ZNF224 Antibody

Images

 
Immunocytochemistry/ Immunofluorescence: ZNF224 Antibody [NBP2-30794] - Staining of human cell line HeLa shows localization to nucleoplasm & nuclear membrane. Antibody staining is shown in green.
Immunohistochemistry-Paraffin: ZNF224 Antibody [NBP2-30794] - Staining of human rectum shows moderate positivity in nuclear membrane and nucleoplasm in glandular cells.
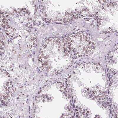
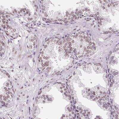
Immunohistochemistry-Paraffin: ZNF224 Antibody [NBP2-30794] - Staining of human prostate shows weak positivity in nuclear membrane in glandular cells.
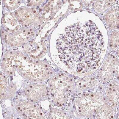
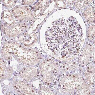
Immunohistochemistry-Paraffin: ZNF224 Antibody [NBP2-30794] - Staining of human kidney shows moderate nuclear positivity in cells in tubules, as well as moderate nuclear membrane positivity in glomeruli cells.
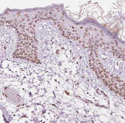
Immunohistochemistry-Paraffin: ZNF224 Antibody [NBP2-30794] - Staining of human skin shows moderate positivity in nuclear membrane in squamous epithelial cells.

Product Details

Summary
Product Discontinued
View other related ZNF224 Primary Antibodies

Order Details


    • Catalog Number
      NBP2-30794
    • Availability
      Product Discontinued

    Can't find what you are looking for? Use our Antibody Concierge Service & we will help you locate your antibody!

    Or feel free to contact us for alternative products.

ZNF224 Antibody Summary

Immunogen
This antibody was developed against a recombinant protein corresponding to amino acids: HQRRHSRETPLKCEQHGKNIVQNSFSKVQ
Isotype
IgG
Clonality
Polyclonal
Host
Rabbit
Gene
ZNF224
Purity
Immunogen affinity purified
Innovator's Reward
Test in a species/application not listed above to receive a full credit towards a future purchase.

Applications/Dilutions

Dilutions
  • Immunocytochemistry/ Immunofluorescence 0.25-2 ug/ml
  • Immunohistochemistry 1:20 - 1:50
  • Immunohistochemistry-Paraffin 1:20 - 1:50
Application Notes
For IHC-Paraffin, HIER pH 6 retrieval is recommended. ICC/IF Fixation Permeabilization: Use PFA/Triton X-100.

Packaging, Storage & Formulations

Storage
Store at 4C short term. Aliquot and store at -20C long term. Avoid freeze-thaw cycles.
Buffer
PBS (pH 7.2) and 40% Glycerol
Preservative
0.02% Sodium Azide
Purity
Immunogen affinity purified

Alternate Names for ZNF224 Antibody

  • MGC30006
  • zinc finger protein 511

Background

ZNF224 may be involved in transcriptional regulation as a transcriptional repressor

Limitations

This product is for research use only and is not approved for use in humans or in clinical diagnosis. Primary Antibodies are guaranteed for 1 year from date of receipt.

Customers Who Viewed This Item Also Viewed...

NB110-60011
Species: Hu
Applications: ICC/IF, IHC, IHC-Fr,  IHC-P, IP, Simple Western, WB
NB100-2350
Species: Hu, Mu, Rt
Applications: ChIP, ICC/IF, IHC,  IHC-P, IP, WB
H00113835-B01P
Species: Hu
Applications: ICC/IF, WB
H00010172-M01
Species: Hu
Applications: ELISA, ICC/IF, IHC,  IHC-P, S-ELISA, WB
NBP1-84108
Species: Hu
Applications: ChIP-EXO-SEQ, ICC/IF, IHC,  IHC-P
H00009534-B01P
Species: Hu
Applications: ICC/IF, WB
H00056242-P01
Species: Hu
Applications: ELISA, AP, PA, WB
NBP1-32382
Species: Hu
Applications: ICC/IF, IHC,  IHC-P, WB
NBP2-59679
Species: Hu
Applications: ICC/IF, IHC,  IHC-P, WB
NBP2-13552
Species: Hu
Applications: ICC/IF, IHC,  IHC-P
NBP1-81758
Species: Hu
Applications: ChIP-EXO-SEQ, ICC/IF, IHC,  IHC-P, WB
NBP2-56078
Species: Hu
Applications: ICC/IF, IHC,  IHC-P
NBP2-93053
Species: Hu, Mu, Rt
Applications: IHC,  IHC-P, WB
H00007576-P01
Species: Hu
Applications: ELISA, AP, PA, WB
AF2128
Species: Mu
Applications: IHC, WB
PP-H7431-00
Species: Hu
Applications: WB
NBP1-87338
Species: Hu, Mu, Rt
Applications: ICC/IF, IHC,  IHC-P, WB
H00005105-M01
Species: Hu, Mu
Applications: ELISA, ICC/IF, IP, WB
NBP2-13566
Species: Hu
Applications: ChIP-EXO-SEQ, IHC,  IHC-P, WB
NBP2-30794
Species: Hu
Applications: ICC/IF, IHC

Publications for ZNF224 Antibody (NBP2-30794) (0)

There are no publications for ZNF224 Antibody (NBP2-30794).
By submitting your publication information earn gift cards and discounts for future purchases.

Reviews for ZNF224 Antibody (NBP2-30794) (0)

There are no reviews for ZNF224 Antibody (NBP2-30794). By submitting a review you will receive an Amazon e-Gift Card or Novus Product Discount.
  • Review with no image -- $10/€7/£6/$10 CAD/¥70 Yuan/¥1110 Yen
  • Review with an image -- $25/€18/£15/$25 CAD/¥150 Yuan/¥2500 Yen

Product General Protocols

Find general support by application which include: protocols, troubleshooting, illustrated assays, videos and webinars.

Video Protocols

ICC/IF Video Protocol

FAQs for ZNF224 Antibody (NBP2-30794) (0)

There are no specific FAQs related to this product. Read our general customer & technical service FAQs.

Contact Information

Product PDFs

Calculators

Concentration Calculator

The concentration calculator allows you to quickly calculate the volume, mass or concentration of your vial. Simply enter your mass, volume, or concentration values for your reagent and the calculator will determine the rest.

=
÷

Review this Product

Be the first to review our ZNF224 Antibody and receive a gift card or discount.

Bioinformatics

Gene Symbol ZNF224
Uniprot