SNX18 Antibody

Images

 
Western Blot: SNX18 Antibody [NBP2-20444] - Various whole cell extracts (30 ug) were separated by 7.5% SDS-PAGE, and the membrane was blotted with SNX18 antibody [N3C2], Internal diluted at 1:500.
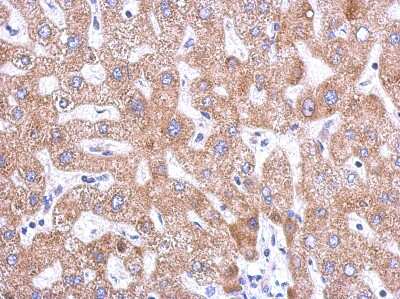
Immunohistochemistry-Paraffin: SNX18 Antibody [NBP2-20444] - Human hepatoma, using SNX18 antibody at 1:500 dilution. Antigen Retrieval: Trilogy™ (EDTA based, pH 8.0) buffer, 15min.

Product Details

Summary
Product Discontinued
View other related SNX18 Primary Antibodies

Order Details


    • Catalog Number
      NBP2-20444
    • Availability
      Product Discontinued

    Can't find what you are looking for? Use our Antibody Concierge Service & we will help you locate your antibody!

    Or feel free to contact us for alternative products.

SNX18 Antibody Summary

Immunogen
Recombinant protein encompassing a sequence within the center region of human SNX18. The exact sequence is proprietary.
Localization
Endomembrane system; Peripheral membrane protein; Cytoplasmic side
Predicted Species
Mouse (100%), Rat (100%), Rhesus Macaque (100%), Bovine (99%). Backed by our 100% Guarantee.
Isotype
IgG
Clonality
Polyclonal
Host
Rabbit
Gene
SNX18
Purity
Immunogen affinity purified
Innovator's Reward
Test in a species/application not listed above to receive a full credit towards a future purchase.

Applications/Dilutions

Dilutions
  • Immunohistochemistry 1:100-1:1000
  • Immunohistochemistry-Paraffin 1:100-1:1000
  • Western Blot 1:500-1:3000
Theoretical MW
69 kDa.
Disclaimer note: The observed molecular weight of the protein may vary from the listed predicted molecular weight due to post translational modifications, post translation cleavages, relative charges, and other experimental factors.

Packaging, Storage & Formulations

Storage
Aliquot and store at -20C or -80C. Avoid freeze-thaw cycles.
Buffer
0.1M Tris (pH 7), 0.1M Glycine, 20% Glycerol
Preservative
0.01% Thimerosal
Purity
Immunogen affinity purified

Alternate Names for SNX18 Antibody

  • FLJ11997
  • FLJ61062
  • MGC150827
  • MGC150829
  • SH3 and PX domain-containing protein 3B
  • SH3PX2
  • SH3PXD3BFLJ32560
  • SNAG1
  • sorting nexin 18
  • sorting nexin associated golgi protein 1
  • sorting nexin-18
  • Sorting nexin-associated Golgi protein 1

Background

This gene encodes a member of the sorting nexin family. Members of this family contain a phox (PX) domain, which is a phosphoinositide binding domain, and are involved in intracellular trafficking. This protein does not contain a coiled coil region, like some family members, but contains a SH3 domain. Multiple transcript variants encoding different isoforms have been found for this gene. [provided by RefSeq]

Limitations

This product is for research use only and is not approved for use in humans or in clinical diagnosis. Primary Antibodies are guaranteed for 1 year from date of receipt.

Customers Who Viewed This Item Also Viewed...

NBP2-02609
Species: Ca, Hu, Pm, Mu, Pm, Rt
Applications: Flow, ICC/IF, IHC,  IHC-P, WB
AF3926
Species: Hu, Mu, Rt
Applications: Simple Western, WB
H00257364-D01P
Species: Hu
Applications: ICC/IF, WB
NBP1-86033
Species: Hu
Applications: ICC/IF, IHC,  IHC-P, WB
NBP1-81855
Species: Hu
Applications: ICC/IF, IHC,  IHC-P, KO, WB
NBP2-47477
Species: Hu
Applications: ICC/IF, IHC,  IHC-P, KO, WB
NBP1-84491
Species: Hu
Applications: ICC/IF, IHC,  IHC-P
2914-HT
Species: Hu
Applications: BA
NB100-68142
Species: Hu
Applications: Flow, ICC/IF, PEP-ELISA, WB
NBP2-24496
Species: Bv, Ca, Eq, Hu, Mu, Ma-Op, Pm
Applications: WB
NB100-56094
Species: Hu
Applications: IHC,  IHC-P, IP, WB
NBP2-67187
Species: Hu, Mu, Rt, Ze
Applications: ICC/IF, IHC,  IHC-P, IP, WB
NBP1-20944
Species: Hu
Applications: Flow, ICC/IF, IHC,  IHC-P, PEP-ELISA, WB
PP-A9033A-00
Species: Hu
Applications: DirELISA, IHC, IP, WB
NBP2-24481
Species: Hu, Pm, Xp
Applications: IHC,  IHC-P, WB
NB100-282
Species: Hu
Applications: ICC/IF, IHC,  IHC-P, WB
NBP1-82512
Species: Hu, Mu, Rt
Applications: ICC/IF, IHC,  IHC-P, KD, Simple Western, WB
NBP2-03475
Species: Hu, Mu, Rt
Applications: Flow, IHC,  IHC-P, WB
NBP2-21037
Species: Hu
Applications: IHC,  IHC-P, WB
AF847
Species: Hu, Mu, Rt
Applications: CyTOF-ready, IHC, ICFlow, KO, Simple Western, WB
⚠ WARNING: This product can expose you to chemicals including mercury, which is known to the State of California to cause reproductive toxicity with developmental effects.  For more information go to www.P65Warnings.ca.gov.

Publications for SNX18 Antibody (NBP2-20444) (0)

There are no publications for SNX18 Antibody (NBP2-20444).
By submitting your publication information earn gift cards and discounts for future purchases.

Reviews for SNX18 Antibody (NBP2-20444) (0)

There are no reviews for SNX18 Antibody (NBP2-20444). By submitting a review you will receive an Amazon e-Gift Card or Novus Product Discount.
  • Review with no image -- $10/€7/£6/$10 CAD/¥70 Yuan/¥1110 Yen
  • Review with an image -- $25/€18/£15/$25 CAD/¥150 Yuan/¥2500 Yen

Product General Protocols

Find general support by application which include: protocols, troubleshooting, illustrated assays, videos and webinars.

Video Protocols

WB Video Protocol

FAQs for SNX18 Antibody (NBP2-20444) (0)

There are no specific FAQs related to this product. Read our general customer & technical service FAQs.

Secondary Antibodies

 

Isotype Controls

Additional SNX18 Products

Research Areas for SNX18 Antibody (NBP2-20444)

Find related products by research area.

Blogs on SNX18

There are no specific blogs for SNX18, but you can read our latest blog posts.

Contact Information

Product PDFs

Calculators

Concentration Calculator

The concentration calculator allows you to quickly calculate the volume, mass or concentration of your vial. Simply enter your mass, volume, or concentration values for your reagent and the calculator will determine the rest.

=
÷

Review this Product

Be the first to review our SNX18 Antibody and receive a gift card or discount.

Bioinformatics

Gene Symbol SNX18
Uniprot