H1F0 Antibody (SD206-04)

Images

 
Western Blot: H1F0 Antibody (SD206-04) [NBP2-67752] - Analysis of Histone H1.0 on human lung lysates using anti-Histone H1.0 antibody at 1/1,000 dilution.
Immunocytochemistry/ Immunofluorescence: H1F0 Antibody (SD206-04) [NBP2-67752] - Staining Histone H1.0 in NIH/3T3 cells (green). The nuclear counter stain is DAPI (blue). Cells were fixed in paraformaldehyde, ...read more
Immunohistochemistry-Paraffin: H1F0 Antibody (SD206-04) [NBP2-67752] - Analysis of paraffin-embedded mouse liver tissue using anti-Histone H1.0 antibody. Counter stained with hematoxylin.
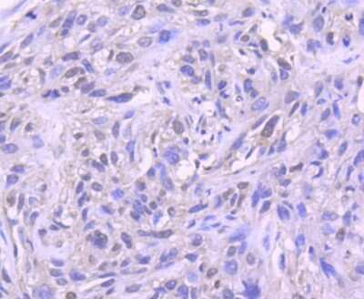
Immunohistochemistry-Paraffin: H1F0 Antibody (SD206-04) [NBP2-67752] - Analysis of paraffin-embedded human breast carcinoma tissue using anti-Histone H1.0 antibody. Counter stained with hematoxylin.
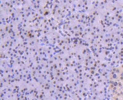
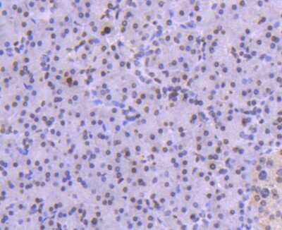
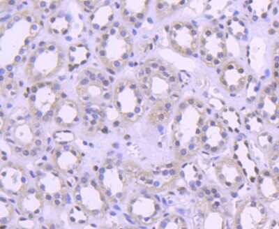
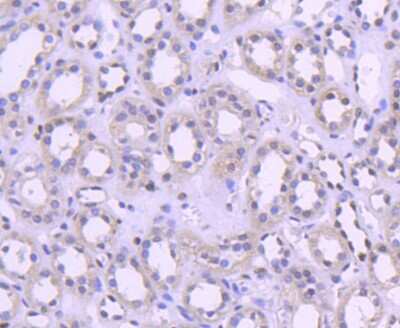
Immunohistochemistry-Paraffin: H1F0 Antibody (SD206-04) [NBP2-67752] - Analysis of paraffin-embedded human kidney tissue using anti-Histone H1.0 antibody. Counter stained with hematoxylin.
Immunohistochemistry-Paraffin: H1F0 Antibody (SD206-04) [NBP2-67752] - Analysis of paraffin-embedded human pancreas tissue using anti-Histone H1.0 antibody. Counter stained with hematoxylin.
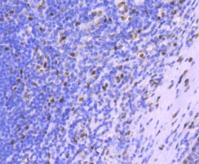
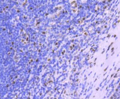
Immunohistochemistry-Paraffin: H1F0 Antibody (SD206-04) [NBP2-67752] - Analysis of paraffin-embedded human tonsil tissue using anti-Histone H1.0 antibody. Counter stained with hematoxylin.
Immunohistochemistry-Paraffin: H1F0 Antibody (SD206-04) [NBP2-67752] - Analysis of paraffin-embedded mouse colon tissue using anti-Histone H1.0 antibody. Counter stained with hematoxylin.

Product Details

Summary
Product Discontinued
View other related H1F0 Primary Antibodies

Order Details


    • Catalog Number
      NBP2-67752
    • Availability
      Product Discontinued

    Can't find what you are looking for? Use our Antibody Concierge Service & we will help you locate your antibody!

    Or feel free to contact us for alternative products.

H1F0 Antibody (SD206-04) Summary

Additional Information
Recombinant Monoclonal Antibody.
Immunogen
Synthetic peptide within Human H1F0 aa 1-50 / 194. (SwissProt: P07305 Human; SwissProt: P10922 Mouse; SwissProt: P43278 Rat)
Localization
Nucleus, Chromosome.
Isotype
IgG
Clonality
Monoclonal
Host
Rabbit
Gene
H1-0
Purity
Protein A purified
Innovator's Reward
Test in a species/application not listed above to receive a full credit towards a future purchase.

