MTERFD1 Antibody

Images

 
Western Blot: MTERFD1 Antibody [NBP2-75576] - Analysis of MTERFD1 on Hela (1) and HepG2 (2) cell lysates using anti-MTERFD1 antibody at 1/500 dilution.
Immunocytochemistry/ Immunofluorescence: MTERFD1 Antibody [NBP2-75576] - Staining MTERFD1 in NIH-3T3 cells (red). The nuclear counter stain is DAPI (blue). Cells were fixed in paraformaldehyde, permeabilised with 0.25% ...read more
Immunohistochemistry-Paraffin: MTERFD1 Antibody [NBP2-75576] - Analysis of paraffin-embedded mouse heart tissue using anti-MTERFD1 antibody. Counter stained with hematoxylin.
Immunocytochemistry/ Immunofluorescence: MTERFD1 Antibody [NBP2-75576] - Staining MTERFD1 in HepG2 cells (red). The nuclear counter stain is DAPI (blue). Cells were fixed in paraformaldehyde, permeabilised with 0.25% ...read more
Immunocytochemistry/ Immunofluorescence: MTERFD1 Antibody [NBP2-75576] - Staining MTERFD1 in Hela cells (red). The nuclear counter stain is DAPI (blue). Cells were fixed in paraformaldehyde, permeabilised with 0.25% ...read more
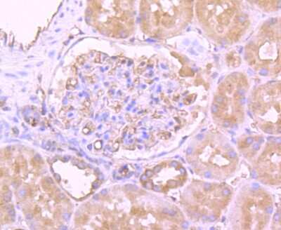
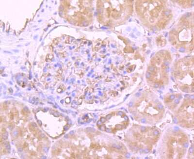
Immunohistochemistry-Paraffin: MTERFD1 Antibody [NBP2-75576] - Analysis of paraffin-embedded human kidney tissue using anti-MTERFD1 antibody. Counter stained with hematoxylin.
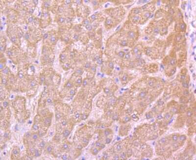
Immunohistochemistry-Paraffin: MTERFD1 Antibody [NBP2-75576] - Analysis of paraffin-embedded human liver tissue using anti-MTERFD1 antibody. Counter stained with hematoxylin.
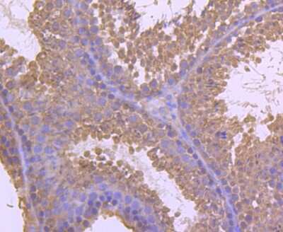
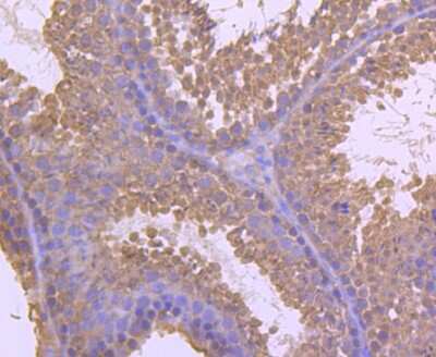
Immunohistochemistry-Paraffin: MTERFD1 Antibody [NBP2-75576] - Analysis of paraffin-embedded mouse testis tissue using anti-MTERFD1 antibody. Counter stained with hematoxylin.

Product Details

Summary
Product Discontinued
View other related MTERFD1 Primary Antibodies

Order Details


    • Catalog Number
      NBP2-75576
    • Availability
      Product Discontinued

    Can't find what you are looking for? Use our Antibody Concierge Service & we will help you locate your antibody!

    Or feel free to contact us for alternative products.

MTERFD1 Antibody Summary

Immunogen
Recombinant protein within Human MTERFD1 aa 49-318 / 417. (SwissProt: Q96E29 Human; SwissProt: Q8R3J4 Mouse)
Localization
Mitochondrion.
Isotype
IgG
Clonality
Polyclonal
Host
Rabbit
Gene
MTERF3
Purity
Protein A purified
Innovator's Reward
Test in a species/application not listed above to receive a full credit towards a future purchase.

Applications/Dilutions

Dilutions
  • Immunocytochemistry/ Immunofluorescence 1:50-1:200
  • Immunohistochemistry
  • Immunohistochemistry-Paraffin 1:50-1:200
  • Western Blot 1:500
Theoretical MW
38 kDa.
Disclaimer note: The observed molecular weight of the protein may vary from the listed predicted molecular weight due to post translational modifications, post translation cleavages, relative charges, and other experimental factors.

