SGK2 Antibody

Images

 
Immunohistochemistry-Paraffin: SGK2 Antibody [NLS7221] - Anti-SGK2 antibody IHC of human Lung, Non-Small Cell Carcinoma. Immunohistochemistry of formalin-fixed, paraffin-embedded tissue after heat-induced antigen ...read more
Immunohistochemistry-Paraffin: SGK2 Antibody [NLS7221] - Analysis of anti-SGK2 antibody with human kidney, tubules at dilution 7 ug/ml.
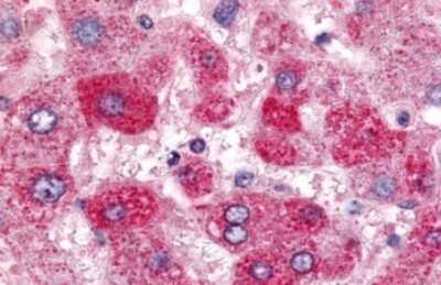
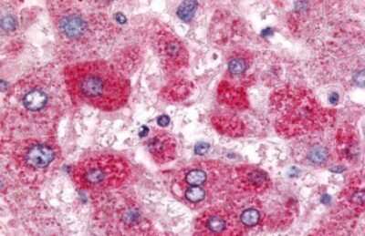
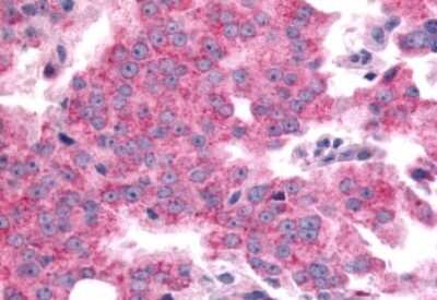
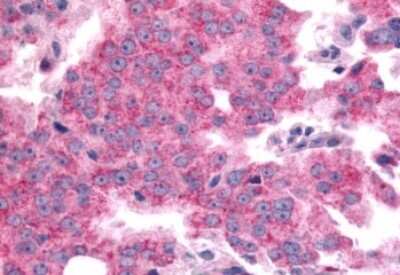
Immunohistochemistry-Paraffin: SGK2 Antibody [NLS7221] - Anti-SGK2 antibody IHC of human liver. Immunohistochemistry of formalin-fixed, paraffin-embedded tissue after heat-induced antigen retrieval. Antibody dilution 7 ...read more
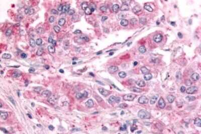
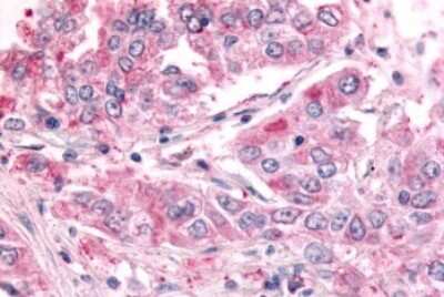
Immunohistochemistry-Paraffin: SGK2 Antibody [NLS7221] - Anti-SGK2 antibody IHC of human Prostate, Carcinoma. Immunohistochemistry of formalin-fixed, paraffin-embedded tissue after heat-induced antigen retrieval.

Product Details

Summary
Product Discontinued
View other related SGK2 Primary Antibodies

Order Details


    • Catalog Number
      NLS7221
    • Availability
      Product Discontinued

    Can't find what you are looking for? Use our Antibody Concierge Service & we will help you locate your antibody!

    Or feel free to contact us for alternative products.

SGK2 Antibody Summary

Immunogen
Synthetic 16 amino acid peptide from internal region of human SGK2.
Epitope
internal domain of human
Specificity
Serum/Glucocorticoid Regulated Kinase 2
Isotype
IgG
Clonality
Polyclonal
Host
Rabbit
Gene
SGK2
Purity
Immunogen affinity purified
Innovator's Reward
Test in a species/application not listed above to receive a full credit towards a future purchase.

Applications/Dilutions

Dilutions
  • Immunohistochemistry
  • Immunohistochemistry-Paraffin 7 ug/ml

Reactivity Notes

Human.

