RGR Antibody

Images

 
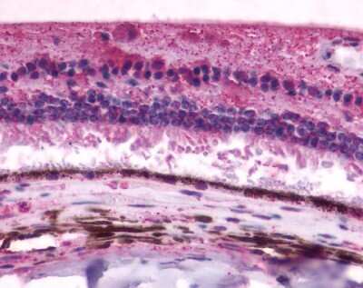
Immunohistochemistry-Paraffin: RGR Antibody [NLS1044] - Analysis of anti-RGR antibody with human eye, retina at 10 ug/ml.

Product Details

Summary
Product Discontinued
View other related RGR Primary Antibodies

Order Details


    • Catalog Number
      NLS1044
    • Availability
      Product Discontinued

    Can't find what you are looking for? Use our Antibody Concierge Service & we will help you locate your antibody!

    Or feel free to contact us for alternative products.

RGR Antibody Summary

Immunogen
Synthetic 16 amino acid peptide from 3rd cytoplasmic domain of human RGR.
Specificity
Human RGR. BLAST analysis of the peptide immunogen showed no homology with other human proteins.
Isotype
IgG
Clonality
Polyclonal
Host
Rabbit
Gene
RGR
Purity
Immunogen affinity purified
Innovator's Reward
Test in a species/application not listed above to receive a full credit towards a future purchase.

Applications/Dilutions

Dilutions
  • Immunohistochemistry
  • Immunohistochemistry-Paraffin 10 - 19 ug/ml

Reactivity Notes

Predicted cross-reactivity based on sequence identity: Gibbon (100%), Marmoset (100%), Gorilla (88%), Rat (88%), Panda (88%), Rabbit (88%), Equine (88%), Canine (81%), Hamster (81%), Elephant (81%).

Packaging, Storage & Formulations

Storage
Store at 4C short term. Aliquot and store at -20C long term. Avoid freeze-thaw cycles.
Buffer
PBS
Preservative
0.1% Sodium Azide
Concentration
1.0 mg/ml
Purity
Immunogen affinity purified

Alternate Names for RGR Antibody

  • retinal G protein coupled receptor
  • RGR-opsin
  • RP44
  • RPE retinal G-protein coupled receptor
  • RPE-retinal G protein-coupled receptor

Background

Retinal G protein-coupled receptor RPE, a member of the Opsin subfamily of GPCRs has been shown to be involved in retinitis pigmentosa. It preferentially binds all-trans retinal rather than 11-cis retinal, which is normally found in rhodopsin. RPE has two isoforms produced by alternative splicing. Retinal G protein-coupled receptor RPE has been reported to be expressed in the eye. ESTs have been isolated from normal human brain and eye libraries and from human brain and colon cancer libraries.

Limitations

This product is for research use only and is not approved for use in humans or in clinical diagnosis. Primary Antibodies are guaranteed for 1 year from date of receipt.

Customers Who Viewed This Item Also Viewed...

NB100-79826
Species: Hu, Mu
Applications: IP, WB
664-LI
Species: Hu
Applications: BA
NBP2-20454
Species: Hu
Applications: IHC,  IHC-P, WB
NBP3-47460
Species: Hu, Mu, Rt
Applications: ELISA, IHC, WB
NBP2-42172
Species: Hu, Mu, Rt
Applications: ICC/IF, WB
NBP2-25160
Species: Bv, Ca, Eq, Hu, Mu, Po, Rt
Applications: ICC/IF, IHC, WB
NBP3-35469
Species: Hu, Mu, Rt
Applications: ELISA, ICC/IF, WB
NB100-355
Species: Bv, Ca, Ch, Hu, Mu, Po, Pm, Rt, Xp
Applications: CyTOF-ready, Flow, ICC/IF, IF, IHC, IHC-Fr,  IHC-P, IP, In vivo, KO, Simple Western, WB
NLS1150
Species: Hu
Applications: IHC,  IHC-P
NB100-74460
Species: Hu, Mu, Rt
Applications: ICC/IF, IHC, IHC-Fr, KO, WB
NBP2-45603
Species: Hu, Mu, Rt
Applications: Flow, IHC,  IHC-P, WB
NBP2-93790
Species: Hu, Mu, Rt
Applications: ICC/IF, IHC,  IHC-P, WB
NLS2134
Species: Hu, Mu, Rt
Applications: IHC-FrFl, IHC,  IHC-P
NBP2-99443
Species: Pm-Cm, Hu, Mu
Applications: IHC,  IHC-P
NB100-74392
Species: Bv, Hu, Mu, Po, Pm, Rt
Applications: ELISA, Flow, ICC/IF, IHC, IHC-Fr,  IHC-P, IP, Simple Western, WB
NBP1-88223
Species: Hu
Applications: ICC/IF, IHC,  IHC-P, KD, WB
NBP1-32525
Species: Hu, Mu, Rt
Applications: ICC/IF, IHC,  IHC-P, KO, WB
NLS2144
Species: Bt, Bv, Ca, Eq, Hu, Pm, Mu, Rb
Applications: IHC,  IHC-P

Publications for RGR Antibody (NLS1044) (0)

There are no publications for RGR Antibody (NLS1044).
By submitting your publication information earn gift cards and discounts for future purchases.

Reviews for RGR Antibody (NLS1044) (0)

There are no reviews for RGR Antibody (NLS1044). By submitting a review you will receive an Amazon e-Gift Card or Novus Product Discount.
  • Review with no image -- $10/€7/£6/$10 CAD/¥70 Yuan/¥1110 Yen
  • Review with an image -- $25/€18/£15/$25 CAD/¥150 Yuan/¥2500 Yen

Product General Protocols

Find general support by application which include: protocols, troubleshooting, illustrated assays, videos and webinars.

FAQs for RGR Antibody (NLS1044) (0)

There are no specific FAQs related to this product. Read our general customer & technical service FAQs.

Secondary Antibodies

 

Isotype Controls

Additional RGR Products

Research Areas for RGR Antibody (NLS1044)

Find related products by research area.

Blogs on RGR

There are no specific blogs for RGR, but you can read our latest blog posts.

Contact Information

Product PDFs

Calculators

Concentration Calculator

The concentration calculator allows you to quickly calculate the volume, mass or concentration of your vial. Simply enter your mass, volume, or concentration values for your reagent and the calculator will determine the rest.

=
÷

Review this Product

Be the first to review our RGR Antibody and receive a gift card or discount.

Bioinformatics

Gene Symbol RGR