Immunogen affinity purified

Alternate Names for CACNB3 Antibody

  • CAB3
  • CACNLB3
  • Calcium channel voltage-dependent subunit beta 3
  • calcium channel, voltage-dependent, beta 3 subunit
  • voltage-dependent L-type calcium channel subunit beta-3

Background

The CACNB3 gene encodes for a proteins that are long voltage dependent L-type calcium channel subunit beta-3 gene that aids in regulating surface expression, calcium transport, regulation of transcription factors, and gating of calcium channels. Isoform 3A is 484 amino acids in length with a mass of around 54 kDA while isoform 3B is 447 amino acids long at around 50 kDA. Increasingly, research has investigated the role of the CACNB3 gene in various diseases such as neuronitis, neuropathy, canavan disease, and lambert-eaton myasthenic syndrome. This gene plays a role in many pathways such as CREB transcription, the Celecoxib pathway, MAPK signaling pathway, and the Myometrial Relaxation and Contraction pathways and is known to interact with various other genes such as: CACNA1C, CACNA1B, SYT1, FASLG, and YWHAB.

Limitations

This product is for research use only and is not approved for use in humans or in clinical diagnosis. Primary Antibodies are guaranteed for 1 year from date of receipt.

Customers Who Viewed This Item Also Viewed...

NBP1-83984
Species: Hu
Applications: IHC,  IHC-P, WB
NBP3-47733
Species: Hu, Mu, Rt
Applications: ELISA, IHC, WB
NBP1-22439
Species: Ha, Hu, Mu, Rb, Rt
Applications: ICC/IF, IHC,  IHC-P, IP, MiAr, WB
NBP2-12893
Species: Hu, Mu, Rt
Applications: ICC/IF, IHC,  IHC-P, IP, MiAr, WB
664-LI
Species: Hu
Applications: BA
H00001130-Q01
Species: Hu
Applications: ELISA, AP, PA, WB
AF5489
Species: Hu
Applications: IHC, WB
H00000783-M05
Species: Hu, Mu
Applications: ELISA, WB
NBP1-84752
Species: Hu
Applications: ICC/IF, IHC,  IHC-P, WB
NBP2-13954
Species: Hu, Mu, Rt
Applications: ICC/IF, IHC,  IHC-P, WB
NBP1-88191
Species: Hu, Mu
Applications: IHC,  IHC-P, WB
NB100-695
Species: Fi, Hu, Mu, Rt
Applications: ELISA, IHC, KD, Simple Western, WB
MAB7739
Species: Hu
Applications: ICC, Simple Western, WB
NBP2-92004
Species: Hu, Mu, Rt
Applications: WB
MAB7745
Species: Hu
Applications: IHC, KO, Simple Western, WB
NBP3-13225
Species: Hu
Applications: ICC/IF, IHC,  IHC-P, WB
AF4259
Species: Hu, Mu, Rt
Applications: ICC, Simple Western, WB

Publications for CACNB3 Antibody (NBP2-76916) (0)

There are no publications for CACNB3 Antibody (NBP2-76916).
By submitting your publication information earn gift cards and discounts for future purchases.

Reviews for CACNB3 Antibody (NBP2-76916) (0)

There are no reviews for CACNB3 Antibody (NBP2-76916). By submitting a review you will receive an Amazon e-Gift Card or Novus Product Discount.
  • Review with no image -- $10/€7/£6/$10 CAD/¥70 Yuan/¥1110 Yen
  • Review with an image -- $25/€18/£15/$25 CAD/¥150 Yuan/¥2500 Yen

Product General Protocols

Find general support by application which include: protocols, troubleshooting, illustrated assays, videos and webinars.

Video Protocols

WB Video Protocol

FAQs for CACNB3 Antibody (NBP2-76916) (0)

There are no specific FAQs related to this product. Read our general customer & technical service FAQs.

Contact Information

Product PDFs

Calculators

Concentration Calculator

The concentration calculator allows you to quickly calculate the volume, mass or concentration of your vial. Simply enter your mass, volume, or concentration values for your reagent and the calculator will determine the rest.

=
÷

Review this Product

Be the first to review our CACNB3 Antibody and receive a gift card or discount.

Bioinformatics

Gene Symbol CACNB3