ZNF426 Antibody - BSA Free

Images

 
Western Blot: ZNF426 Antibody [NBP2-21015] - Sample (30 ug of whole cell lysate) A: Raji 7. 5% SDS PAGE gel, diluted at 1:2000.
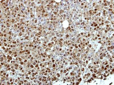
Immunohistochemistry-Paraffin: ZNF426 Antibody [NBP2-21015] - Immunohistochemical analysis of paraffin-embedded MDA-MB231 xenograft, using antibody at 1:500 dilution.

Product Details

Summary
Reactivity HuSpecies Glossary
Applications WB, IHC
Clonality
Polyclonal
Host
Rabbit
Conjugate
Unconjugated
Format
BSA Free

Order Details

ZNF426 Antibody - BSA Free Summary

Description
Novus Biologicals Rabbit ZNF426 Antibody - BSA Free (NBP2-21015) is a polyclonal antibody validated for use in IHC and WB. All Novus Biologicals antibodies are covered by our 100% guarantee.
Immunogen
Recombinant protein encompassing a sequence within the center region of human ZNF426. The exact sequence is proprietary.
Isotype
IgG
Clonality
Polyclonal
Host
Rabbit
Gene
ZNF426
Purity
Antigen Affinity-purified
Innovator's Reward
Test in a species/application not listed above to receive a full credit towards a future purchase.

Applications/Dilutions

Dilutions
  • Immunohistochemistry 10 - 1:500
  • Immunohistochemistry-Paraffin 1:100-1:1000
  • Western Blot 1:500-1:3000
Theoretical MW
63 kDa.
Disclaimer note: The observed molecular weight of the protein may vary from the listed predicted molecular weight due to post translational modifications, post translation cleavages, relative charges, and other experimental factors.

Packaging, Storage & Formulations

Storage
Aliquot and store at -20C or -80C. Avoid freeze-thaw cycles.
Buffer
0.1M Tris, 0.1M Glycine, 20% Glycerol
Preservative
0.01% Thimerosal
Purity
Antigen Affinity-purified

Alternate Names for ZNF426 Antibody - BSA Free

  • FLJ20095
  • suppressor of hairy wing homolog 3 (Drosophila)
  • Suppressor of hairy wing homolog 3
  • zinc finger protein 280C
  • Zinc finger protein 633
  • ZNF633SUHW3

Background

May be involved in transcriptional regulation.

Limitations

This product is for research use only and is not approved for use in humans or in clinical diagnosis. Primary Antibodies are guaranteed for 1 year from date of receipt.

Customers Who Viewed This Item Also Viewed...

NBP1-83341
Species: Hu
Applications: ICC/IF, IHC,  IHC-P, WB
NB110-40588
Species: Hu, Mu, Rt
Applications: Flow, IHC,  IHC-P, IP, WB
DNST0
Species: Hu
Applications: ELISA
NBP1-84730
Species: Hu
Applications: ICC/IF, IHC,  IHC-P, WB
NBP2-95260
Species: V-Vi
Applications: ELISA, IHC, WB
NBP2-21015
Species: Hu
Applications: WB, IHC
⚠ WARNING: This product can expose you to chemicals including mercury, which is known to the State of California to cause reproductive toxicity with developmental effects.  For more information go to www.P65Warnings.ca.gov.

Publications for ZNF426 Antibody (NBP2-21015) (0)

There are no publications for ZNF426 Antibody (NBP2-21015).
By submitting your publication information earn gift cards and discounts for future purchases.

Reviews for ZNF426 Antibody (NBP2-21015) (0)

There are no reviews for ZNF426 Antibody (NBP2-21015). By submitting a review you will receive an Amazon e-Gift Card or Novus Product Discount.
  • Review with no image -- $10/€7/£6/$10 CAD/¥70 Yuan/¥1110 Yen
  • Review with an image -- $25/€18/£15/$25 CAD/¥150 Yuan/¥2500 Yen

Product General Protocols

Find general support by application which include: protocols, troubleshooting, illustrated assays, videos and webinars.

Video Protocols

WB Video Protocol

FAQs for ZNF426 Antibody (NBP2-21015) (0)

There are no specific FAQs related to this product. Read our general customer & technical service FAQs.

Customers Who Bought This Also Bought

Contact Information

Product PDFs

Calculators

Concentration Calculator

The concentration calculator allows you to quickly calculate the volume, mass or concentration of your vial. Simply enter your mass, volume, or concentration values for your reagent and the calculator will determine the rest.

=
÷

Review this Product

Be the first to review our ZNF426 Antibody - BSA Free and receive a gift card or discount.

Bioinformatics

Gene Symbol ZNF426
Uniprot