ZNF577 Antibody

Images

 
Western Blot: ZNF577 Antibody [NBP2-31013] - Lane 1: Marker [kDa] 250, 130, 95, 72, 55, 36, 28, 17, 10. Lane 2: Human cell line RT-4. Lane 3: Human cell line U-251MG sp Lane 4: Human plasma (IgG/HSA depleted). Lane ...read more
Immunocytochemistry/ Immunofluorescence: ZNF577 Antibody [NBP2-31013] - Immunofluorescent staining of human cell line U-2 OS shows localization to nucleoplasm.
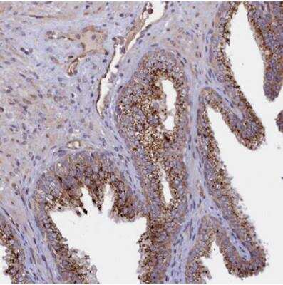
Immunohistochemistry: ZNF577 Antibody [NBP2-31013] - Staining of human prostate shows strong cytoplasmic positivity in glandular cells.

Product Details

Summary
Product Discontinued
View other related ZNF577 Primary Antibodies

Order Details


    • Catalog Number
      NBP2-31013
    • Availability
      Product Discontinued

    Can't find what you are looking for? Use our Antibody Concierge Service & we will help you locate your antibody!

    Or feel free to contact us for alternative products.

ZNF577 Antibody Summary

Immunogen
This antibody was developed against a recombinant protein corresponding to amino acids: RETAINSLTVEKPSSRSHTSLYMSELIQEQKTVNTVPIEMPSSGTPPLLNKSERLVGRNVVIVEQPFPRNQAFVVNQEFEQRISLTNEVNVAPSV
Isotype
IgG
Clonality
Polyclonal
Host
Rabbit
Gene
ZNF577
Purity
Immunogen affinity purified
Innovator's Reward
Test in a species/application not listed above to receive a full credit towards a future purchase.

Applications/Dilutions

Dilutions
  • Immunocytochemistry/ Immunofluorescence 0.25-2 ug/ml
  • Immunohistochemistry 1:20 - 1:50
  • Immunohistochemistry-Paraffin 1:20 - 1:50
  • Western Blot 0.04-0.4 ug/ml
Application Notes
For IHC-Paraffin, HIER pH 6 retrieval is recommended. Immunocytochemistry/Immunofluorescence Fixation Permeabilization: Use PFA/Triton X-100.

Packaging, Storage & Formulations

Storage
Store at 4C short term. Aliquot and store at -20C long term. Avoid freeze-thaw cycles.
Buffer
PBS (pH 7.2) and 40% Glycerol
Preservative
0.02% Sodium Azide
Purity
Immunogen affinity purified

Alternate Names for ZNF577 Antibody

  • FLJ32291
  • MGC4400
  • zinc finger protein 577

Background

ZNF577 may be involved in transcriptional regulation

Limitations

This product is for research use only and is not approved for use in humans or in clinical diagnosis. Primary Antibodies are guaranteed for 1 year from date of receipt.

Customers Who Viewed This Item Also Viewed...

MAB5696
Species: Hu, Mu
Applications: WB
NB100-56637
Species: Hu, Mu
Applications: WB
AF8218
Species: Hu
Applications: IHC, WB
AF8150
Species: Hu
Applications: ICC, ICFlow, Simple Western, WB
NBP3-47884
Species: Hu, Mu
Applications: ELISA, IHC, WB
AF2727
Species: Hu
Applications: ICC, Simple Western, WB
AF1979
Species: Hu
Applications: ICC, IHC, Simple Western, WB
NBP2-17028
Species: Hu, Mu
Applications: IHC,  IHC-P, WB
NBP2-05160
Species: Hu
Applications: WB
NBP3-32682
Species: Hu, Mu, Rt
Applications: Flow, ICC/IF, IHC,  IHC-P, WB
NB600-836
Species: Mu
Applications: ICC/IF, IHC,  IHC-P, IP, WB
AF6294
Species: Hu
Applications: ICC
H00153572-P01
Species: Hu
Applications: ELISA, AP, PA, PAGE, WB
NBP2-94197
Species: Hu, Mu
Applications: IHC,  IHC-P, WB
NBP2-24597
Species: Ch, Hu, Mu, Pm, Rt
Applications: IHC,  IHC-P, WB
NBP1-78381
Species: Hu, Mu
Applications: ICC/IF, IHC,  IHC-P, KO, WB
MAB5628
Species: Hu, Mu
Applications: WB
NBP2-31013
Species: Hu
Applications: WB, ICC/IF, IHC

Publications for ZNF577 Antibody (NBP2-31013) (0)

There are no publications for ZNF577 Antibody (NBP2-31013).
By submitting your publication information earn gift cards and discounts for future purchases.

Reviews for ZNF577 Antibody (NBP2-31013) (0)

There are no reviews for ZNF577 Antibody (NBP2-31013). By submitting a review you will receive an Amazon e-Gift Card or Novus Product Discount.
  • Review with no image -- $10/€7/£6/$10 CAD/¥70 Yuan/¥1110 Yen
  • Review with an image -- $25/€18/£15/$25 CAD/¥150 Yuan/¥2500 Yen

Product General Protocols

Find general support by application which include: protocols, troubleshooting, illustrated assays, videos and webinars.

Video Protocols

WB Video Protocol
ICC/IF Video Protocol

FAQs for ZNF577 Antibody (NBP2-31013) (0)

There are no specific FAQs related to this product. Read our general customer & technical service FAQs.

Contact Information

Product PDFs

Calculators

Concentration Calculator

The concentration calculator allows you to quickly calculate the volume, mass or concentration of your vial. Simply enter your mass, volume, or concentration values for your reagent and the calculator will determine the rest.

=
÷

Review this Product

Be the first to review our ZNF577 Antibody and receive a gift card or discount.

Bioinformatics

Gene Symbol ZNF577
Uniprot