IQCN Antibody - BSA Free

Images

 
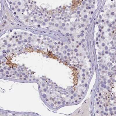
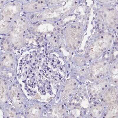
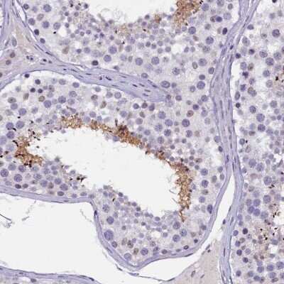
Orthogonal Strategies: Immunohistochemistry-Paraffin: IQCN Antibody [NBP1-85833] - KIAA1683 Antibody [NBP1-85833] - Staining in human testis and kidney tissues using anti-KIAA1683 antibody. Corresponding KIAA1683 ...read more
Immunohistochemistry-Paraffin: KIAA1683 Antibody [NBP1-85833] - Staining of human kidney shows low expression as expected.
Immunohistochemistry-Paraffin: KIAA1683 Antibody [NBP1-85833] - Staining of human testis shows high expression.

Product Details

Summary
Reactivity HuSpecies Glossary
Applications IHC
Clonality
Polyclonal
Host
Rabbit
Conjugate
Unconjugated
Format
BSA Free
Validated by:
       

Orthogonal Strategies

 

Order Details

View Available Formulations
Catalog# & Formulation Size Price

IQCN Antibody - BSA Free Summary

Description
Novus Biologicals Rabbit IQCN Antibody - BSA Free (NBP1-85833) is a polyclonal antibody validated for use in IHC. Anti-IQCN Antibody: Cited in 1 publication. All Novus Biologicals antibodies are covered by our 100% guarantee.
Immunogen
This antibody was developed against Recombinant Protein corresponding to amino acids: FPSCDNLVLCRPQSSPLLQPPAAQGTPEPCVQGPHAARVRGLAFLPHQTVTIRFPCPVSLDAKCQPCLLTRTIRSTCLVHIEGDSVKTKRVSARTNKARAPETPLSRRYDQAVTRPSR
Isotype
IgG
Clonality
Polyclonal
Host
Rabbit
Gene
KIAA1683
Purity
Immunogen affinity purified
Innovator's Reward
Test in a species/application not listed above to receive a full credit towards a future purchase.

Applications/Dilutions

Dilutions
  • Immunohistochemistry 1:50 - 1:200
  • Immunohistochemistry-Paraffin 1:50 - 1:200
Application Notes
For IHC-Paraffin, HIER pH 6 retrieval is recommended.
Control Peptide
IQCN Recombinant Protein Antigen (NBP1-85833PEP)
Publications
Read Publication using NBP1-85833.

Reactivity Notes

Reactivity reported in scientific literature (PMID: 23435261)

Packaging, Storage & Formulations

Storage
Store at 4C short term. Aliquot and store at -20C long term. Avoid freeze-thaw cycles.
Buffer
PBS (pH 7.2) and 40% Glycerol
Preservative
0.02% Sodium Azide
Purity
Immunogen affinity purified

Alternate Names for IQCN Antibody - BSA Free

  • KIAA1683
  • MGC131731

Limitations

This product is for research use only and is not approved for use in humans or in clinical diagnosis. Primary Antibodies are guaranteed for 1 year from date of receipt.

Customers Who Viewed This Item Also Viewed...

NBP3-04784
Species: Hu, Mu, Rt
Applications: ELISA, ICC/IF, IHC,  IHC-P, WB
NB600-717
Species: Bv
Applications: ELISA, ICC/IF, IHC, IHC-Fr,  IHC-P, RIA, RI, WB
AF2307
Species: Hu
Applications: ELISA(Cap), ELISA(Det), ELISA(Sta), WB
NBP1-85833
Species: Hu
Applications: IHC

Publications for IQCN Antibody (NBP1-85833)(1)

Reviews for IQCN Antibody (NBP1-85833) (0)

There are no reviews for IQCN Antibody (NBP1-85833). By submitting a review you will receive an Amazon e-Gift Card or Novus Product Discount.
  • Review with no image -- $10/€7/£6/$10 CAD/¥70 Yuan/¥1110 Yen
  • Review with an image -- $25/€18/£15/$25 CAD/¥150 Yuan/¥2500 Yen

Product General Protocols

Find general support by application which include: protocols, troubleshooting, illustrated assays, videos and webinars.

FAQs for IQCN Antibody (NBP1-85833) (0)

There are no specific FAQs related to this product. Read our general customer & technical service FAQs.

Customers Who Bought This Also Bought

Contact Information

Product PDFs

Calculators

Concentration Calculator

The concentration calculator allows you to quickly calculate the volume, mass or concentration of your vial. Simply enter your mass, volume, or concentration values for your reagent and the calculator will determine the rest.

=
÷

Review this Product

Be the first to review our IQCN Antibody - BSA Free and receive a gift card or discount.

Bioinformatics

Gene Symbol KIAA1683