RPS20 Antibody (SC65-08)

Images

 
Western Blot: RPS20 Antibody (SC65-08) [NBP2-67628] - Analysis of RPS20 on different lysates with Rabbit anti-RPS20 antibody at 1/500 dilution. Lane 1: Hela cell lysate Lane 2: HUVEC cell lysate Lysates/proteins at 10 ...read more
Immunocytochemistry/ Immunofluorescence: RPS20 Antibody (SC65-08) [NBP2-67628] - ICC staining RPS20 in Hela cells (green). The nuclear counter stain is DAPI (blue). Cells were fixed in paraformaldehyde, permeabilized ...read more
Immunohistochemistry-Paraffin: RPS20 Antibody (SC65-08) [NBP2-67628] - Analysis of paraffin-embedded mouse brain tissue with Rabbit anti-RPS20 antibody washed with ddH2O and PBS, and then probed with the primary ...read more
Western Blot: RPS20 Antibody (SC65-08) [NBP2-67628] - Analysis of RPS20 on different lysates using anti-RPS20 antibody at 1/1,000 dilution. Positive control: Lane 1: Hela Lane 2: A431
Immunocytochemistry/ Immunofluorescence: RPS20 Antibody (SC65-08) [NBP2-67628] - ICC staining RPS20 in B16-F1 cells (green). The nuclear counter stain is DAPI (blue). Cells were fixed in paraformaldehyde, permeabilized ...read more
Immunohistochemistry-Paraffin: RPS20 Antibody (SC65-08) [NBP2-67628] - Analysis of paraffin-embedded human colon carcinoma tissue with Rabbit anti-RPS20 antibody washed with ddH2O and PBS, and then probed with the ...read more
Immunohistochemistry-Paraffin: RPS20 Antibody (SC65-08) [NBP2-67628] - Analysis of paraffin-embedded human prostate carcinoma tissue with Rabbit anti-RPS20 antibody washed with ddH2O and PBS, and then probed with the ...read more
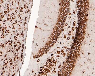
Immunohistochemistry-Paraffin: RPS20 Antibody (SC65-08) [NBP2-67628] - Analysis of paraffin-embedded mouse hippocampus tissue with Rabbit anti-RPS20 antibody washed with ddH2O and PBS, and then probed with the primary ...read more

Product Details

Summary
Product Discontinued
View other related RPS20 Primary Antibodies

Order Details


    • Catalog Number
      NBP2-67628
    • Availability
      Product Discontinued

    Can't find what you are looking for? Use our Antibody Concierge Service & we will help you locate your antibody!

    Or feel free to contact us for alternative products.

RPS20 Antibody (SC65-08) Summary

Additional Information
Recombinant Monoclonal Antibody.
Immunogen
Synthetic peptide within Human RPS20 aa 36-80 / 119. (SwissProt: P60866 Human; SwissProt: P60867 Mouse; SwissProt: P60868 Rat)
Localization
Cytoplasm.
Isotype
IgG
Clonality
Monoclonal
Host
Rabbit
Gene
RPS20
Purity
Protein A purified
Innovator's Reward
Test in a species/application not listed above to receive a full credit towards a future purchase.

Applications/Dilutions

Dilutions
  • Immunocytochemistry/ Immunofluorescence 1:50-1:200
  • Immunohistochemistry
  • Immunohistochemistry-Paraffin 1:50-1:200
  • Western Blot 1:1000-1:2000

Packaging, Storage & Formulations

Storage
Store at 4C short term. Aliquot and store at -20C long term. Avoid freeze-thaw cycles.
Buffer
TBS (pH7.4), 0.05% BSA, 40% Glycerol
Preservative
0.05% Sodium Azide
Concentration
1 mg/ml
Purity
Protein A purified

Alternate Names for RPS20 Antibody (SC65-08)

  • 40S ribosomal protein S20
  • FLJ27451
  • MGC102930
  • ribosomal protein S20

Background

Mammalian ribosomal proteins are encoded by multigene families that consist of processed pseudogenes and one functional intron-containing gene within their coding regions. Ribosomal Protein S20, also known as RPS20, is a 119 amino acid cytoplasmic protein that is a component of the 40S ribosomal subunit. Co-transcribed with the small nucleolar RNA gene U54, Ribosomal Protein S20 is a primary binding protein (it binds independently to its target protein) that interacts with both the 5' and 3' minor domains of 16S ribosomal RNA (rRNA). Through its interactions with 16S rRNA, Ribosomal Protein S20 is thought to play a key role in nucleating the assembly of the 30S ribosomal subunit. Like most ribosomal protein-coding genes, the gene encoding Ribosomal Protein S20 is dispersed throughout the genome and exists as multiple processed pseudogenes.

