SDCCAG8 Antibody

Images

 
Western Blot: SDCCAG8 Antibody [NBP2-27499] - (0.3 ug/ml) staining of HepG2 lysate (35 ug protein in RIPA buffer). Primary incubation was 1 hour. Detected by chemiluminescence.

Product Details

Summary
Reactivity Hu, Mu, Rt, Po, CaSpecies Glossary
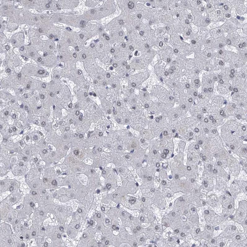
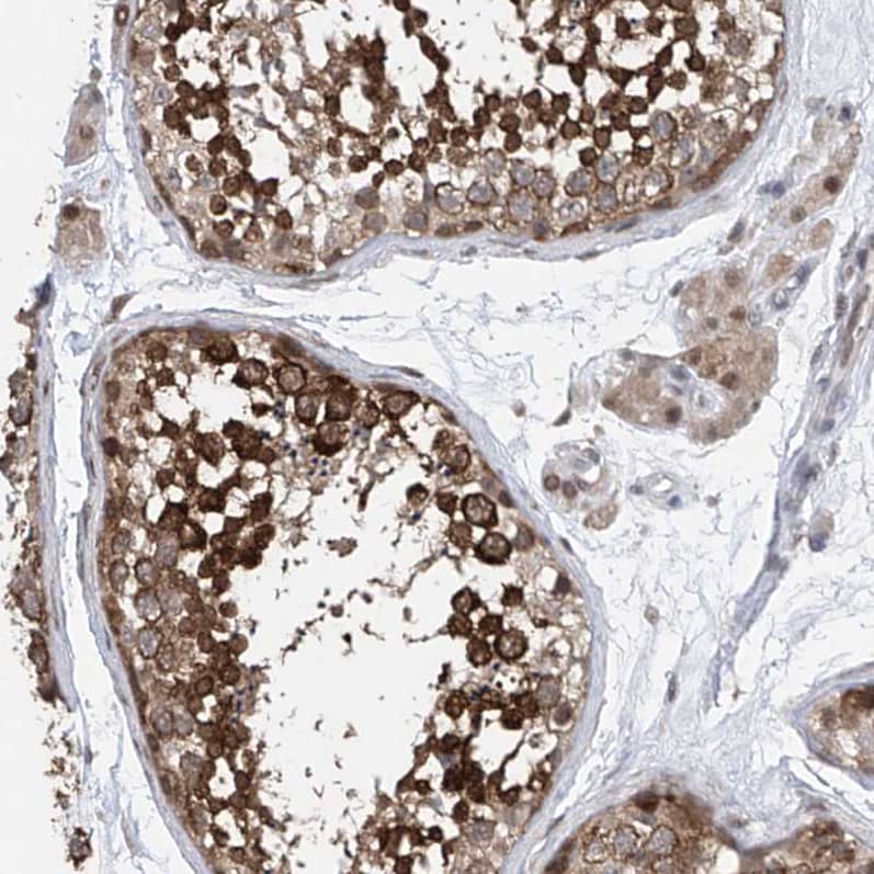
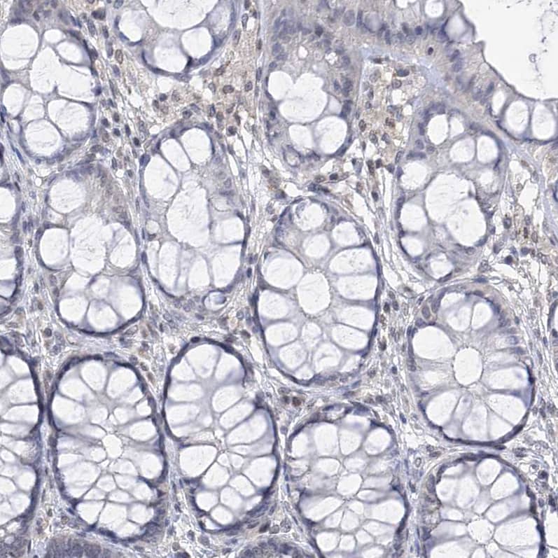
Applications WB, ELISA, IHC
Clonality
Polyclonal
Host
Goat
Conjugate
Unconjugated
Concentration
0.5 mg/ml

Order Details

SDCCAG8 Antibody Summary

Description
Novus Biologicals Goat SDCCAG8 Antibody (NBP2-27499) is a polyclonal antibody validated for use in IHC, WB and ELISA. Anti-SDCCAG8 Antibody: Cited in 1 publication. All Novus Biologicals antibodies are covered by our 100% guarantee.
Immunogen
Peptide with sequence C-TINDQSQYIHHLEAE corresponding to internal region according to NP_006633.1.
Predicted Species
Mouse (100%), Rat (100%), Porcine (100%), Canine (100%). Backed by our 100% Guarantee.
Isotype
IgG
Clonality
Polyclonal
Host
Goat
Gene
SDCCAG8
Purity
Immunogen affinity purified
Innovator's Reward
Test in a species/application not listed above to receive a full credit towards a future purchase.

