HPCL Antibody

Images

 
Western Blot: HPCL Antibody [NBP1-31571] - Sample(30 ug whole cell lysate)A:293T 7.5% SDS PAGE, antibody diluted at 1:1000.
Immunocytochemistry/ Immunofluorescence: HPCL Antibody [NBP1-31571] - Paraformaldehyde-fixed HeLa, using antibody at 1:200 dilution.
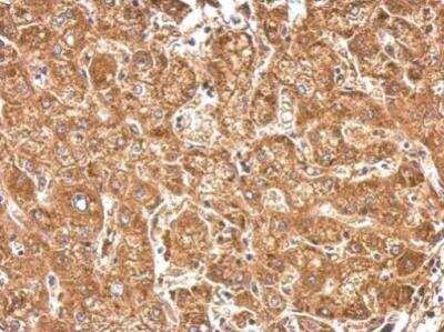
Immunohistochemistry-Paraffin: HPCL Antibody [NBP1-31571] - HPCL antibody detects HPCL protein at cytosol on human hepatoma by immunohistochemical analysis. Sample: Paraffin-embedded hepatoma.HPCL antibody dilution: ...read more
Western Blot: HPCL Antibody [NBP1-31571] - Sample (50 ug of whole cell lysate) A: mouse liver 7. 5% SDS PAGE; antibody diluted at 1:1000.
Immunohistochemistry-Paraffin: HPCL Antibody [NBP1-31571] - HPCL antibody detects HPCL protein at cytosol on human normal liver by immunohistochemical analysis. Sample: Paraffin-embedded human normal liver.HPCL antibody ...read more

Product Details

Summary
Product Discontinued
View other related HPCL Primary Antibodies

Order Details


    • Catalog Number
      NBP1-31571
    • Availability
      Product Discontinued

    Can't find what you are looking for? Use our Antibody Concierge Service & we will help you locate your antibody!

    Or feel free to contact us for alternative products.

HPCL Antibody Summary

Immunogen
Recombinant protein encompassing a sequence within the C-terminus region of human HACL1. The exact sequence is proprietary.
Localization
Peroxisome
Isotype
IgG
Clonality
Polyclonal
Host
Rabbit
Gene
HACL1
Purity
Immunogen affinity purified
Innovator's Reward
Test in a species/application not listed above to receive a full credit towards a future purchase.

Applications/Dilutions

Dilutions
  • Immunocytochemistry/ Immunofluorescence 1:100-1:1000
  • Immunohistochemistry 10 - 1:500
  • Immunohistochemistry-Paraffin 1:100-1:1000
  • Western Blot 1:500-1:3000

Packaging, Storage & Formulations

Storage
Aliquot and store at -20C or -80C. Avoid freeze-thaw cycles.
Buffer
0.1M Tris (pH 7), 0.1M Glycine, 10% Glycerol
Preservative
0.01% Thimerosal
Purity
Immunogen affinity purified

Alternate Names for HPCL Antibody

  • 1600020H07Rik
  • 2,2-HPCL
  • 2-hydroxyacyl-CoA lyase 1
  • 2-hydroxyphytanoyl-CoA lyase2-hydroxyphytanol-CoA lyase
  • EC 4.1
  • HPCL
  • PHYH2FLJ55041
  • Phytanoyl-CoA 2-hydroxylase 2
  • phytanoyl-CoA hydroxylase 2

Background

HPCL catalyzes a carbon-carbon cleavage reaction; cleaves a 2-hydroxy-3-methylacyl-CoA into formyl-CoA and a 2-methyl-branched fatty aldehyde

Limitations

This product is for research use only and is not approved for use in humans or in clinical diagnosis. Primary Antibodies are guaranteed for 1 year from date of receipt.

Customers Who Viewed This Item Also Viewed...

NBP1-87349
Species: Hu, Mu
Applications: IHC,  IHC-P, WB
AF7197
Species: Hu, Mu
Applications: ICC, IHC, WB
NBP1-32975
Species: Hu, Mu
Applications: ICC/IF, IHC,  IHC-P, KO, WB
AF6846
Species: Hu
Applications: IHC
NBP1-88927
Species: Hu, Mu
Applications: ICC/IF, IHC,  IHC-P, WB
NBP3-46775
Species: Hu, Mu, Rt
Applications: ELISA, IHC, IP, WB
NBP1-79286
Species: Rt
Applications: WB
NB100-56116
Species: Ma, Hu, Mu, Rt
Applications: Flow, ICC/IF, IHC, IHC-Fr,  IHC-P, IP, Simple Western, WB
NBP3-12981
Species: Hu, Mu, Rt
Applications: ICC/IF, WB
NBP2-48860
Species: Hu, Mu
Applications: IHC,  IHC-P, WB
NBP1-88057
Species: Hu, Rt
Applications: ICC/IF, IHC,  IHC-P, WB
7954-GM/CF
Species: Hu
Applications: BA
AF2818
Species: Hu
Applications: ICC, WB
NBP1-82613
Species: Hu
Applications: ICC/IF, IHC,  IHC-P, WB
AF1936
Species: Hu
Applications: IP, WB
NBP2-01017
Species: Hu, Rt
Applications: Flow, IHC,  IHC-P, WB
NBP1-31571
Species: Hu, Mu
Applications: WB, ICC/IF, IHC
⚠ WARNING: This product can expose you to chemicals including mercury, which is known to the State of California to cause reproductive toxicity with developmental effects.  For more information go to www.P65Warnings.ca.gov.

Publications for HPCL Antibody (NBP1-31571) (0)

There are no publications for HPCL Antibody (NBP1-31571).
By submitting your publication information earn gift cards and discounts for future purchases.

Reviews for HPCL Antibody (NBP1-31571) (0)

There are no reviews for HPCL Antibody (NBP1-31571). By submitting a review you will receive an Amazon e-Gift Card or Novus Product Discount.
  • Review with no image -- $10/€7/£6/$10 CAD/¥70 Yuan/¥1110 Yen
  • Review with an image -- $25/€18/£15/$25 CAD/¥150 Yuan/¥2500 Yen

Product General Protocols

Find general support by application which include: protocols, troubleshooting, illustrated assays, videos and webinars.

Video Protocols

WB Video Protocol
ICC/IF Video Protocol

FAQs for HPCL Antibody (NBP1-31571) (0)

There are no specific FAQs related to this product. Read our general customer & technical service FAQs.

Contact Information

Product PDFs

Calculators

Concentration Calculator

The concentration calculator allows you to quickly calculate the volume, mass or concentration of your vial. Simply enter your mass, volume, or concentration values for your reagent and the calculator will determine the rest.

=
÷

Review this Product

Be the first to review our HPCL Antibody and receive a gift card or discount.

Bioinformatics

Gene Symbol HACL1