REEP2 Antibody (OTI2C7) - Azide and BSA Free

Images

 
Western Blot: REEP2 Antibody (OTI2C7) - Azide and BSA Free [NBP2-73849] - HEK293T cells were transfected with the pCMV6-ENTRY control (Left lane) or pCMV6-ENTRY REEP2 (Right lane) cDNA for 48 hrs and lysed. Equivalent ...read more
Immunocytochemistry/ Immunofluorescence: REEP2 Antibody (OTI2C7) - Azide and BSA Free [NBP2-73849] - Staining of COS7 cells transiently transfected by pCMV6-ENTRY REEP2.
Immunohistochemistry: REEP2 Antibody (OTI2C7) - Azide and BSA Free [NBP2-73849] - Staining of paraffin-embedded Human liver tissue using anti-REEP2 mouse monoclonal antibody.
Flow Cytometry: REEP2 Antibody (OTI2C7) - Azide and BSA Free [NBP2-73849] - HEK293T cells transfected with either overexpression plasmid (Red) or empty vector control plasmid (Blue) were immunostaining by anti-REEP2 ...read more
Immunohistochemistry: REEP2 Antibody (OTI2C7) - Azide and BSA Free [NBP2-73849] - Staining of paraffin-embedded Adenocarcinoma of Human breast tissue using anti-REEP2 mouse monoclonal antibody.
Immunohistochemistry: REEP2 Antibody (OTI2C7) - Azide and BSA Free [NBP2-73849] - Staining of paraffin-embedded Adenocarcinoma of Human endometrium tissue using anti-REEP2 mouse monoclonal antibody.
Immunohistochemistry: REEP2 Antibody (OTI2C7) - Azide and BSA Free [NBP2-73849] - Staining of paraffin-embedded Carcinoma of Human liver tissue using anti-REEP2 mouse monoclonal antibody.
Immunohistochemistry: REEP2 Antibody (OTI2C7) - Azide and BSA Free [NBP2-73849] - Staining of paraffin-embedded Human Kidney tissue using anti-REEP2 mouse monoclonal antibody.
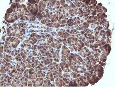
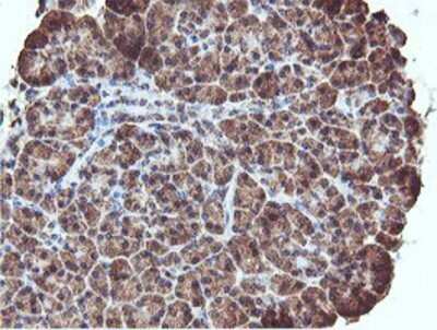
Immunohistochemistry: REEP2 Antibody (OTI2C7) - Azide and BSA Free [NBP2-73849] - Staining of paraffin-embedded Human pancreas tissue using anti-REEP2 mouse monoclonal antibody.
Flow Cytometry: REEP2 Antibody (OTI2C7) - Azide and BSA Free [NBP2-73849] - Analysis of Jurkat cells, using anti-REEP2 antibody, (Red), compared to a nonspecific negative control antibody (Blue).

Product Details

Summary
Reactivity Hu, Mu, RtSpecies Glossary
Applications WB, Flow, ICC/IF, IHC, CyTOF-ready
Clone
OTI2C7
Clonality
Monoclonal
Host
Mouse
Conjugate
Unconjugated
Format
Azide and BSA Free
Concentration
LYOPH

Order Details

REEP2 Antibody (OTI2C7) - Azide and BSA Free Summary

Description
Novus Biologicals Mouse REEP2 Antibody (OTI2C7) - Azide and BSA Free (NBP2-01796) is a monoclonal antibody validated for use in IHC, WB, Flow and ICC/IF. All Novus Biologicals antibodies are covered by our 100% guarantee.
Immunogen
Full length human recombinant protein of human REEP2(NP_057690) produced in HEK293T cell.
Isotype
IgG2a
Clonality
Monoclonal
Host
Mouse
Gene
REEP2
Purity
Immunogen affinity purified
Innovator's Reward
Test in a species/application not listed above to receive a full credit towards a future purchase.

Applications/Dilutions

Dilutions
  • CyTOF-ready
  • Flow Cytometry 1:100
  • Immunocytochemistry/ Immunofluorescence 1:100
  • Immunohistochemistry 1:150
  • Immunohistochemistry-Paraffin
  • Western Blot 1:500-2000
Theoretical MW
28.1 kDa.
Disclaimer note: The observed molecular weight of the protein may vary from the listed predicted molecular weight due to post translational modifications, post translation cleavages, relative charges, and other experimental factors.

