PDE3A Antibody

Images

 
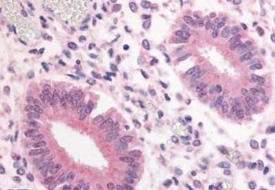
Immunohistochemistry-Paraffin: PDE3A Antibody [NB110-40469] - Analysis of anti-PDE3A antibody with human uterus at 20 ug/ml.

Product Details

Summary
Product Discontinued
View other related PDE3A Primary Antibodies

Order Details


    • Catalog Number
      NB110-40469
    • Availability
      Product Discontinued

    Can't find what you are looking for? Use our Antibody Concierge Service & we will help you locate your antibody!

    Or feel free to contact us for alternative products.

PDE3A Antibody Summary

Immunogen
Synthetic 17 amino acid peptide from internal region of human PDE3A.
Epitope
internal domain of human
Specificity
Human PDE3A. BLAST analysis of the peptide immunogen showed no homology with other human proteins.
Predicted Species
Opossum (100%). Backed by our 100% Guarantee.
Isotype
IgG
Clonality
Polyclonal
Host
Rabbit
Gene
PDE3A
Purity
Immunogen affinity purified
Innovator's Reward
Test in a species/application not listed above to receive a full credit towards a future purchase.

Applications/Dilutions

Dilutions
  • Immunohistochemistry
  • Immunohistochemistry-Paraffin 20 ug/ml

Reactivity Notes

Predicted cross-reactivity based on sequence identity: Gibbon (100%), Chicken (88%).

Packaging, Storage & Formulations

Storage
Store at 4C short term. Aliquot and store at -20C long term. Avoid freeze-thaw cycles.
Buffer
PBS
Preservative
0.1% Sodium Azide
Concentration
1.0 mg/ml
Purity
Immunogen affinity purified

Alternate Names for PDE3A Antibody

  • CGI-PDE A
  • cGI-PDE
  • cGMP-inhibited 3'-5'-cyclic phosphodiesterase A
  • cyclic GMP inhibited phosphodiesterase A
  • Cyclic GMP-inhibited phosphodiesterase A
  • EC 3.1.4
  • EC 3.1.4.17
  • PDE3A
  • phosphodiesterase 3A, cGMP-inhibited

Background

Phosphodiesterase 3A is a cGMP inhibited, cAMP/cGMP dual-specific phosphodiesterase. PDE3A has been implicated in male erectile dysfunction, mammalian oocyte maturation, platelet function, vascular smooth muscle function, and salivary gland tumors. Three alternatively spliced transcripts have been reported.

Limitations

This product is for research use only and is not approved for use in humans or in clinical diagnosis. Primary Antibodies are guaranteed for 1 year from date of receipt.

Customers Who Viewed This Item Also Viewed...

NBP3-12242
Species: Ch, Hu, Mu, Pm, Rt
Applications: ELISA, ICC/IF, IHC,  IHC-P, IP, WB
NBP2-15343
Species: Hu, Mu, Rt, Ze
Applications: ICC/IF, IHC,  IHC-P, WB
NBP2-02559
Species: Hu, Rt
Applications: Flow, ICC/IF, IHC,  IHC-P, WB
NBP1-86139
Species: Hu
Applications: ICC/IF, IHC,  IHC-P
NBP1-92265
Species: Hu
Applications: ICC/IF, IHC,  IHC-P, WB
NBP2-01171
Species: Hu, Mu, Rt
Applications: Flow, ICC/IF, IHC,  IHC-P, WB
NB300-645
Species: Hu, Pm, Mu, Rt
Applications: ELISA, ICC/IF, IHC,  IHC-P, IP, WB
NBP2-03598
Species: Hu, Mu, Rt
Applications: Flow, ICC/IF, IHC,  IHC-P, WB
AF887
Species: Hu, Mu, Rt
Applications: CyTOF-ready, IHC, ICFlow, Simple Western, WB
NBP2-46355
Species: Hu, Mu, Rt
Applications: IHC,  IHC-P, WB
MAB6210
Species: Hu
Applications: Simple Western, WB
NB300-639
Species: Hu, Mu, Rt
Applications: ELISA, ICC/IF, IHC, IP, WB
NBP3-12247
Species: Bv, Hu, Mu, Pm, Rt
Applications: ELISA, ICC/IF, IHC,  IHC-P, IP, WB
NB300-672
Species: Hu, Mu, Rt
Applications: ELISA, ICC/IF, IHC,  IHC-P, IP, WB

Publications for PDE3A Antibody (NB110-40469) (0)

There are no publications for PDE3A Antibody (NB110-40469).
By submitting your publication information earn gift cards and discounts for future purchases.

Reviews for PDE3A Antibody (NB110-40469) (0)

There are no reviews for PDE3A Antibody (NB110-40469). By submitting a review you will receive an Amazon e-Gift Card or Novus Product Discount.
  • Review with no image -- $10/€7/£6/$10 CAD/¥70 Yuan/¥1110 Yen
  • Review with an image -- $25/€18/£15/$25 CAD/¥150 Yuan/¥2500 Yen

Product General Protocols

Find general support by application which include: protocols, troubleshooting, illustrated assays, videos and webinars.

FAQs for PDE3A Antibody (NB110-40469) (0)

There are no specific FAQs related to this product. Read our general customer & technical service FAQs.

Secondary Antibodies

 

Isotype Controls

Additional PDE3A Products

Research Areas for PDE3A Antibody (NB110-40469)

Find related products by research area.

Blogs on PDE3A

There are no specific blogs for PDE3A, but you can read our latest blog posts.

Contact Information

Product PDFs

Calculators

Concentration Calculator

The concentration calculator allows you to quickly calculate the volume, mass or concentration of your vial. Simply enter your mass, volume, or concentration values for your reagent and the calculator will determine the rest.

=
÷

Review this Product

Be the first to review our PDE3A Antibody and receive a gift card or discount.

Bioinformatics

Gene Symbol PDE3A
Entrez