Limitations

This product is for research use only and is not approved for use in humans or in clinical diagnosis. Primary Antibodies are guaranteed for 1 year from date of receipt.

Customers Who Viewed This Item Also Viewed...

NBP3-46655
Species: Hu, Mu, Rt
Applications: ELISA, ICC/IF, WB
NBP3-46656
Species: Hu, Mu, Rt
Applications: ELISA, IHC, WB
NBP1-80959
Species: Hu, Mu, Rt
Applications: ICC/IF, IHC,  IHC-P, WB
NB100-2452
Species: Hu
Applications: IHC,  IHC-P, PEP-ELISA, WB
NBP1-80025
Species: Hu
Applications: IHC,  IHC-P, WB
H00006218-M01
Species: Hu, Mu, Rt
Applications: ELISA, IHC,  IHC-P, S-ELISA, WB
H00006201-M03
Species: Hu, Mu, Rt
Applications: ELISA, ICC/IF, IHC,  IHC-P, S-ELISA, WB
NBP2-54591
Species: Hu
Applications: CyTOF-ready, Flow, ICC/IF, IHC,  IHC-P, PA
NBP1-87797
Species: Hu, Mu, Rt
Applications: IHC,  IHC-P, Simple Western, WB
NBP2-20223
Species: Hu, Mu, Ze
Applications: ICC/IF, IHC,  IHC-P, WB
NBP3-27806
Species: Ha, Hu, Mu, Rt
Applications: ICC/IF, IP, WB
NBP1-92350
Species: Hu
Applications: ICC/IF, IHC,  IHC-P
NBP2-93632
Species: Hu, Mu, Rt
Applications: ELISA, ICC/IF, IHC,  IHC-P, WB
NB100-345
Species: Hu
Applications: ChIP, IP, KD, WB
NBP2-88192
Species: Hu
Applications: IHC,  IHC-P, WB
NBP1-46191
Species: Dr, Hu, Mu
Applications: IP, WB
H00006193-M02
Species: Hu, Mu, Pr, Rt
Applications: ELISA, ICC/IF, WB
NBP2-94502
Species: Hu, Mu, Rt
Applications: ELISA, ICC/IF, IHC,  IHC-P, IP, WB
NBP1-84847
Species: Hu, Mu
Applications: ICC/IF, IHC,  IHC-P, WB
NB100-1595
Species: Hu, Mu
Applications: IHC,  IHC-P, IP, WB

Publications for RPS20 Antibody (NBP2-67628) (0)

There are no publications for RPS20 Antibody (NBP2-67628).
By submitting your publication information earn gift cards and discounts for future purchases.

Reviews for RPS20 Antibody (NBP2-67628) (0)

There are no reviews for RPS20 Antibody (NBP2-67628). By submitting a review you will receive an Amazon e-Gift Card or Novus Product Discount.
  • Review with no image -- $10/€7/£6/$10 CAD/¥70 Yuan/¥1110 Yen
  • Review with an image -- $25/€18/£15/$25 CAD/¥150 Yuan/¥2500 Yen

Product General Protocols

Find general support by application which include: protocols, troubleshooting, illustrated assays, videos and webinars.

Video Protocols

WB Video Protocol
ICC/IF Video Protocol

FAQs for RPS20 Antibody (NBP2-67628) (0)

There are no specific FAQs related to this product. Read our general customer & technical service FAQs.

Secondary Antibodies

 

Isotype Controls

Additional RPS20 Products

Research Areas for RPS20 Antibody (NBP2-67628)

Find related products by research area.

Blogs on RPS20

There are no specific blogs for RPS20, but you can read our latest blog posts.

Contact Information

Product PDFs

Calculators

Concentration Calculator

The concentration calculator allows you to quickly calculate the volume, mass or concentration of your vial. Simply enter your mass, volume, or concentration values for your reagent and the calculator will determine the rest.

=
÷

Review this Product

Be the first to review our RPS20 Antibody (SC65-08) and receive a gift card or discount.

Bioinformatics

Gene Symbol RPS20