Reactivity Notes

Please note that this antibody is reactive to Mouse and derived from the same host, Mouse. Mouse-On-Mouse blocking reagent may be needed for IHC and ICC experiments to reduce high background signal. You can find these reagents under catalog numbers PK-2200-NB and MP-2400-NB. Please contact Technical Support if you have any questions.

Packaging, Storage & Formulations

Storage
Store at -20C. Avoid freeze-thaw cycles.
Buffer
Lyophilized from PBS (pH 7.3) with 8% Trehalose
Preservative
No Preservative
Concentration
LYOPH
Purity
Immunogen affinity purified
Reconstitution Instructions
we recommend adding 100uL distilled water to a final antibody concentration of about 1 mg/mL. To use this carrier-free antibody for conjugation experiment, we strongly recommend performing another round of desalting process.

Alternate Names for REEP2 Antibody (OTI2C7) - Azide and BSA Free

  • C5orf19receptor expression-enhancing protein 2
  • chromosome 5 open reading frame 19
  • receptor accessory protein 2
  • SGC32445receptor expression enhancing protein 2

Limitations

This product is for research use only and is not approved for use in humans or in clinical diagnosis. Primary Antibodies are guaranteed for 1 year from date of receipt.

Customers Who Viewed This Item Also Viewed...

NBP1-80780
Species: Hu
Applications: IHC,  IHC-P
NBP1-93459
Species: Hu
Applications: IHC,  IHC-P
NBP3-46595
Species: Hu, Mu
Applications: ELISA, IHC, WB
NBP1-86636
Species: Hu, Rt
Applications: ICC/IF, IHC,  IHC-P, WB
5444-SL
Species: Mu
Applications: BA
NBP1-92172
Species: Hu
Applications: ICC/IF, IHC,  IHC-P, WB
NBP3-14647
Species: Hu
Applications: IHC,  IHC-P, IP, WB
H00080005-Q01
Species: Hu
Applications: ELISA, AP, PA, WB
MAB3629
Species: Mu
Applications: IHC
NBP1-92273
Species: Hu, Mu
Applications: IHC,  IHC-P
NBP1-80872
Species: Hu
Applications: ICC/IF, IHC,  IHC-P, WB
NBP3-45612
Species: Hu, Mu, Rt
Applications: ELISA, WB
NBP1-31606
Species: Hu, Mu
Applications: IHC,  IHC-P, WB
NBP3-13039
Species: Hu, Mu
Applications: ICC/IF, IHC,  IHC-P, WB

Publications for REEP2 Antibody (NBP2-73849) (0)

There are no publications for REEP2 Antibody (NBP2-73849).
By submitting your publication information earn gift cards and discounts for future purchases.

Reviews for REEP2 Antibody (NBP2-73849) (0)

There are no reviews for REEP2 Antibody (NBP2-73849). By submitting a review you will receive an Amazon e-Gift Card or Novus Product Discount.
  • Review with no image -- $10/€7/£6/$10 CAD/¥70 Yuan/¥1110 Yen
  • Review with an image -- $25/€18/£15/$25 CAD/¥150 Yuan/¥2500 Yen

Product General Protocols

Find general support by application which include: protocols, troubleshooting, illustrated assays, videos and webinars.

Video Protocols

WB Video Protocol
ICC/IF Video Protocol

FAQs for REEP2 Antibody (NBP2-73849) (0)

There are no specific FAQs related to this product. Read our general customer & technical service FAQs.

Secondary Antibodies

 

Isotype Controls

Additional REEP2 Products

Research Areas for REEP2 Antibody (NBP2-73849)

Find related products by research area.

Blogs on REEP2

There are no specific blogs for REEP2, but you can read our latest blog posts.

Customers Who Bought This Also Bought

Contact Information

Product PDFs

Calculators

Concentration Calculator

The concentration calculator allows you to quickly calculate the volume, mass or concentration of your vial. Simply enter your mass, volume, or concentration values for your reagent and the calculator will determine the rest.

=
÷

Review this Product

Be the first to review our REEP2 Antibody (OTI2C7) - Azide and BSA Free and receive a gift card or discount.

Bioinformatics

Gene Symbol REEP2