C3orf38 Antibody

Images

 
Western Blot: C3orf38 Antibody [NBP3-06505] - Lane A: U-251MG Whole Cell LysateLysates/proteins at 30 ug per lane.SecondaryGoat Anti-Rabbit IgG (H+L)/HRP at 1/10000 dilution.Developed using the ECL technique.Performed ...read more
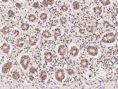
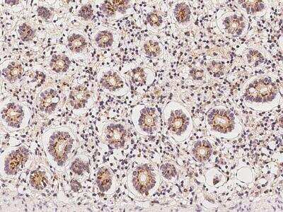
Immunohistochemistry-Paraffin: C3orf38 Antibody [NBP3-06505] - Staining of human C3orf38 in human small intestine with rabbit polyclonal antibody at 1:100 dilution.
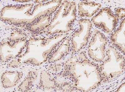
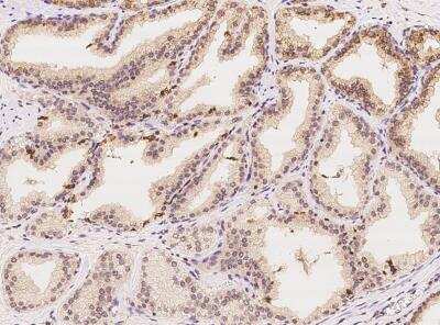
Immunohistochemistry-Paraffin: C3orf38 Antibody [NBP3-06505] - Staining of human C3orf38 in human prostate with rabbit polyclonal antibody at 1:100 dilution.
Immunoprecipitation: C3orf38 Antibody [NBP3-06505] - Lane A:0.5 mg U-251MG Whole Cell Lysate4 uL anti-C3orf38 rabbit polyclonal antibody and 60 ug of Immunomagnetic beads Protein A/G.Primary antibody:Anti-C3orf38 rabbit ...read more

Product Details

Summary
Product Discontinued
View other related C3orf38 Primary Antibodies

Order Details


    • Catalog Number
      NBP3-06505
    • Availability
      Product Discontinued

    Can't find what you are looking for? Use our Antibody Concierge Service & we will help you locate your antibody!

    Or feel free to contact us for alternative products.

C3orf38 Antibody Summary

Immunogen
Produced in rabbits immunized with E. coli-derived Human C3orf38 fragment.
Isotype
IgG
Clonality
Polyclonal
Host
Rabbit
Gene
C3orf38
Purity
Antigen and protein A Affinity-purified
Innovator's Reward
Test in a species/application not listed above to receive a full credit towards a future purchase.

Applications/Dilutions

Dilutions
  • Immunohistochemistry
  • Immunohistochemistry-Paraffin 1:50-1:200
  • Immunoprecipitation 1-5ul/mg of lysate
  • Western Blot 1:500-1:2000

Packaging, Storage & Formulations

Storage
Store at 4C short term. Aliquot and store at -20C long term. Avoid freeze-thaw cycles.
Buffer
PBS, pH7.0
Preservative
0.03% Proclin 300
Purity
Antigen and protein A Affinity-purified

Alternate Names for C3orf38 Antibody

  • chromosome 3 open reading frame 38
  • FLJ54270
  • hypothetical protein LOC285237
  • MGC26717

Background

C3orf38 may be involved in apoptosis regulation

Limitations

This product is for research use only and is not approved for use in humans or in clinical diagnosis. Primary Antibodies are guaranteed for 1 year from date of receipt.

Customers Who Viewed This Item Also Viewed...

MAB7509
Species: Hu
Applications: IHC, KO, WB
NBP2-48653
Species: Hu
Applications: ICC/IF, IHC,  IHC-P, KD, WB
NBP1-84528
Species: Hu, Mu, Rt
Applications: ICC/IF, IHC,  IHC-P, WB
NBP1-85875
Species: Hu, Rt
Applications: IHC,  IHC-P, WB
AF756
Species: Mu
Applications: IHC, WB
AF1749
Species: Rt
Applications: IHC, WB
NBP2-31590
Species: Hu
Applications: ICC/IF
NBP3-06505
Species: Hu
Applications: WB, IHC, IP

Publications for C3orf38 Antibody (NBP3-06505) (0)

There are no publications for C3orf38 Antibody (NBP3-06505).
By submitting your publication information earn gift cards and discounts for future purchases.

Reviews for C3orf38 Antibody (NBP3-06505) (0)

There are no reviews for C3orf38 Antibody (NBP3-06505). By submitting a review you will receive an Amazon e-Gift Card or Novus Product Discount.
  • Review with no image -- $10/€7/£6/$10 CAD/¥70 Yuan/¥1110 Yen
  • Review with an image -- $25/€18/£15/$25 CAD/¥150 Yuan/¥2500 Yen

Product General Protocols

Find general support by application which include: protocols, troubleshooting, illustrated assays, videos and webinars.

Video Protocols

WB Video Protocol

FAQs for C3orf38 Antibody (NBP3-06505) (0)

There are no specific FAQs related to this product. Read our general customer & technical service FAQs.

Secondary Antibodies

 

Isotype Controls

Additional C3orf38 Products

Research Areas for C3orf38 Antibody (NBP3-06505)

Find related products by research area.

Blogs on C3orf38

There are no specific blogs for C3orf38, but you can read our latest blog posts.

Contact Information

Product PDFs

Calculators

Concentration Calculator

The concentration calculator allows you to quickly calculate the volume, mass or concentration of your vial. Simply enter your mass, volume, or concentration values for your reagent and the calculator will determine the rest.

=
÷

Review this Product

Be the first to review our C3orf38 Antibody and receive a gift card or discount.

Bioinformatics

Gene Symbol C3orf38