Packaging, Storage & Formulations

Storage
Store at 4C short term. Aliquot and store at -20C long term. Avoid freeze-thaw cycles.
Buffer
PBS (pH7.4), 0.2% BSA, 50% Glycerol
Preservative
0.05% Sodium Azide
Concentration
1 mg/ml
Purity
Protein A purified

Alternate Names for MTERFD1 Antibody

  • CGI-12
  • FLJ10939
  • Mitochondrial transcription termination factor 3
  • MTERF domain containing 1
  • mTERF domain-containing protein 1, mitochondrial
  • mTERF3

Limitations

This product is for research use only and is not approved for use in humans or in clinical diagnosis. Primary Antibodies are guaranteed for 1 year from date of receipt.

Customers Who Viewed This Item Also Viewed...

NBP3-47009
Species: Hu, Mu, Rt
Applications: ELISA, WB
NBP1-82241
Species: Hu
Applications: IHC,  IHC-P, WB
NBP2-57353
Species: Hu
Applications: ICC/IF, WB
NBP2-20626
Species: Hu, Mu, Rt
Applications: IHC,  IHC-P, KO, WB
NBP1-71648
Species: Hu, Mu(-)
Applications: ICC/IF, IHC,  IHC-P, Simple Western, WB
NBP1-80720
Species: Hu, Mu, Rt
Applications: ICC/IF, IHC,  IHC-P, KD, WB
NBP1-83180
Species: Hu
Applications: ICC/IF, IHC,  IHC-P, WB
NBP2-94462
Species: Hu, Mu, Rt
Applications: ELISA, ICC/IF, IHC,  IHC-P, WB
AF1457
Species: Hu, Mu, Rt
Applications: ICC, KO, Simple Western, WB
NBP2-38600
Species: Hu
Applications: ICC/IF, IHC,  IHC-P, WB
NBP1-86322
Species: Hu
Applications: ICC/IF, IHC,  IHC-P, WB
H00728695-B01P
Species: Hu
Applications: ICC/IF, IP, WB
NBP2-38449
Species: Hu
Applications: ICC/IF, IHC,  IHC-P
NBP1-88927
Species: Hu, Mu
Applications: ICC/IF, IHC,  IHC-P, WB
NBP2-54591
Species: Hu
Applications: CyTOF-ready, Flow, ICC/IF, IHC,  IHC-P, PA
NBP2-20626
Species: Hu, Mu, Rt
Applications: IHC,  IHC-P, KO, WB

Publications for MTERFD1 Antibody (NBP2-75576) (0)

There are no publications for MTERFD1 Antibody (NBP2-75576).
By submitting your publication information earn gift cards and discounts for future purchases.

Reviews for MTERFD1 Antibody (NBP2-75576) (0)

There are no reviews for MTERFD1 Antibody (NBP2-75576). By submitting a review you will receive an Amazon e-Gift Card or Novus Product Discount.
  • Review with no image -- $10/€7/£6/$10 CAD/¥70 Yuan/¥1110 Yen
  • Review with an image -- $25/€18/£15/$25 CAD/¥150 Yuan/¥2500 Yen

Product General Protocols

Find general support by application which include: protocols, troubleshooting, illustrated assays, videos and webinars.

Video Protocols

WB Video Protocol
ICC/IF Video Protocol

FAQs for MTERFD1 Antibody (NBP2-75576) (0)

There are no specific FAQs related to this product. Read our general customer & technical service FAQs.

Secondary Antibodies

 

Isotype Controls

Additional MTERFD1 Products

Array NBP2-75576

Research Areas for MTERFD1 Antibody (NBP2-75576)

Find related products by research area.

Blogs on MTERFD1

There are no specific blogs for MTERFD1, but you can read our latest blog posts.

Contact Information

Product PDFs

Calculators

Concentration Calculator

The concentration calculator allows you to quickly calculate the volume, mass or concentration of your vial. Simply enter your mass, volume, or concentration values for your reagent and the calculator will determine the rest.

=
÷

Review this Product

Be the first to review our MTERFD1 Antibody and receive a gift card or discount.

Bioinformatics

Gene Symbol MTERF3