PIWIL1/HIWI Antibody (JU35-12)

Images

 
Western Blot: PIWIL1/HIWI Antibody (JU35-12) [NBP2-75619] - Analysis of PIWIL1 on mouse testis tissue lysate using anti-PIWIL1 antibody at 1/500 dilution.
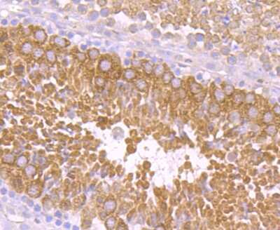
Immunohistochemistry-Paraffin: PIWIL1/HIWI Antibody (JU35-12) [NBP2-75619] - Analysis of paraffin-embedded rat testis tissue using anti-PIWIL1 antibody. Counter stained with hematoxylin.
Immunohistochemistry-Paraffin: PIWIL1/HIWI Antibody (JU35-12) [NBP2-75619] - Analysis of paraffin-embedded mouse testis tissue using anti-PIWIL1 antibody. Counter stained with hematoxylin.

Product Details

Summary
Product Discontinued
View other related PIWIL1/HIWI Primary Antibodies

Order Details


    • Catalog Number
      NBP2-75619
    • Availability
      Product Discontinued

    Can't find what you are looking for? Use our Antibody Concierge Service & we will help you locate your antibody!

    Or feel free to contact us for alternative products.

PIWIL1/HIWI Antibody (JU35-12) Summary

Additional Information
Recombinant Monoclonal Antibody.
Immunogen
Recombinant protein within Human PIWIL1/HIWI aa 733-831 . (SwissProt: Q96J94 Human; SwissProt: Q9JMB7 Mouse)
Localization
Cytoplasm.
Isotype
IgG
Clonality
Monoclonal
Host
Rabbit
Gene
PIWIL1
Purity
Protein A purified
Innovator's Reward
Test in a species/application not listed above to receive a full credit towards a future purchase.

Applications/Dilutions

Dilutions
  • Immunohistochemistry
  • Immunohistochemistry-Paraffin 1:50-1:200
  • Western Blot 1:500-1:1000
Theoretical MW
98 kDa.
Disclaimer note: The observed molecular weight of the protein may vary from the listed predicted molecular weight due to post translational modifications, post translation cleavages, relative charges, and other experimental factors.

Packaging, Storage & Formulations

Storage
Store at 4C short term. Aliquot and store at -20C long term. Avoid freeze-thaw cycles.
Buffer
TBS (pH7.4), 0.05% BSA, 40% Glycerol
Preservative
0.05% Sodium Azide
Concentration
1 mg/ml
Purity
Protein A purified

Alternate Names for PIWIL1/HIWI Antibody (JU35-12)

  • HIWI
  • HIWIpiwi homolog
  • MIWI
  • piwi (Drosophila)-like 1
  • PIWI
  • PIWIL1
  • piwi-like 1 (Drosophila)
  • piwi-like protein 1

Background

The PIWIL1 gene encodes a member of the PIWI subfamily of Argonaute proteins, evolutionarily conserved proteins containing both PAZ and Piwi motifs that play important roles in stem cell self-renewal, RNA silencing, and translational regulation in diverse organ

Limitations

This product is for research use only and is not approved for use in humans or in clinical diagnosis. Primary Antibodies are guaranteed for 1 year from date of receipt.

Customers Who Viewed This Item Also Viewed...

NBP2-24590
Species: Mu
Applications: IHC,  IHC-P, WB
NBP2-37398
Species: Hu
Applications: CyTOF-ready, ELISA, Flow, IHC,  IHC-P, WB
AF2030
Species: Hu
Applications: IHC, WB
H00055294-M02
Species: Hu
Applications: ELISA, IHC,  IHC-P, S-ELISA, WB
NBP1-06520
Species: Hu, Mu
Applications: IP, KO, WB
MAB6296
Species: Mu
Applications: IHC
NB100-56648
Species: Hu, Mu, Rt
Applications: WB
NBP1-76490
Species: Hu, Mu, Rt
Applications: ELISA, ICC/IF, WB
NBP1-87892
Species: Hu, Rt
Applications: IHC,  IHC-P, WB
NBP2-13655
Species: Hu
Applications: ICC/IF, WB
AF4086
Species: Hu
Applications: ICC, WB
NBP1-03349
Species: Hu, Mu
Applications: ICC/IF, IHC, IHC-Fr, IP, WB
NBP3-21396
Species: Hu
Applications: IHC,  IHC-P
NBP2-52420
Species: Hu, Mu
Applications: CyTOF-ready, ELISA, ICC/IF, IHC,  IHC-P, WB
NBP1-32660
Species: Hu
Applications: ICC/IF, IHC,  IHC-P, WB
NBP1-88330
Species: Hu
Applications: IHC,  IHC-P, WB

Publications for PIWIL1/HIWI Antibody (NBP2-75619) (0)

There are no publications for PIWIL1/HIWI Antibody (NBP2-75619).
By submitting your publication information earn gift cards and discounts for future purchases.

Reviews for PIWIL1/HIWI Antibody (NBP2-75619) (0)

There are no reviews for PIWIL1/HIWI Antibody (NBP2-75619). By submitting a review you will receive an Amazon e-Gift Card or Novus Product Discount.
  • Review with no image -- $10/€7/£6/$10 CAD/¥70 Yuan/¥1110 Yen
  • Review with an image -- $25/€18/£15/$25 CAD/¥150 Yuan/¥2500 Yen

Product General Protocols

Find general support by application which include: protocols, troubleshooting, illustrated assays, videos and webinars.

Video Protocols

WB Video Protocol

FAQs for PIWIL1/HIWI Antibody (NBP2-75619) (0)

There are no specific FAQs related to this product. Read our general customer & technical service FAQs.

Contact Information

Product PDFs

Calculators

Concentration Calculator

The concentration calculator allows you to quickly calculate the volume, mass or concentration of your vial. Simply enter your mass, volume, or concentration values for your reagent and the calculator will determine the rest.

=
÷

Review this Product

Be the first to review our PIWIL1/HIWI Antibody (JU35-12) and receive a gift card or discount.

Bioinformatics

Gene Symbol PIWIL1