WSCD2 Antibody (9-F3)

Images

 
Western Blot: WSCD2 Antibody (9-F3) [NBP2-75715] - Western blot analysis of WSCD2 on WSCD2 recombinant protein lysate using anti-WSCD2 antibody at 1/2000 dilution.
Immunocytochemistry/ Immunofluorescence: WSCD2 Antibody (9-F3) [NBP2-75715] - Staining WSCD2 in SH-SY5Y cells (green). The nuclear counter stain is DAPI (blue). Cells were fixed in paraformaldehyde, permeabilised with ...read more
Immunohistochemistry-Paraffin: WSCD2 Antibody (9-F3) [NBP2-75715] - Analysis of paraffin-embedded human uterus tissue using anti-WSCD2 antibody. Counter stained with hematoxylin.
Western Blot: WSCD2 Antibody (9-F3) [NBP2-75715] - Analysis of WSCD2 on human stomach tissue lysate using anti-WSCD2 antibody at 1/1000 dilution.
Immunohistochemistry-Paraffin: WSCD2 Antibody (9-F3) [NBP2-75715] - Analysis of paraffin-embedded human thyroid tissue using anti-WSCD2 antibody. Counter stained with
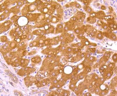
Immunohistochemistry-Paraffin: WSCD2 Antibody (9-F3) [NBP2-75715] - Analysis of paraffin-embedded human liver cancer tissue using anti-WSCD2 antibody. Counter stained with hematoxylin.

Product Details

Summary
Product Discontinued
View other related WSCD2 Primary Antibodies

Order Details


    • Catalog Number
      NBP2-75715
    • Availability
      Product Discontinued

    Can't find what you are looking for? Use our Antibody Concierge Service & we will help you locate your antibody!

    Or feel free to contact us for alternative products.

WSCD2 Antibody (9-F3) Summary

Immunogen
Recombinant protein with Human WSCD2 50-353 / 565. (SwissProt: Q2TBF2 Human)
Localization
Membrane.
Isotype
IgM
Clonality
Monoclonal
Host
Mouse
Gene
WSCD2
Purity
Protein L purified
Innovator's Reward
Test in a species/application not listed above to receive a full credit towards a future purchase.

Applications/Dilutions

Dilutions
  • Immunocytochemistry/ Immunofluorescence 1:50-1:200
  • Immunohistochemistry
  • Immunohistochemistry-Paraffin 1:100-1:500
  • Western Blot 1:500-1:2000
Theoretical MW
70 kDa.
Disclaimer note: The observed molecular weight of the protein may vary from the listed predicted molecular weight due to post translational modifications, post translation cleavages, relative charges, and other experimental factors.

Packaging, Storage & Formulations

Storage
Store at 4C short term. Aliquot and store at -20C long term. Avoid freeze-thaw cycles.
Buffer
PBS (pH7.4), 0.2% BSA, 50% Glycerol
Preservative
0.05% Sodium Azide
Concentration
2 mg/ml
Purity
Protein L purified

Alternate Names for WSCD2 Antibody (9-F3)

  • MGC117165
  • WSC domain containing 2

Limitations

This product is for research use only and is not approved for use in humans or in clinical diagnosis. Primary Antibodies are guaranteed for 1 year from date of receipt.

Customers Who Viewed This Item Also Viewed...

AF3764
Species: Hu, Mu
Applications: ICC, IHC, WB
MAB362
Species: Hu
Applications: CyTOF-ready, Flow
H00050515-M01
Species: Hu
Applications: ELISA, S-ELISA, WB
AF1265
Species: Mu
Applications: IP, Neut, WB
NBP2-19926
Species: Hu, Mu
Applications: ICC/IF, IHC,  IHC-P, WB
AF5320
Species: Hu
Applications: WB
NB100-74648
Species: Hu
Applications: ICC/IF, IHC,  IHC-P, IP, WB
H00011137-M01
Species: Hu
Applications: ELISA, ICC/IF, S-ELISA, WB
NBP2-33974
Species: Hu
Applications: IHC,  IHC-P, Simple Western, WB
MAB7428
Species: Hu, Mu, Rt
Applications: CyTOF-ready, ICFlow, WB
NBP1-92004
Species: Hu
Applications: ICC/IF, IHC,  IHC-P, WB
NB300-514
Species: Bv, Hu, Mu, Pm, Rt
Applications: CyTOF-ready, ELISA, Flow, ICC/IF, IHC,  IHC-P, IP, WB
NBP2-92741
Species: Hu, Mu, Rt
Applications: ELISA, IHC,  IHC-P, WB
NBP2-75715
Species: Hu
Applications: WB, ICC/IF, IHC

Publications for WSCD2 Antibody (NBP2-75715) (0)

There are no publications for WSCD2 Antibody (NBP2-75715).
By submitting your publication information earn gift cards and discounts for future purchases.

Reviews for WSCD2 Antibody (NBP2-75715) (0)

There are no reviews for WSCD2 Antibody (NBP2-75715). By submitting a review you will receive an Amazon e-Gift Card or Novus Product Discount.
  • Review with no image -- $10/€7/£6/$10 CAD/¥70 Yuan/¥1110 Yen
  • Review with an image -- $25/€18/£15/$25 CAD/¥150 Yuan/¥2500 Yen

Product General Protocols

Find general support by application which include: protocols, troubleshooting, illustrated assays, videos and webinars.

Video Protocols

WB Video Protocol
ICC/IF Video Protocol

FAQs for WSCD2 Antibody (NBP2-75715) (0)

There are no specific FAQs related to this product. Read our general customer & technical service FAQs.

Contact Information

Product PDFs

Calculators

Concentration Calculator

The concentration calculator allows you to quickly calculate the volume, mass or concentration of your vial. Simply enter your mass, volume, or concentration values for your reagent and the calculator will determine the rest.

=
÷

Review this Product

Be the first to review our WSCD2 Antibody (9-F3) and receive a gift card or discount.

Bioinformatics

Gene Symbol WSCD2