MRGPRE Antibody

Images

 
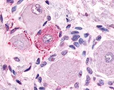
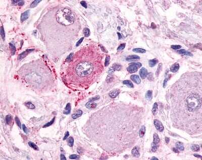
Immunohistochemistry-Paraffin: MRGPRE Antibody [NLS4343] - Analysis of anti-MRGPRE antibody with human dorsal root ganglion at 16 ug/ml.

Product Details

Summary
Product Discontinued
View other related MRGPRE Primary Antibodies

Order Details


    • Catalog Number
      NLS4343
    • Availability
      Product Discontinued

    Can't find what you are looking for? Use our Antibody Concierge Service & we will help you locate your antibody!

    Or feel free to contact us for alternative products.

MRGPRE Antibody Summary

Immunogen
Synthetic 17 amino acid peptide from C-terminus of human MRGPRE.
Epitope
C-terminal domain of human
Specificity
Human MRGPRE. BLAST analysis of the peptide immunogen showed no homology with other human proteins.
Predicted Species
Primate (94%), Monkey (94%). Backed by our 100% Guarantee.
Isotype
IgG
Clonality
Polyclonal
Host
Rabbit
Gene
MRGPRE
Purity
Immunogen affinity purified
Innovator's Reward
Test in a species/application not listed above to receive a full credit towards a future purchase.

Applications/Dilutions

Dilutions
  • Immunohistochemistry
  • Immunohistochemistry-Paraffin 16 ug/ml
Control
MRGPRE Overexpression Lysate

Reactivity Notes

Predicted cross-reactivity based on sequence identity: Gorilla (100%), Gibbon (100%), Marmoset (94%), Mouse (82%), Rat (82%).

Packaging, Storage & Formulations

Storage
Store at 4C short term. Aliquot and store at -20C long term. Avoid freeze-thaw cycles.
Buffer
PBS
Preservative
0.1% Sodium Azide
Concentration
1.0 mg/ml
Purity
Immunogen affinity purified

Alternate Names for MRGPRE Antibody

  • G protein-coupled receptor 167
  • GPR167
  • G-protein coupled receptor 167
  • mas-related G protein-coupled MRGE
  • MAS-related GPR, member E
  • mas-related G-protein coupled receptor member E
  • MRGE
  • MRGEMGC138408
  • MRGPRE

Background

MRGE is an Orphan-A GPCR with an unknown ligand. MRGE is highly similar to other MRG receptors.

Limitations

This product is for research use only and is not approved for use in humans or in clinical diagnosis. Primary Antibodies are guaranteed for 1 year from date of receipt.

Customers Who Viewed This Item Also Viewed...

DYC1825-2
Species: Hu, Mu, Rt
Applications: ELISA
AF1230
Species: Hu, Mu, Rt
Applications: IHC, KO, WB
NBP3-14409
Species: Hu
Applications: IHC,  IHC-P
NBP1-83341
Species: Hu
Applications: ICC/IF, IHC,  IHC-P, WB
NBP2-47370
Species: Hu
Applications: ICC/IF, IHC,  IHC-P, WB
NLS418
Species: Hu
Applications: IHC,  IHC-P
MAB194
Species: Hu, Mu
Applications: CyTOF-ready, Flow, ICC, WB
AF467
Species: Hu, Mu
Applications: CyTOF-ready, Flow, ICC, IHC, Simple Western, WB
MAB4375
Species: Hu, Mu, Rt
Applications: IHC
NB110-75035
Species: Ha(-), Hu, Mu
Applications: ICC/IF, IHC, KD, Single-Cell Western, WB
MAB8458
Species: Hu
Applications: CyTOF-ready, Flow, ICC
AF1347
Species: Hu, Mu, Rt
Applications: ICC, IHC, Simple Western, WB
AF3166
Species: Hu
Applications: IHC, Simple Western, WB
NLS2756
Species: Hu, Pm
Applications: ICC, IHC,  IHC-P

Publications for MRGPRE Antibody (NLS4343) (0)

There are no publications for MRGPRE Antibody (NLS4343).
By submitting your publication information earn gift cards and discounts for future purchases.

Reviews for MRGPRE Antibody (NLS4343) (0)

There are no reviews for MRGPRE Antibody (NLS4343). By submitting a review you will receive an Amazon e-Gift Card or Novus Product Discount.
  • Review with no image -- $10/€7/£6/$10 CAD/¥70 Yuan/¥1110 Yen
  • Review with an image -- $25/€18/£15/$25 CAD/¥150 Yuan/¥2500 Yen

Product General Protocols

View specific protocols for MRGPRE Antibody (NLS4343): Find general support by application which include: protocols, troubleshooting, illustrated assays, videos and webinars.

FAQs for MRGPRE Antibody (NLS4343) (0)

There are no specific FAQs related to this product. Read our general customer & technical service FAQs.

Control Lysate(s)

Secondary Antibodies

 

Isotype Controls

Additional MRGPRE Products

Research Areas for MRGPRE Antibody (NLS4343)

Find related products by research area.

Blogs on MRGPRE

There are no specific blogs for MRGPRE, but you can read our latest blog posts.

Contact Information

Product PDFs

Calculators

Concentration Calculator

The concentration calculator allows you to quickly calculate the volume, mass or concentration of your vial. Simply enter your mass, volume, or concentration values for your reagent and the calculator will determine the rest.

=
÷

Review this Product

Be the first to review our MRGPRE Antibody and receive a gift card or discount.

Bioinformatics

Gene Symbol MRGPRE
Entrez