GPR64 Antibody

Images

 
Immunohistochemistry-Paraffin: GPR64 Antibody [NLS1262] - Human testis. Immunohistochemistry of formalin-fixed, paraffin-embedded tissue after heat-induced antigen retrieval.
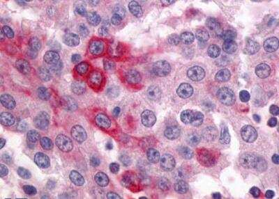
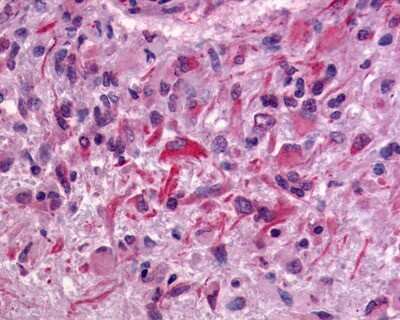
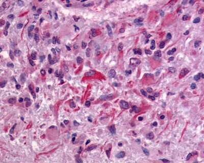
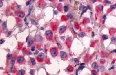
Immunohistochemistry-Paraffin: GPR64 Antibody [NLS1262] - Analysis of anti-GPR64 antibody with human brain, glioblastoma.
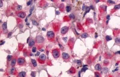
Immunohistochemistry-Paraffin: GPR64 Antibody [NLS1262] - Anti-GPR64 antibody IHC of human Skin, Melanoma. Immunohistochemistry of formalin-fixed, paraffin-embedded tissue after heat-induced antigen retrieval.
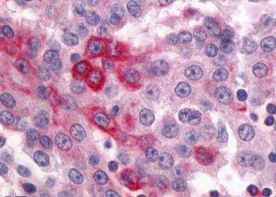
Immunohistochemistry-Paraffin: GPR64 Antibody [NLS1262] - Lung, Adenocarcinoma
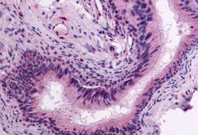
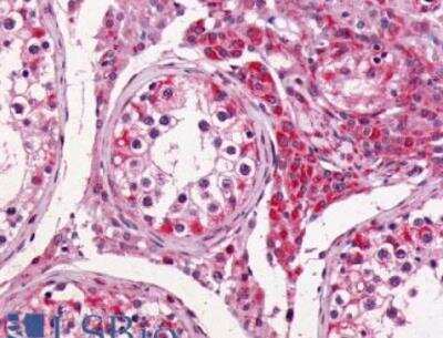
Immunohistochemistry-Paraffin: GPR64 Antibody [NLS1262] - Epididymis

Product Details

Summary
Product Discontinued
View other related GPR64 Primary Antibodies

Order Details


    • Catalog Number
      NLS1262
    • Availability
      Product Discontinued

    Can't find what you are looking for? Use our Antibody Concierge Service & we will help you locate your antibody!

    Or feel free to contact us for alternative products.

GPR64 Antibody Summary

Immunogen
Synthetic 20 amino acid peptide from C-terminus of human GPR64.
Localization
Cell membrane; Multi pass membrane protein.
Specificity
Human GPR64. BLAST analysis of the peptide immunogen showed no homology with other human proteins.
Predicted Species
Equine (90%), Canine (90%), Bat (90%), Bovine (95%), Rabbit (95%), Opossum (100%). Backed by our 100% Guarantee.
Isotype
IgG
Clonality
Polyclonal
Host
Rabbit
Gene
ADGRG2
Purity
Immunogen affinity purified
Innovator's Reward
Test in a species/application not listed above to receive a full credit towards a future purchase.

Applications/Dilutions

Dilutions
  • Immunohistochemistry
  • Immunohistochemistry-Paraffin 5 ug/ml

Reactivity Notes

Gorilla, Gibbon, Marmoset. Predicted cross-reactivity based on sequence identity: Panda (95%), Porcine (80%), Platypus (80%).

