TMPRSS4 Antibody

Images

 
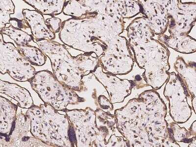
Immunohistochemistry-Paraffin: TMPRSS4 Antibody [NBP2-97970] - Staining of human TMPRSS4 in human placenta with rabbit polyclonal antibody at 1:100 dilution.

Product Details

Summary
Product Discontinued
View other related TMPRSS4 Primary Antibodies

Order Details


    • Catalog Number
      NBP2-97970
    • Availability
      Product Discontinued

    Can't find what you are looking for? Use our Antibody Concierge Service & we will help you locate your antibody!

    Or feel free to contact us for alternative products.

TMPRSS4 Antibody Summary

Description
This antibody can be stored at 2C to 8C for one month without detectable loss of activity. Antibody products are stable for twelve months from date of receipt when stored at -20C to -80C. Avoid repeated freeze-thaw cycles.
Immunogen
Produced in rabbits immunized with E. coli-derived Human TMPRSS4 fragment.
Isotype
IgG
Clonality
Polyclonal
Host
Rabbit
Gene
TMPRSS4
Purity
Antigen Affinity-purified
Innovator's Reward
Test in a species/application not listed above to receive a full credit towards a future purchase.

Applications/Dilutions

Dilutions
  • Immunohistochemistry 1:50-1:200
  • Immunohistochemistry-Paraffin 1:50-1:200

Packaging, Storage & Formulations

Storage
Store at 4C short term. Aliquot and store at -20C long term. Avoid freeze-thaw cycles.
Buffer
PBS (pH 7.0)
Preservative
0.03% Proclin 300
Purity
Antigen Affinity-purified

Alternate Names for TMPRSS4 Antibody

  • CAPH2
  • Channel-activating protease 2
  • EC 3.4.21
  • EC 3.4.21.4
  • EC 3.4.21.43
  • Membrane-type serine protease 2
  • MT-SP2
  • TMPRSS3EC 3.4.21.-
  • TMPRSS4
  • transmembrane protease serine 4
  • transmembrane protease, serine 4
  • transmembrane serine protease 3
  • Type II membrane serine protease

Background

TMPRSS4, previously known as TMPRSS3, is a 437 amino acid type II transmembrane serine protease located on human chromosome 11q23.3 that encodes 5 isoforms containing a complete coding sequence. This serine protease has a predicted molecular weight of 48 kDa with 2 glycosylation sites and the cleaved soluble protease domain has been detected in cell culture media. Functions of TMPRSS4 include embryo development, viral infection, and cancer. TMPRSS4 plays a role in the epithelial-mesenchymal transition (EMT) process and mediates cell invasion, migration, proliferation and metastasis. Overexpression of TMPRSS4 has been reported for multiple solid tumors including pancreatic, ovarian, thyroid, colorectal, lung, breast, cervical, gallbladder, gastric, and liver cancer, and has been associated with poor overall survival and reduced time to tumor progression (1,2).
TMPRSS4 has also been shown to play a role in the process of viral entry for coronaviruses and influenza viruses thru proteolytic activation of key viral glycoproteins. One pathway for SARS-CoV-2 infection, which causes the COVID-19 disease, involves binding of the SARS-CoV-2 Spike 'S' glycoprotein to the human ACE2 receptor and cleavage of S by TMPRSS2 or potentially by TMPRSS4 at the cell surface to facilitate viral entry (3).
References

1. L de Aberasturi A, Calvo A. (2015) TMPRSS4: An Emerging Potential Therapeutic Target in Cancer. Br J Cancer. 112(1):4-8. PMID: 25203520

2. Zeng P., Zhang P., Zhou L., Tang M., Shen Y., Jin J., Zhu Y., Chen M. (2016) TMPRSS4 as an emerging potential poor prognostic factor for solid tumors: A systematic review and meta-analysis. Oncotarget. 7:76327-76336. PMID: 27344186

