RNF182 Antibody - BSA Free

Images

 
Western Blot: RNF182 Antibody [NBP1-82707] - Analysis in control (vector only transfected HEK293T lysate) and RNF182 over-expression lysate (Co-expressed with a C-terminal myc-DDK tag (3.1 kDa) in mammalian HEK293T ...read more
Immunohistochemistry-Paraffin: RNF182 Antibody [NBP1-82707] - Staining of human lymph node shows strong cytoplasmic positivity in lymphoid cells outside reaction centra.
Immunohistochemistry-Paraffin: RNF182 Antibody [NBP1-82707] -Staining of human spleen shows moderate membranous positivity in cells in white pulp.
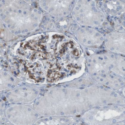
Immunohistochemistry-Paraffin: RNF182 Antibody [NBP1-82707] - Staining of human kidney shows moderate membranous positivity in cells in glomeruli.
Immunohistochemistry-Paraffin: RNF182 Antibody [NBP1-82707] - Staining of human liver shows no positivity in hepatocytes as expected.
FR promotes the K48-linked ubiquitination of p65 by recruiting the E3 ubiquitin enzyme RNF182. Tenocytes were silenced with RNF182 siRNA (A), ING4 siRNA (B), or PPAR gamma siRNA (C) for 24 h and then treated with IL-1 ...read more

Product Details

Summary
Reactivity Hu, Mu, RtSpecies Glossary
Applications WB, IHC, Mycoplasma
Clonality
Polyclonal
Host
Rabbit
Conjugate
Unconjugated
Format
BSA Free

Order Details

RNF182 Antibody - BSA Free Summary

Description
Novus Biologicals Rabbit RNF182 Antibody - BSA Free (NBP1-82707) is a polyclonal antibody validated for use in IHC and WB. Anti-RNF182 Antibody: Cited in 1 publication. All Novus Biologicals antibodies are covered by our 100% guarantee.
Immunogen
This antibody was developed against Recombinant Protein corresponding to amino acids: VLECCHRVCAKCLYKIIDFGDSPQGVIVCPFCRFETCLPDDEVSSLPDDNNILVNLTCGGKGKKCLPENPTELLLTPKRLASLVSPSHTSSNCLVITIMEVQRESSPSLSSTPVVEFYRPASFDSVTTVSHNWTVWNCTSLL
Predicted Species
Rat (99%). Backed by our 100% Guarantee.
Isotype
IgG
Clonality
Polyclonal
Host
Rabbit
Gene
RNF182
Purity
Affinity purified
Innovator's Reward
Test in a species/application not listed above to receive a full credit towards a future purchase.

Applications/Dilutions

Dilutions
  • Immunohistochemistry
  • Immunohistochemistry-Paraffin 1:50 - 1:200
  • Knockdown Validated Reported in scientific literature (PMID:35458235)
  • Western Blot 0.04-0.4 ug/ml
Application Notes
IHC-Paraffin, HIER pH 6 retrieval is recommended..
Control Peptide
RNF182 Protein (NBP1-82707PEP)
Publications
Read Publication using
NBP1-82707 in the following applications:

  • KD
    1 publication
  • WB
    1 publication

Reactivity Notes

Use in Mouse reported in scientific literature (PMID:35458235).

Packaging, Storage & Formulations

Storage
Store at 4C short term. Aliquot and store at -20C long term. Avoid freeze-thaw cycles.
Buffer
PBS (pH 7.2) and 40% Glycerol
Preservative
0.02% Sodium Azide
Purity
Affinity purified

Alternate Names for RNF182 Antibody - BSA Free

  • E3 ubiquitin-protein ligase RNF182
  • EC 6.3.2.-
  • FLJ40772
  • ring finger protein 182MGC33993

Limitations

This product is for research use only and is not approved for use in humans or in clinical diagnosis. Primary Antibodies are guaranteed for 1 year from date of receipt.

Customers Who Viewed This Item Also Viewed...

NB100-56326
Species: Hu, Mu
Applications: ICC/IF, IHC,  IHC-P, WB
NBP1-89335
Species: Hu
Applications: IHC,  IHC-P, WB
NBP2-21037
Species: Hu
Applications: IHC,  IHC-P, WB
NBP2-31361
Species: Hu
Applications: IHC,  IHC-P, WB
NBP1-59654
Species: Hu
Applications: WB
NBP1-81988
Species: Hu
Applications: IHC,  IHC-P

Publications for RNF182 Antibody (NBP1-82707)(1)

We have publications tested in 1 confirmed species: Mouse.

We have publications tested in 2 applications: KD, WB.


Filter By Application
KD
(1)
WB
(1)
All Applications
Filter By Species
Mouse
(1)
All Species

Reviews for RNF182 Antibody (NBP1-82707) (0)

There are no reviews for RNF182 Antibody (NBP1-82707). By submitting a review you will receive an Amazon e-Gift Card or Novus Product Discount.
  • Review with no image -- $10/€7/£6/$10 CAD/¥70 Yuan/¥1110 Yen
  • Review with an image -- $25/€18/£15/$25 CAD/¥150 Yuan/¥2500 Yen

Product General Protocols

Find general support by application which include: protocols, troubleshooting, illustrated assays, videos and webinars.

Video Protocols

WB Video Protocol

FAQs for RNF182 Antibody (NBP1-82707) (0)

There are no specific FAQs related to this product. Read our general customer & technical service FAQs.

Secondary Antibodies

 

Isotype Controls

Additional RNF182 Products

Research Areas for RNF182 Antibody (NBP1-82707)

Find related products by research area.

Blogs on RNF182

There are no specific blogs for RNF182, but you can read our latest blog posts.

Customers Who Bought This Also Bought

Contact Information

Product PDFs

Calculators

Concentration Calculator

The concentration calculator allows you to quickly calculate the volume, mass or concentration of your vial. Simply enter your mass, volume, or concentration values for your reagent and the calculator will determine the rest.

=
÷

Review this Product

Be the first to review our RNF182 Antibody - BSA Free and receive a gift card or discount.

Bioinformatics

Gene Symbol RNF182