GPR160 Antibody

Images

 
Immunohistochemistry-Paraffin: GPR160 Antibody [NLS619] - Skeletal muscle
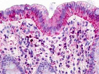
Immunohistochemistry: GPR160 Antibody [NLS619] - Colon, Epithelium

Product Details

Summary
Product Discontinued
View other related GPR160 Primary Antibodies

Order Details


    • Catalog Number
      NLS619
    • Availability
      Product Discontinued

    Can't find what you are looking for? Use our Antibody Concierge Service & we will help you locate your antibody!

    Or feel free to contact us for alternative products.

GPR160 Antibody Summary

Immunogen
Synthetic 20 amino acid peptide from 1st transmembrane domain of human GPR160.
Epitope
1st transmembrane domain of human
Specificity
Human GPR160. BLAST analysis of the peptide immunogen showed no homology with other human proteins, except ARMCX1 (40%).
Predicted Species
Bovine (90%), Canine (90%), Bat (95%), Primate (95%), Monkey (95%). Backed by our 100% Guarantee.
Isotype
IgG
Clonality
Polyclonal
Host
Rabbit
Gene
GPR160
Purity
Immunogen affinity purified
Innovator's Reward
Test in a species/application not listed above to receive a full credit towards a future purchase.

Applications/Dilutions

Dilutions
  • Immunohistochemistry
  • Immunohistochemistry-Paraffin 3 ug/ml to 17 ug/ml

Reactivity Notes

Predicted cross-reactivity based on sequence identity: Gorilla (100%), Gibbon (100%), Marmoset (95%), Panda (85%), Rabbit (80%).

Packaging, Storage & Formulations

Storage
Store at 4C short term. Aliquot and store at -20C long term. Avoid freeze-thaw cycles.
Buffer
PBS
Preservative
0.1% Sodium Azide
Concentration
1.0 mg/ml
Purity
Immunogen affinity purified

Alternate Names for GPR160 Antibody

  • G protein-coupled receptor 160
  • GPCR150GPCR1
  • GPR160
  • G-protein coupled receptor GPCR1
  • hGPCR1
  • probable G-protein coupled receptor 160
  • putative G protein-coupled receptor

Background

GPCR150 is an Orphan-A GPCR with an unknown ligand. ESTs for GPCR150 have been isolated from a diverse set of human tissue libraries, including normal small intestine, kidney, skeletal muscle and tonsil, and cancerous blood, bladder, placenta and parathyroid.

Limitations

This product is for research use only and is not approved for use in humans or in clinical diagnosis. Primary Antibodies are guaranteed for 1 year from date of receipt.

Customers Who Viewed This Item Also Viewed...

MAB8458
Species: Hu
Applications: CyTOF-ready, Flow, ICC
NLS418
Species: Hu
Applications: IHC,  IHC-P
NLS2756
Species: Hu, Pm
Applications: ICC, IHC,  IHC-P
MAB194
Species: Hu, Mu
Applications: CyTOF-ready, Flow, ICC, WB
NLS1017
Species: Bt, Bv, Ca, Eq, Hu, Mu
Applications: IHC,  IHC-P
NLS2576
Species: Hu, Pm, Rt
Applications: IHC,  IHC-P
NBP2-24488
Species: Hu, Pm
Applications: IHC,  IHC-P, WB
H00005457-Q01
Species: Hu
Applications: ELISA, AP, PA, WB
NBP2-57048
Species: Hu
Applications: ICC/IF, IHC,  IHC-P
NBP1-30475
Species: Hu, Mu
Applications: IHC,  IHC-P, IP, WB
MAB172
Species: Hu
Applications: CyTOF-ready, Flow, IHC, Neut
AF5825
Species: Hu, Mu
Applications: CyTOF-ready, Flow, WB
NBP1-19371
Species: Ca, Hu, Mu, Po, Rb, Rt
Applications: Dual ISH-IHC, Flow, ICC/IF, IHC, IHC-Fr,  IHC-P, Simple Western, WB
NLS619
Species: Hu, Bt, Bv, Ca, Pm, Pm
Applications: IHC

Publications for GPR160 Antibody (NLS619) (0)

There are no publications for GPR160 Antibody (NLS619).
By submitting your publication information earn gift cards and discounts for future purchases.

Reviews for GPR160 Antibody (NLS619) (0)

There are no reviews for GPR160 Antibody (NLS619). By submitting a review you will receive an Amazon e-Gift Card or Novus Product Discount.
  • Review with no image -- $10/€7/£6/$10 CAD/¥70 Yuan/¥1110 Yen
  • Review with an image -- $25/€18/£15/$25 CAD/¥150 Yuan/¥2500 Yen

Product General Protocols

View specific protocols for GPR160 Antibody (NLS619): Find general support by application which include: protocols, troubleshooting, illustrated assays, videos and webinars.

FAQs for GPR160 Antibody (NLS619) (0)

There are no specific FAQs related to this product. Read our general customer & technical service FAQs.

Secondary Antibodies

 

Isotype Controls

Additional GPR160 Products

Research Areas for GPR160 Antibody (NLS619)

Find related products by research area.

Blogs on GPR160

There are no specific blogs for GPR160, but you can read our latest blog posts.

Contact Information

Product PDFs

Calculators

Concentration Calculator

The concentration calculator allows you to quickly calculate the volume, mass or concentration of your vial. Simply enter your mass, volume, or concentration values for your reagent and the calculator will determine the rest.

=
÷

Review this Product

Be the first to review our GPR160 Antibody and receive a gift card or discount.

Bioinformatics

Gene Symbol GPR160
Entrez