VWA9 Antibody - BSA Free

Images

 
Staining of human cell line U-2 OS shows localization to nucleoplasm, nuclear bodies & mitochondria.
Immunohistochemistry-Paraffin: VWA9 Antibody [NBP1-90525] - Staining of human testis shows moderate nuclear positivity in cells in seminiferus ducts and leydig cells.
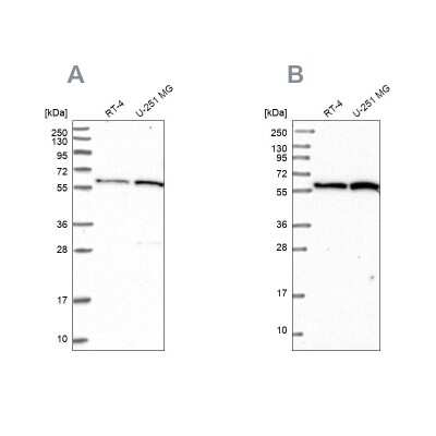
Independent Antibodies: Western Blot: VWA9 Antibody [NBP1-90525] - Analysis using Anti-INTS14 antibody NBP1-90525 (A) shows similar pattern to independent antibody NBP1-90524 (B).
Analysis in mouse cell line NIH-3T3 and rat cell line NBT-II.
Staining of human colon shows moderate nuclear positivity in glandular cells and lymphoid cells.
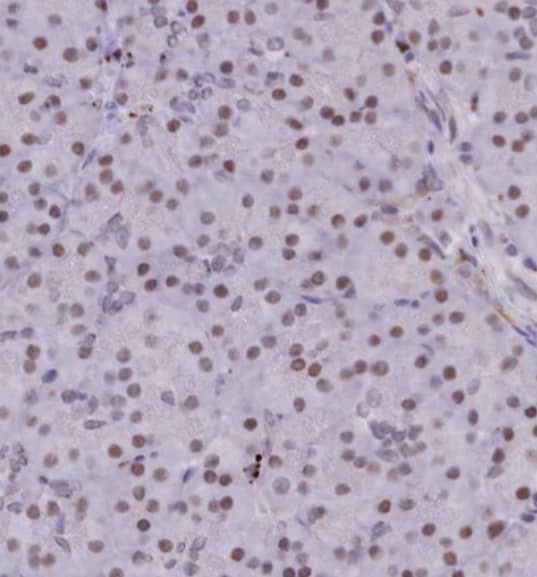
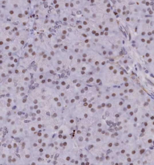
Staining of human pancreas shows moderate nuclear positivity in exocrine glandular cells.

Product Details

Summary
Reactivity Hu, Mu, RtSpecies Glossary
Applications WB, ICC/IF, IHC
Clonality
Polyclonal
Host
Rabbit
Conjugate
Unconjugated
Format
BSA Free
Validated by:
 

Independent Antibodies

       

Order Details

View Available Formulations
Catalog# & Formulation Size Price

VWA9 Antibody - BSA Free Summary

Description
Novus Biologicals Rabbit VWA9 Antibody - BSA Free (NBP1-90525) is a polyclonal antibody validated for use in IHC, WB and ICC/IF. Anti-VWA9 Antibody: Cited in 1 publication. All Novus Biologicals antibodies are covered by our 100% guarantee.
Immunogen
This antibody was developed against Recombinant Protein corresponding to amino acids: LTADVQVFPRPEPFVVDEEIDPIPKVINTDLEIVGFIDIADISSPPVLSRHLVLPIALNKEGDEVGTGITDDNEDENSANQIAGKIPNFCVLLHGSLKVEGMVAIVQL
Isotype
IgG
Clonality
Polyclonal
Host
Rabbit
Gene
VWA9
Purity
Affinity purified
Innovator's Reward
Test in a species/application not listed above to receive a full credit towards a future purchase.

Applications/Dilutions

Dilutions
  • Immunocytochemistry/ Immunofluorescence 0.25-2 ug/ml
  • Immunohistochemistry 1:1000 - 1:2500
  • Immunohistochemistry-Paraffin 1:1000-1:2500
  • Western Blot 0.04-0.4 ug/ml
Application Notes
For IHC-Paraffin, HIER pH 6 retrieval is recommended. ICC/IF,Fixation Permeabilization: Use PFA/Triton X-100.
Control Peptide
VWA9 Protein (NBP1-90525PEP)
Publications
Read Publication using NBP1-90525.

Packaging, Storage & Formulations

Storage
Store at 4C short term. Aliquot and store at -20C long term. Avoid freeze-thaw cycles.
Buffer
PBS (pH 7.2) and 40% Glycerol
Preservative
0.02% Sodium Azide
Purity
Affinity purified

Alternate Names for VWA9 Antibody - BSA Free

  • C15orf44
  • chromosome 15 open reading frame 44
  • hypothetical protein LOC81556

Limitations

This product is for research use only and is not approved for use in humans or in clinical diagnosis. Primary Antibodies are guaranteed for 1 year from date of receipt.

Customers Who Viewed This Item Also Viewed...

NBP2-45946
Species: Ca, Hu, Pm, Mu, Rt
Applications: ICC/IF, IHC,  IHC-P, WB
NBP1-51843
Species: Hu, Mu
Applications: ICC/IF, IHC,  IHC-P, Simple Western, WB
NB100-2278
Species: Hu, Mu
Applications: ICC/IF, IHC,  IHC-P
NBP2-45634
Species: Hu, Mu, Rt
Applications: IHC,  IHC-P, WB
NBP3-27724
Species: Hu
Applications: ICC/IF, IHC, WB
NBP1-81078
Species: Hu
Applications: ICC/IF, IHC,  IHC-P, WB
NBP1-91708
Species: Hu, Mu, Rt
Applications: ICC/IF, IHC,  IHC-P, WB
NBP1-90525
Species: Hu, Mu, Rt
Applications: WB, ICC/IF, IHC

Publications for VWA9 Antibody (NBP1-90525)(1)

Reviews for VWA9 Antibody (NBP1-90525) (0)

There are no reviews for VWA9 Antibody (NBP1-90525). By submitting a review you will receive an Amazon e-Gift Card or Novus Product Discount.
  • Review with no image -- $10/€7/£6/$10 CAD/¥70 Yuan/¥1110 Yen
  • Review with an image -- $25/€18/£15/$25 CAD/¥150 Yuan/¥2500 Yen

Product General Protocols

Find general support by application which include: protocols, troubleshooting, illustrated assays, videos and webinars.

Video Protocols

WB Video Protocol
ICC/IF Video Protocol

FAQs for VWA9 Antibody (NBP1-90525) (0)

There are no specific FAQs related to this product. Read our general customer & technical service FAQs.

Customers Who Bought This Also Bought

Contact Information

Product PDFs

Calculators

Concentration Calculator

The concentration calculator allows you to quickly calculate the volume, mass or concentration of your vial. Simply enter your mass, volume, or concentration values for your reagent and the calculator will determine the rest.

=
÷

Review this Product

Be the first to review our VWA9 Antibody - BSA Free and receive a gift card or discount.

Bioinformatics

Gene Symbol VWA9