Applications/Dilutions

Dilutions
  • Immunocytochemistry/ Immunofluorescence 1:50-1:100
  • Immunohistochemistry
  • Immunohistochemistry-Paraffin 1:50-1:200
  • Western Blot 1:500-1:2000

Packaging, Storage & Formulations

Storage
Store at 4C short term. Aliquot and store at -20C long term. Avoid freeze-thaw cycles.
Buffer
TBS (pH7.4), 0.05% BSA, 40% Glycerol
Preservative
0.05% Sodium Azide
Concentration
1 mg/ml
Purity
Protein A purified

Alternate Names for H1F0 Antibody (SD206-04)

  • H1 histone family, member 0
  • H1.0, H1(0), H1-0
  • H10
  • H1FVMGC5241
  • Histone H1'
  • Histone H1(0)
  • histone H1.0

Background

Plasmid: pCMV-H1F0 Full length; Host Cell: 293T

Limitations

This product is for research use only and is not approved for use in humans or in clinical diagnosis. Primary Antibodies are guaranteed for 1 year from date of receipt.

Customers Who Viewed This Item Also Viewed...

NBP2-45184
Species: Hu, Mu, Rt
Applications: Flow, ICC/IF, IHC,  IHC-P, WB
NBP2-07996
Species: Hu
Applications: WB
NBP2-52486
Species: Hu
Applications: CyTOF-ready, ELISA, Flow, ICC/IF, IHC,  IHC-P, WB
NLS3775
Species: Hu, Pm
Applications: ICC/IF, IHC,  IHC-P
NBP1-85351
Species: Hu, Mu, Rt
Applications: ICC/IF, IHC,  IHC-P, WB
MAB4987
Species: Hu, Mu, Rt
Applications: WB
H00003166-B01P-50ug
Species: Hu
Applications: WB
NBP2-20154
Species: Hu, Mu, Rt
Applications: IHC,  IHC-P, WB
H00000389-M06
Species: Hu, Mu, Rt
Applications: ELISA, ICC/IF, IHC, S-ELISA, WB
H00009248-B01P
Species: Hu, Mu, Rt
Applications: Flow, KO, WB
NBP2-45731
Species: Ca, Hu, Pm
Applications: IHC,  IHC-P, WB
NBP1-33581
Species: Hu, Mu, Rt
Applications: ELISA, ICC/IF, IHC,  IHC-P, WB
AF4679
Species: Hu
Applications: WB
NBP2-67752
Species: Hu, Mu, Rt
Applications: WB, ICC/IF, IHC

Publications for H1F0 Antibody (NBP2-67752) (0)

There are no publications for H1F0 Antibody (NBP2-67752).
By submitting your publication information earn gift cards and discounts for future purchases.

Reviews for H1F0 Antibody (NBP2-67752) (0)

There are no reviews for H1F0 Antibody (NBP2-67752). By submitting a review you will receive an Amazon e-Gift Card or Novus Product Discount.
  • Review with no image -- $10/€7/£6/$10 CAD/¥70 Yuan/¥1110 Yen
  • Review with an image -- $25/€18/£15/$25 CAD/¥150 Yuan/¥2500 Yen

Product General Protocols

Find general support by application which include: protocols, troubleshooting, illustrated assays, videos and webinars.

Video Protocols

WB Video Protocol
ICC/IF Video Protocol

FAQs for H1F0 Antibody (NBP2-67752) (0)

There are no specific FAQs related to this product. Read our general customer & technical service FAQs.

Contact Information

Product PDFs

Calculators

Concentration Calculator

The concentration calculator allows you to quickly calculate the volume, mass or concentration of your vial. Simply enter your mass, volume, or concentration values for your reagent and the calculator will determine the rest.

=
÷

Review this Product

Be the first to review our H1F0 Antibody (SD206-04) and receive a gift card or discount.

Bioinformatics

Gene Symbol H1-0