Napsin A Antibody (KCG1.1)

Images

 
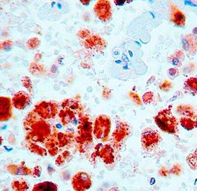
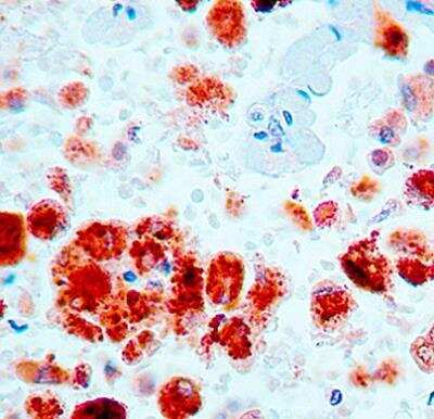
Immunohistochemistry-Paraffin: Napsin A Antibody (KCG1.1) [NB110-90605] - Formalin fixed paraffin embedded human Lung adenocarcinoma stained with Napsin A antibody (NB110-90605).
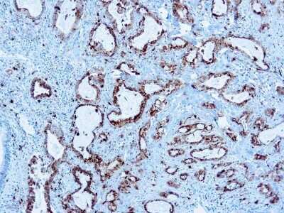
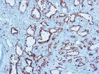
Immunohistochemistry-Paraffin: Napsin A Antibody (KCG1.1) [NB110-90605] - Formalin fixed paraffin embedded human lung adenocarcinoma stained with Napsin A monoclonal antibody.

Product Details

Summary
Product Discontinued
View other related Napsin A Primary Antibodies

Order Details


    • Catalog Number
      NB110-90605
    • Availability
      Product Discontinued

    Can't find what you are looking for? Use our Antibody Concierge Service & we will help you locate your antibody!

    Or feel free to contact us for alternative products.

Napsin A Antibody (KCG1.1) Summary

Immunogen
BALB/C mice were injected with synthetic peptide from N terminus of human Napsin A.
Localization
Cytoplasmic
Specificity
Napsin is found in two isoforms, A and B, with highly homologous gene sequences. Napsin A has a molecular weight of 35.0 kDa and is also known as TAO2. Napsin A is an aspartic proteinase which is expressed in the lung and involved in processing surfactant protein B (SP-B). It is also expressed in the kidney. This antibody may be a useful tool as a tumor marker for primary lung adenocarcinoma. Napsin expression correlates with the differentiation grade of lung adenocarcinoma.
Isotype
IgG1
Clonality
Monoclonal
Host
Mouse
Gene
NAPSA
Purity
Protein A or G purified
Innovator's Reward
Test in a species/application not listed above to receive a full credit towards a future purchase.

Applications/Dilutions

Dilutions
  • Immunohistochemistry 1:50-1:100
  • Immunohistochemistry-Paraffin
Application Notes
IHC-P: recommended pretreatment of citrate buffer, pH 6.0. Recommended incubation time of 30 min at RT.
Control
Napsin A Overexpression Lysate

Reactivity Notes

Human.

Packaging, Storage & Formulations

Storage
Store at 4C. Do not freeze.
Buffer
PBS (pH 7.4), 0.2% BSA, Tween-20
Preservative
0.05% Sodium Azide
Purity
Protein A or G purified

Alternate Names for Napsin A Antibody (KCG1.1)

  • Asp 4
  • ASP4
  • Aspartyl protease 4
  • EC 3.4.23
  • EC 3.4.23.-
  • EC 3.4.23.15
  • EC 3.4.23.3
  • EC 3.4.23.5
  • KAP
  • Kdap
  • NAP1napsin-A
  • NAPA
  • NAPApronapsin A
  • NAPSA
  • napsin A aspartic peptidase
  • Napsin A
  • Napsin-1
  • SNAPA
  • TA01/TA02

Background

Napsin is a pepsin-like aspartic proteinase, in the A1 clan of the AA clade of proteinases. Other AA family proteinases include Pepsin, cathepsin-D, cathepsin-E and rennin. Of these proteinases, napsin is most closely related to cathepsin-D, sharing 46% identity at the amino acid level. There are two closely related Napsins, napsin A and napsin B, with 85% overall identity at the amino acid level. There are three isoforms. Napsin-A is also termed napsin-1, or TA02, a Tumor Adenocarcinoma marker. Napsin A may be involved in processing of pneumocyte surfactant precursors.