Packaging, Storage & Formulations

Storage
Store at 4C short term. Aliquot and store at -20C long term. Avoid freeze-thaw cycles.
Buffer
PBS
Preservative
0.1% Sodium Azide
Concentration
1.0 mg/ml
Purity
Immunogen affinity purified

Alternate Names for SGK2 Antibody

  • dJ138B7.2
  • EC 2.7.11
  • EC 2.7.11.1
  • H-SGK2
  • serine/threonine-protein kinase Sgk2
  • serum/glucocorticoid regulated kinase 2
  • Serum/glucocorticoid-regulated kinase 2
  • SGK2
  • Sgkl

Background

SGK2 is a SGK type protein kinase. Although little is known about the transcriptional regulation of SGK2, the protein has been shown to be phosphorylated and activated by 3-phosphoinositide-dependent protein kinase 1 (PDK1), and to a lesser extent insulin-like growth factor-1, in vitro. SGK2 expression has been documented in kidney, liver and pancreas, and to a lesser extent brain. ESTs have been isolated from human tissue libraries, including normal colon, kidney and skin and cancerous liver, kidney and colon.

Limitations

This product is for research use only and is not approved for use in humans or in clinical diagnosis. Primary Antibodies are guaranteed for 1 year from date of receipt.

Customers Who Viewed This Item Also Viewed...

AF3200
Species: Hu
Applications: IHC, WB
NB100-59014
Species: Hu
Applications: ELISA, ICC/IF, IHC,  IHC-P
MAB6210
Species: Hu
Applications: Simple Western, WB
H00023327-P01
Species: Hu
Applications: ELISA, AP, PA, WB
AF887
Species: Hu, Mu, Rt
Applications: CyTOF-ready, IHC, ICFlow, Simple Western, WB
NBP1-82574
Species: Hu, Mu, Po
Applications: ICC/IF, IHC, IHC-Fr,  IHC-P, PAGE, WB
MAB864
Species: Hu, Mu, Rt
Applications: ICC, Simple Western, WB
NB100-2383
Species: Hu
Applications: ICC/IF, WB
NBP2-62651
Species: Hu
Applications: IHC,  IHC-P, WB
NBP2-12897
Species: Ha, Hu, Mu, Rt
Applications: ICC/IF, IHC,  IHC-P, IP, MiAr, WB
H00003753-M01
Species: Ca, Gp, Hu, Pm, Rt
Applications: ELISA, ICC/IF, KD, WB
NBP2-48533
Species: Hu
Applications: IHC,  IHC-P
NBP2-48740
Species: Hu
Applications: ICC/IF, IHC,  IHC-P
NBP2-59319
Species: Hu, Rt
Applications: ICC/IF, IP, WB
MAB1417
Species: Bv, Hu, Mu
Applications: ICC, IHC
NB100-93520
Species: Hu
Applications: PEP-ELISA, WB
NBP1-82604
Species: Hu
Applications: IHC,  IHC-P
NBP2-11567
Species: Hu, Mu
Applications: IHC,  IHC-P, PEP-ELISA, WB

Publications for SGK2 Antibody (NLS7221) (0)

There are no publications for SGK2 Antibody (NLS7221).
By submitting your publication information earn gift cards and discounts for future purchases.

Reviews for SGK2 Antibody (NLS7221) (0)

There are no reviews for SGK2 Antibody (NLS7221). By submitting a review you will receive an Amazon e-Gift Card or Novus Product Discount.
  • Review with no image -- $10/€7/£6/$10 CAD/¥70 Yuan/¥1110 Yen
  • Review with an image -- $25/€18/£15/$25 CAD/¥150 Yuan/¥2500 Yen

Product General Protocols

View specific protocols for SGK2 Antibody (NLS7221): Find general support by application which include: protocols, troubleshooting, illustrated assays, videos and webinars.

FAQs for SGK2 Antibody (NLS7221) (0)

There are no specific FAQs related to this product. Read our general customer & technical service FAQs.

Secondary Antibodies

 

Isotype Controls

Additional SGK2 Products

Research Areas for SGK2 Antibody (NLS7221)

Find related products by research area.

Blogs on SGK2

There are no specific blogs for SGK2, but you can read our latest blog posts.

Contact Information

Product PDFs

Calculators

Concentration Calculator

The concentration calculator allows you to quickly calculate the volume, mass or concentration of your vial. Simply enter your mass, volume, or concentration values for your reagent and the calculator will determine the rest.

=
÷

Review this Product

Be the first to review our SGK2 Antibody and receive a gift card or discount.

Bioinformatics

Gene Symbol SGK2