Applications/Dilutions

Dilutions
  • Immunohistochemistry 1:10-1:500
  • Peptide ELISA Detection limit 1:128000
  • Western Blot 0.3 - 1 ug/ml
Application Notes
WB: Approx. 80 kDa band observed in HEK293 lysates (calculated MW of 82.7 kDa band according to NP_006633.1).
Publications
Read Publication using NBP2-27499.

Packaging, Storage & Formulations

Storage
Store at -20C. Avoid freeze-thaw cycles.
Buffer
Tris saline (20 mM Tris pH 7.3, 150 mM NaCl), 0.5% BSA
Preservative
0.02% Sodium Azide
Concentration
0.5 mg/ml
Purity
Immunogen affinity purified

Alternate Names for SDCCAG8 Antibody

  • CCCAPAntigen NY-CO-8
  • Centrosomal colon cancer autoantigen protein
  • hCCCAP
  • NPHP10
  • NY-CO-8
  • serologically defined colon cancer antigen 8
  • SLSN7

Background

SDCCAG8 is a gene that codes for a protein with four isoforms, with weights of 713, 360, 634, and 669 amino acids and weights of approximately 83, 41, 73, and 78 kDa respectively. The protein coded by SDCCAG8 helps in the formation of epithelial lumen as well as the establishment of cell polarity and is expressed in the thymus, prostate, testis, ovary, small intestine and mucosa as well as in colon and renal cancer tumors. Current studies are being done on several diseases and disorders linked to this gene including colon cancer, Senior-Loken syndrome, Bardet-Biegl syndrome, retinitis, nystagmus, eye disease, polydactyly, multiple sclerosis, and prostatitis. SDCCAG8 has also been shown to have interactions with TSC1, TRAF6, ALMS1, CEP152, and CEP164 in pathways such as the centrosome maturation, cell cycle, and G2/M transition pathways.

Limitations

This product is for research use only and is not approved for use in humans or in clinical diagnosis. Primary Antibodies are guaranteed for 1 year from date of receipt.

Customers Who Viewed This Item Also Viewed...

NBP1-32843
Species: Hu, Mu
Applications: IHC,  IHC-P, WB
AF7116
Species: Hu
Applications: WB
NBP3-05039
Species: Hu, Mu, Rt
Applications: ELISA, WB
NBP3-38255
Species: Hu, Mu, Rt
Applications: ELISA, ICC/IF, IHC,  IHC-P, WB
NBP2-81843
Species: Hu, Mu, Rt
Applications: ELISA, ICC/IF, IHC,  IHC-P, WB
NBP2-93637
Species: Hu, Mu, Rt
Applications: ELISA, ICC/IF, WB
NBP2-41103
Species: Hu, Mu, Rt
Applications: ELISA, ICC/IF, IHC,  IHC-P, WB
NBP3-16285
Species: Hu
Applications: ICC/IF, IHC,  IHC-P, IP, WB
NB200-103
Species: Hu, Mu, Rt, Xp(-), Ye
Applications: CyTOF-ready, ELISA, Flow-IC, Flow, ICC/IF, IHC, IHC-Fr,  IHC-P, IP, WB
NBP2-93653
Species: Hu, Mu, Rt
Applications: ELISA, ICC/IF, IHC,  IHC-P, WB
NBP2-76351
Species: Hu
Applications: Flow, ICC/IF, PEP-ELISA
NBP1-88692
Species: Hu, Rt
Applications: IHC,  IHC-P, WB
H00003217-M03
Species: Hu, Rb
Applications: ELISA, Func, IHC,  IHC-P, WB
NBP2-55753
Species: Hu
Applications: IHC,  IHC-P
NB100-86991
Species: Hu, Mu
Applications: ICC/IF, IP, WB
NBP1-78206
Species: Hu
Applications: IP, WB
NBP1-88213
Species: Hu
Applications: IHC,  IHC-P
5609-MU
Species: Hu
Applications: Bind

Publications for SDCCAG8 Antibody (NBP2-27499)(1)

Reviews for SDCCAG8 Antibody (NBP2-27499) (0)

There are no reviews for SDCCAG8 Antibody (NBP2-27499). By submitting a review you will receive an Amazon e-Gift Card or Novus Product Discount.
  • Review with no image -- $10/€7/£6/$10 CAD/¥70 Yuan/¥1110 Yen
  • Review with an image -- $25/€18/£15/$25 CAD/¥150 Yuan/¥2500 Yen

Product General Protocols

Find general support by application which include: protocols, troubleshooting, illustrated assays, videos and webinars.

Video Protocols

WB Video Protocol

FAQs for SDCCAG8 Antibody (NBP2-27499) (0)

There are no specific FAQs related to this product. Read our general customer & technical service FAQs.

Customers Who Bought This Also Bought

Contact Information

Product PDFs

Calculators

Concentration Calculator

The concentration calculator allows you to quickly calculate the volume, mass or concentration of your vial. Simply enter your mass, volume, or concentration values for your reagent and the calculator will determine the rest.

=
÷

Review this Product

Be the first to review our SDCCAG8 Antibody and receive a gift card or discount.

Bioinformatics

Gene Symbol SDCCAG8
Entrez
Uniprot