Limitations

This product is for research use only and is not approved for use in humans or in clinical diagnosis. Primary Antibodies are guaranteed for 1 year from date of receipt.

Customers Who Viewed This Item Also Viewed...

NBP3-30941
Species: Hu, Rt
Applications: IHC, WB
NBP2-46175
Species: Hu, Mu, Rt
Applications: ICC/IF, IHC,  IHC-P, WB
AF5514
Species: Hu, Mu
Applications: WB
H00005555-P01
Species: Hu
Applications: ELISA, AP, PA, PAGE, WB
NBP2-37252
Species: Hu
Applications: CyTOF-ready, ELISA, Flow, ICC/IF, IHC,  IHC-P, WB
NBP2-01763
Species: Hu, Mu, Rt
Applications: Flow, IHC,  IHC-P, WB
NBP3-38499
Species: Hu, Mu, Rt
Applications: ELISA, ICC/IF, WB
NBP3-46899
Species: Hu
Applications: ELISA, ICC/IF, WB
H00002038-M01
Species: Hu
Applications: ELISA, ICC/IF, WB
H00010097-M01
Species: Hu
Applications: ELISA, IHC,  IHC-P, S-ELISA, WB
NBP1-81162
Species: Hu, Mu, Rt
Applications: IHC,  IHC-P, WB
AF1444
Species: Mu
Applications: IHC, WB
NBP1-30955
Species: Hu, Mu
Applications: ICC/IF, IHC,  IHC-P, WB
NBP3-27122
Species: Hu
Applications: ELISA, Flow, ICC/IF, IHC,  IHC-P, WB
NBP2-01245
Species: Hu, Mu
Applications: Flow, ICC/IF, IHC,  IHC-P, WB
NBP3-03514
Species: Hu, Mu
Applications: ICC/IF, IHC,  IHC-P
NBP2-07996
Species: Hu
Applications: WB
NBP2-52486
Species: Hu
Applications: CyTOF-ready, ELISA, Flow, ICC/IF, IHC,  IHC-P, WB

Publications for Napsin A Antibody (NB110-90605) (0)

There are no publications for Napsin A Antibody (NB110-90605).
By submitting your publication information earn gift cards and discounts for future purchases.

Reviews for Napsin A Antibody (NB110-90605) (0)

There are no reviews for Napsin A Antibody (NB110-90605). By submitting a review you will receive an Amazon e-Gift Card or Novus Product Discount.
  • Review with no image -- $10/€7/£6/$10 CAD/¥70 Yuan/¥1110 Yen
  • Review with an image -- $25/€18/£15/$25 CAD/¥150 Yuan/¥2500 Yen

Product General Protocols

Find general support by application which include: protocols, troubleshooting, illustrated assays, videos and webinars.

FAQs for Napsin A Antibody (NB110-90605) (0)

There are no specific FAQs related to this product. Read our general customer & technical service FAQs.

Control Lysate(s)

Secondary Antibodies

 

Isotype Controls

Additional Napsin A Products

Research Areas for Napsin A Antibody (NB110-90605)

Find related products by research area.

Blogs on Napsin A

There are no specific blogs for Napsin A, but you can read our latest blog posts.

Contact Information

Product PDFs

Calculators

Concentration Calculator

The concentration calculator allows you to quickly calculate the volume, mass or concentration of your vial. Simply enter your mass, volume, or concentration values for your reagent and the calculator will determine the rest.

=
÷

Review this Product

Be the first to review our Napsin A Antibody (KCG1.1) and receive a gift card or discount.

Bioinformatics

Gene Symbol NAPSA
Entrez
Uniprot