3. Zang F, Castro MFG, McCune BT, Zeng Q, Rothlauf PW, Sonnek NM, Liu Z, Brulois KF, Wang X, Greenberg HB, Diamond MS, Ciorba MA, Whelan SPJ, and Ding S. (2020) TMPRSS2 and TMPRSS4 promote SARS-CoV-2 infection of human small intestinal enterocytes. Sci Immunol. 5(47): eabc3582. PMID: 32404436

Limitations

This product is for research use only and is not approved for use in humans or in clinical diagnosis. Primary Antibodies are guaranteed for 1 year from date of receipt.

Customers Who Viewed This Item Also Viewed...

NBP2-41304
Species: Hu, Po, Rt
Applications: ELISA, ICC/IF, IHC,  IHC-P, WB
NBP1-60106
Species: Hu
Applications: IHC,  IHC-P, WB
AF3946
Species: Hu
Applications: CyTOF-ready, ICFlow, WB
4776-SE
Species: Hu
Applications: EnzAct
NBP1-83976
Species: Hu
Applications: ICC/IF, IHC,  IHC-P
NBP1-20984
Species: Hu
Applications: ICC/IF, IHC,  IHC-P, PEP-ELISA, Simple Western, WB
NB100-807
Species: Hu
Applications: ICC/IF, PEP-ELISA, WB
NBP1-46574
Species: Hu, Mu, Rt
Applications: IHC,  IHC-P, WB
AF4599
Species: Hu
Applications: IHC, IP, Simple Western, WB
NBP1-82991
Species: Hu
Applications: ChIP-EXO-SEQ, IHC,  IHC-P, WB
DANG20
Species: Hu
Applications: ELISA
NBP3-21878
Species: Hu, Mu, Rt
Applications: Flow, ICC/IF, WB
DY2209
Species: Hu
Applications: ELISA
AF3937
Species: Hu
Applications: IHC, Simple Western, WB
NBP2-45831
Species: Hu, Mu, Rt
Applications: IHC,  IHC-P, WB
NBP2-93879
Species: Hu, Mu, Rt
Applications: ICC/IF, WB
NBP3-03833
Species: Hu, Mu
Applications: IHC,  IHC-P, WB
NBP2-97970
Species: Hu
Applications: IHC

Publications for TMPRSS4 Antibody (NBP2-97970) (0)

There are no publications for TMPRSS4 Antibody (NBP2-97970).
By submitting your publication information earn gift cards and discounts for future purchases.

Reviews for TMPRSS4 Antibody (NBP2-97970) (0)

There are no reviews for TMPRSS4 Antibody (NBP2-97970). By submitting a review you will receive an Amazon e-Gift Card or Novus Product Discount.
  • Review with no image -- $10/€7/£6/$10 CAD/¥70 Yuan/¥1110 Yen
  • Review with an image -- $25/€18/£15/$25 CAD/¥150 Yuan/¥2500 Yen

Product General Protocols

Find general support by application which include: protocols, troubleshooting, illustrated assays, videos and webinars.

FAQs for TMPRSS4 Antibody (NBP2-97970) (0)

There are no specific FAQs related to this product. Read our general customer & technical service FAQs.

Secondary Antibodies

 

Isotype Controls

Additional TMPRSS4 Products

Research Areas for TMPRSS4 Antibody (NBP2-97970)

Find related products by research area.

Blogs on TMPRSS4

There are no specific blogs for TMPRSS4, but you can read our latest blog posts.

Contact Information

Product PDFs

Calculators

Concentration Calculator

The concentration calculator allows you to quickly calculate the volume, mass or concentration of your vial. Simply enter your mass, volume, or concentration values for your reagent and the calculator will determine the rest.

=
÷

Review this Product

Be the first to review our TMPRSS4 Antibody and receive a gift card or discount.

Bioinformatics

Gene Symbol TMPRSS4