Packaging, Storage & Formulations

Storage
Store at 4C short term. Aliquot and store at -20C long term. Avoid freeze-thaw cycles.
Buffer
PBS
Preservative
0.1% Sodium Azide
Concentration
1.0 mg/ml
Purity
Immunogen affinity purified

Alternate Names for GPR64 Antibody

  • EDDM6
  • epididymis-specific (seven transmembrane family)
  • G protein-coupled receptor 64
  • GPR64
  • HE6
  • MGC104454
  • MGC138738
  • TM7LN2

Background

GPR64 is an Orphan-B GPCR with an unknown ligand. HE6 is endogenously cleaved into two pieces at the GPCR proteolytic site (GPS) located adjacent to the first transmembrane helix as a mechanism to compartmentalize the cell adhesion and GPCR activation functions. GPR64 has been reported in the epididymis. ESTs have been isolated from embryo, kidney, placenta, skeletal muscle, and testis libraries.

Limitations

This product is for research use only and is not approved for use in humans or in clinical diagnosis. Primary Antibodies are guaranteed for 1 year from date of receipt.

Customers Who Viewed This Item Also Viewed...

NLS418
Species: Hu
Applications: IHC,  IHC-P
NLS2756
Species: Hu, Pm
Applications: ICC, IHC,  IHC-P
AF4634
Species: Hu
Applications: CyTOF-ready, Flow, Simple Western, WB
MAB8458
Species: Hu
Applications: CyTOF-ready, Flow, ICC
NLS1017
Species: Bt, Bv, Ca, Eq, Hu, Mu
Applications: IHC,  IHC-P
MAB194
Species: Hu, Mu
Applications: CyTOF-ready, Flow, ICC, WB
NLS2576
Species: Hu, Pm, Rt
Applications: IHC,  IHC-P
AF2747
Species: Mu
Applications: ELISA(Cap), ELISA(Det), ELISA(Sta), IHC, IP, WB
5255-EN
Species: Hu
Applications: EnzAct
AF808
Species: Mu
Applications: ELISA(Cap), ELISA(Det), ELISA(Sta), ICC, IHC, Neut, WB
NBP2-46349
Species: Hu
Applications: IHC,  IHC-P, WB
NBP3-25636
Species: Hu, Mu, Rt
Applications: ICC/IF, IHC,  IHC-P, WB
NBP2-75896
Species: Pm-Cm, Hu, RM
Applications: ELISA, Flow, ICC/IF, IHC, IHC-Fr,  IHC-P, In vivo, WB
NBP1-03561
Species: Hu, Mu
Applications: IHC,  IHC-P, PEP-ELISA, WB
NBP2-48988
Species: Hu
Applications: IHC,  IHC-P
NLS1262
Species: Hu, Mu, Rt, Ha, Pm, Pm, Bt, Bv, Ca, Eq, Ma-Op, Rb
Applications: IHC

Publications for GPR64 Antibody (NLS1262) (0)

There are no publications for GPR64 Antibody (NLS1262).
By submitting your publication information earn gift cards and discounts for future purchases.

Reviews for GPR64 Antibody (NLS1262) (0)

There are no reviews for GPR64 Antibody (NLS1262). By submitting a review you will receive an Amazon e-Gift Card or Novus Product Discount.
  • Review with no image -- $10/€7/£6/$10 CAD/¥70 Yuan/¥1110 Yen
  • Review with an image -- $25/€18/£15/$25 CAD/¥150 Yuan/¥2500 Yen

Product General Protocols

View specific protocols for GPR64 Antibody (NLS1262): Find general support by application which include: protocols, troubleshooting, illustrated assays, videos and webinars.

FAQs for GPR64 Antibody (NLS1262) (0)

There are no specific FAQs related to this product. Read our general customer & technical service FAQs.

Secondary Antibodies

 

Isotype Controls

Additional GPR64 Products

Research Areas for GPR64 Antibody (NLS1262)

Find related products by research area.

Blogs on GPR64

There are no specific blogs for GPR64, but you can read our latest blog posts.

Contact Information

Product PDFs

Calculators

Concentration Calculator

The concentration calculator allows you to quickly calculate the volume, mass or concentration of your vial. Simply enter your mass, volume, or concentration values for your reagent and the calculator will determine the rest.

=
÷

Review this Product

Be the first to review our GPR64 Antibody and receive a gift card or discount.

Bioinformatics

Gene Symbol ADGRG2
Entrez
Uniprot