RGS5 Antibody

Images

 
Western Blot: RGS5 Antibody [NBP2-24944] - Analysis of RGS5 in 1) transfected 293T cells and 2) untransfected 293T cells using NBP2-24944 at 1:500.
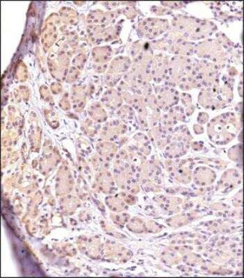
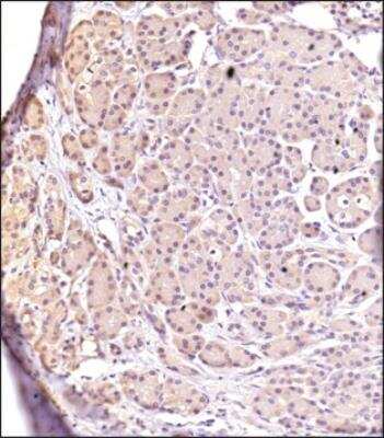
Immunohistochemistry-Paraffin: RGS5 Antibody [NBP2-24944] - Analysis of a FFPE tissue section of human pancreas using 1:200 dilution of RGS5 antibody. The staining was developed using HRP labeled anti-rabbit secondary ...read more

Product Details

Summary
Product Discontinued
View other related RGS5 Primary Antibodies

Order Details


    • Catalog Number
      NBP2-24944
    • Availability
      Product Discontinued

    Can't find what you are looking for? Use our Antibody Concierge Service & we will help you locate your antibody!

    Or feel free to contact us for alternative products.

RGS5 Antibody Summary

Immunogen
Within the range of amino acids 56-80 of human RGS5 were used as immunogen.
Isotype
IgG
Clonality
Polyclonal
Host
Rabbit
Gene
RGS5
Purity
Unpurified
Innovator's Reward
Test in a species/application not listed above to receive a full credit towards a future purchase.

Applications/Dilutions

Dilutions
  • Immunohistochemistry 1:200
  • Immunohistochemistry-Paraffin 1:200
  • Western Blot 1:250-1: 1000

Packaging, Storage & Formulations

Storage
Store at -20C. Avoid freeze-thaw cycles.
Buffer
0.1 ml crude whole Rabbit sera with 50% Glycerol
Preservative
0.025% Sodium Azide
Purity
Unpurified

Alternate Names for RGS5 Antibody

  • MST092
  • MST106
  • MST129
  • MSTP032
  • MSTP092
  • MSTP106
  • MSTP129
  • regulator of G-protein signaling 5
  • regulator of G-protein signalling 5

Background

Regulator of G protein signaling (RGS) proteins are regulatory and structural components of G protein-coupled receptor complexes. RGS proteins are GTPase-activating proteins for Gi and Gq class G-alpha proteins. They accelerate transit through the cycle of GTP binding and hydrolysis and thereby accelerate signaling kinetics and termination. RGS5 seems to be an important signalling regulator in the vascular system. Present data suggest that RGS5 may be involved in the regulation of capillary growth, angiogenesis, and in the pathophysiology of stroke.

Limitations

This product is for research use only and is not approved for use in humans or in clinical diagnosis. Primary Antibodies are guaranteed for 1 year from date of receipt.

Customers Who Viewed This Item Also Viewed...

H00005997-M01
Species: Hu, Mu
Applications: ELISA, IHC,  IHC-P, KD, WB
NBP3-25636
Species: Hu, Mu, Rt
Applications: ICC/IF, IHC,  IHC-P, WB
NBP2-01584
Species: Hu, Mu, Rt
Applications: Flow, ICC/IF, IHC,  IHC-P, WB
DVE00
Species: Hu
Applications: ELISA
H00005998-M01
Species: Hu
Applications: ELISA, ICC/IF, IHC,  IHC-P, S-ELISA, WB
NLS418
Species: Hu
Applications: IHC,  IHC-P
NLS2756
Species: Hu, Pm
Applications: ICC, IHC,  IHC-P
MAB8458
Species: Hu
Applications: CyTOF-ready, Flow, ICC
NLS1017
Species: Bt, Bv, Ca, Eq, Hu, Mu
Applications: IHC,  IHC-P
NLS2576
Species: Hu, Pm, Rt
Applications: IHC,  IHC-P
MAB194
Species: Hu, Mu
Applications: CyTOF-ready, Flow, ICC, WB
NBP1-32728
Species: Hu, Mu, Rt
Applications: ICC/IF, IHC,  IHC-P, IP, WB
NB100-1029
Species: Hu
Applications: IHC,  IHC-P, PEP-ELISA, WB
NBP1-30027
Species: Hu, Mu, Rt
Applications: ICC/IF, IHC,  IHC-P, WB
Supplier Logo

Publications for RGS5 Antibody (NBP2-24944) (0)

There are no publications for RGS5 Antibody (NBP2-24944).
By submitting your publication information earn gift cards and discounts for future purchases.

Reviews for RGS5 Antibody (NBP2-24944) (0)

There are no reviews for RGS5 Antibody (NBP2-24944). By submitting a review you will receive an Amazon e-Gift Card or Novus Product Discount.
  • Review with no image -- $10/€7/£6/$10 CAD/¥70 Yuan/¥1110 Yen
  • Review with an image -- $25/€18/£15/$25 CAD/¥150 Yuan/¥2500 Yen

Product General Protocols

Find general support by application which include: protocols, troubleshooting, illustrated assays, videos and webinars.

Video Protocols

WB Video Protocol

FAQs for RGS5 Antibody (NBP2-24944) (0)

There are no specific FAQs related to this product. Read our general customer & technical service FAQs.

Secondary Antibodies

 

Isotype Controls

Additional RGS5 Products

Research Areas for RGS5 Antibody (NBP2-24944)

Find related products by research area.

Blogs on RGS5

There are no specific blogs for RGS5, but you can read our latest blog posts.

Contact Information

Product PDFs

Calculators

Concentration Calculator

The concentration calculator allows you to quickly calculate the volume, mass or concentration of your vial. Simply enter your mass, volume, or concentration values for your reagent and the calculator will determine the rest.

=
÷

Review this Product

Be the first to review our RGS5 Antibody and receive a gift card or discount.

Bioinformatics

Gene Symbol RGS5
Uniprot