RAMP3 Antibody

Images

 
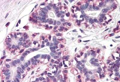
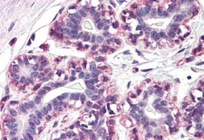
Immunohistochemistry-Paraffin: RAMP3 Antibody [NBP1-39782] - Analysis of anti-RAMP3 antibody with human breast at concentration 20 ug/ml.

Product Details

Summary
Product Discontinued
View other related RAMP3 Primary Antibodies

Order Details


    • Catalog Number
      NBP1-39782
    • Availability
      Product Discontinued

    Can't find what you are looking for? Use our Antibody Concierge Service & we will help you locate your antibody!

    Or feel free to contact us for alternative products.

RAMP3 Antibody Summary

Immunogen
Synthetic peptide from human RAMP3.
Isotype
IgG
Clonality
Polyclonal
Host
Rabbit
Gene
RAMP3
Purity
Immunogen affinity purified
Innovator's Reward
Test in a species/application not listed above to receive a full credit towards a future purchase.

Applications/Dilutions

Dilutions
  • ELISA 1 ug/ml
  • Immunohistochemistry
  • Immunohistochemistry-Paraffin 20 ug/ml
  • Western Blot 1 ug/ml

Packaging, Storage & Formulations

Storage
Store at 4C short term. Aliquot and store at -20C long term. Avoid freeze-thaw cycles.
Buffer
PBS and 50% Glycerol
Preservative
0.01% Sodium Azide
Concentration
0.5 mg/ml
Purity
Immunogen affinity purified

Alternate Names for RAMP3 Antibody

  • calcitonin receptor-like receptor activity modifying protein 3
  • Calcitonin-receptor-like receptor activity-modifying protein 3
  • CRLR activity-modifying protein 3
  • RAMP3
  • receptor (calcitonin) activity modifying protein 3
  • receptor (G protein-coupled) activity modifying protein 3
  • receptor activity modifying protein 3
  • receptor activity-modifying protein 3
  • receptor-activity-modifying protein 3

Background

The protein encoded by this gene is a member of the RAMP family of single-transmembrane-domain proteins, called receptor (calcitonin) activity modifying proteins (RAMPs). RAMPs are type I transmembrane proteins with an extracellular N terminus and a cytoplasmic C terminus. RAMPs are required to transport calcitonin-receptor-like receptor (CRLR) to the plasma membrane. CRLR, a receptor with seven transmembrane domains, can function as either a calcitonin-gene-related peptide (CGRP) receptor or an adrenomedullin receptor, depending on which members of the RAMP family are expressed. In the presence of this (RAMP3) protein, CRLR functions as an adrenomedullin receptor.

Limitations

This product is for research use only and is not approved for use in humans or in clinical diagnosis. Primary Antibodies are guaranteed for 1 year from date of receipt.

Customers Who Viewed This Item Also Viewed...

NLS6731
Species: Bv, Ca, Eq, Gt, Ha, Hu, Pm, Po, Pm, Rb, Rt, Xp
Applications: IHC,  IHC-P
NBP2-01853
Species: Hu, Pm
Applications: Flow, IHC,  IHC-P, WB
AF6428
Species: Hu
Applications: IHC, WB
NB120-14817
Species: Hu, Rt
Applications: ICC/IF, IHC, S-ELISA, WB
NB100-40840
Species: Hu, Mu
Applications: IHC,  IHC-P, IP, WB
NB100-56490
Species: Ca, Hu, Pm
Applications: IHC,  IHC-P, WB
AF6517
Species: Hu
Applications: WB
AF1052
Species: Hu
Applications: CyTOF-ready, Flow, IHC, Simple Western, WB
MAB4614
Species: Hu
Applications: CyTOF-ready, Flow, KO
NBP1-77129
Species: Hu, Mu
Applications: ELISA, ICC/IF, IHC,  IHC-P, WB
NBP2-33680
Species: Hu
Applications: IHC,  IHC-P
DVE00
Species: Hu
Applications: ELISA
NBP3-10975
Species: Hu
Applications: IHC
NLS418
Species: Hu
Applications: IHC,  IHC-P
NLS2756
Species: Hu, Pm
Applications: ICC, IHC,  IHC-P

Publications for RAMP3 Antibody (NBP1-39782) (0)

There are no publications for RAMP3 Antibody (NBP1-39782).
By submitting your publication information earn gift cards and discounts for future purchases.

Reviews for RAMP3 Antibody (NBP1-39782) (0)

There are no reviews for RAMP3 Antibody (NBP1-39782). By submitting a review you will receive an Amazon e-Gift Card or Novus Product Discount.
  • Review with no image -- $10/€7/£6/$10 CAD/¥70 Yuan/¥1110 Yen
  • Review with an image -- $25/€18/£15/$25 CAD/¥150 Yuan/¥2500 Yen

Product General Protocols

Find general support by application which include: protocols, troubleshooting, illustrated assays, videos and webinars.

Video Protocols

WB Video Protocol

FAQs for RAMP3 Antibody (NBP1-39782) (0)

There are no specific FAQs related to this product. Read our general customer & technical service FAQs.

Contact Information

Product PDFs

Calculators

Concentration Calculator

The concentration calculator allows you to quickly calculate the volume, mass or concentration of your vial. Simply enter your mass, volume, or concentration values for your reagent and the calculator will determine the rest.

=
÷

Review this Product

Be the first to review our RAMP3 Antibody and receive a gift card or discount.

Bioinformatics

Gene Symbol RAMP3
Entrez
Uniprot