P2Y10/P2RY10 Antibody

Images

 
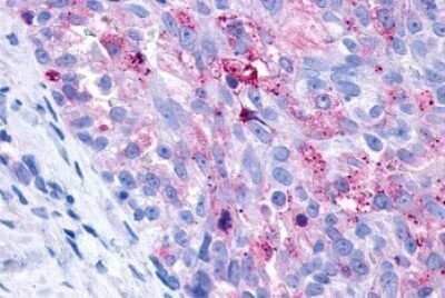
Immunohistochemistry-Paraffin: P2Y10/P2RY10 Antibody [NLS862] - Anti-P2Y10 / P2RY10 antibody IHC of human Ovary, Carcinoma. Immunohistochemistry of formalin-fixed, paraffin-embedded tissue after heat-induced antigen ...read more
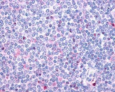
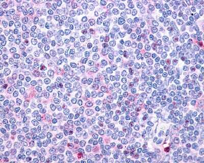
Immunohistochemistry-Paraffin: P2Y10/P2RY10 Antibody [NLS862] - Analysis of anti-P2RY10 / P2Y10 antibody with human spleen, lymphocytes at 6 ug/ml.

Product Details

Summary
Product Discontinued
View other related P2Y10/P2RY10 Primary Antibodies

Order Details


    • Catalog Number
      NLS862
    • Availability
      Product Discontinued

    Can't find what you are looking for? Use our Antibody Concierge Service & we will help you locate your antibody!

    Or feel free to contact us for alternative products.

P2Y10/P2RY10 Antibody Summary

Immunogen
Synthetic 18 amino acid peptide from C-terminus of human P2Y10/P2RY10.
Epitope
C-terminal domain of human
Specificity
Human P2RY10 / P2Y10. BLAST analysis of the peptide immunogen showed no homology with other human proteins.
Predicted Species
Mouse (94%), Rat (94%), Bat (94%), Equine (94%), Rabbit (94%), Bovine (94%). Backed by our 100% Guarantee.
Isotype
IgG
Clonality
Polyclonal
Host
Rabbit
Gene
P2RY10
Purity
Immunogen affinity purified
Innovator's Reward
Test in a species/application not listed above to receive a full credit towards a future purchase.

Applications/Dilutions

Dilutions
  • Immunohistochemistry
  • Immunohistochemistry-Paraffin 6-32 ug/ml

Reactivity Notes

Predicted cross-reactivity based on sequence identity: Gorilla (100%), Gibbon (94%), Marmoset (89%), Canine (89%), Opossum (89%).

Packaging, Storage & Formulations

Storage
Store at 4C short term. Aliquot and store at -20C long term. Avoid freeze-thaw cycles.
Buffer
PBS
Preservative
0.1% Sodium Azide
Concentration
1.0 mg/ml
Purity
Immunogen affinity purified

Alternate Names for P2Y10/P2RY10 Antibody

  • G-protein coupled purinergic receptor P2Y10
  • P2RY10
  • P2Y purinoceptor 10
  • P2Y10
  • P2Y10P2Y-like receptor
  • purinergic receptor P2Y, G-protein coupled, 10
  • putative P2Y purinoceptor 10

Background

P2Y10 is a putative Purinergic Receptor. P2Y10 has been reported to be expressed in lymphoid cells and in monocytes derived from dendritic cells. ESTs have been isolated from tonsil, lymph, and placenta libraries.

Limitations

This product is for research use only and is not approved for use in humans or in clinical diagnosis. Primary Antibodies are guaranteed for 1 year from date of receipt.

Customers Who Viewed This Item Also Viewed...

NLS4229
Species: Hu
Applications: ICC, ICC/IF, IHC,  IHC-P
NLS418
Species: Hu
Applications: IHC,  IHC-P
NLS2756
Species: Hu, Pm
Applications: ICC, IHC,  IHC-P
MAB194
Species: Hu, Mu
Applications: CyTOF-ready, Flow, ICC, WB
MAB8458
Species: Hu
Applications: CyTOF-ready, Flow, ICC
NLS1017
Species: Bt, Bv, Ca, Eq, Hu, Mu
Applications: IHC,  IHC-P
NLS2576
Species: Hu, Pm, Rt
Applications: IHC,  IHC-P
AF1230
Species: Hu, Mu, Rt
Applications: IHC, KO, WB
NBP3-48734
Species: Hu, Mu
Applications: ICC/IF, IHC,  IHC-P
NBP2-48480
Species: Hu
Applications: Flow-CS, Flow, IHC, IHC-Fr,  IHC-P
NBP2-61753
Species: Hu
Applications: ELISA, Flow, ICC/IF, IHC,  IHC-P, WB
7268-CT
Species: Hu
Applications: BA
NBP1-90071
Species: Eq, Hu, Mu, Po
Applications: Flow, ICC/IF, IHC,  IHC-P, WB
NLS850
Species: Hu
Applications: IHC,  IHC-P

Publications for P2Y10/P2RY10 Antibody (NLS862) (0)

There are no publications for P2Y10/P2RY10 Antibody (NLS862).
By submitting your publication information earn gift cards and discounts for future purchases.

Reviews for P2Y10/P2RY10 Antibody (NLS862) (0)

There are no reviews for P2Y10/P2RY10 Antibody (NLS862). By submitting a review you will receive an Amazon e-Gift Card or Novus Product Discount.
  • Review with no image -- $10/€7/£6/$10 CAD/¥70 Yuan/¥1110 Yen
  • Review with an image -- $25/€18/£15/$25 CAD/¥150 Yuan/¥2500 Yen

Product General Protocols

View specific protocols for P2Y10/P2RY10 Antibody (NLS862): Find general support by application which include: protocols, troubleshooting, illustrated assays, videos and webinars.

FAQs for P2Y10/P2RY10 Antibody (NLS862) (0)

There are no specific FAQs related to this product. Read our general customer & technical service FAQs.

Secondary Antibodies

 

Isotype Controls

Additional P2Y10/P2RY10 Products

Research Areas for P2Y10/P2RY10 Antibody (NLS862)

Find related products by research area.

Blogs on P2Y10/P2RY10

There are no specific blogs for P2Y10/P2RY10, but you can read our latest blog posts.

Contact Information

Product PDFs

Calculators

Concentration Calculator

The concentration calculator allows you to quickly calculate the volume, mass or concentration of your vial. Simply enter your mass, volume, or concentration values for your reagent and the calculator will determine the rest.

=
÷

Review this Product

Be the first to review our P2Y10/P2RY10 Antibody and receive a gift card or discount.

Bioinformatics

Gene Symbol P2RY10
Entrez