GPR110 Antibody

Images

 
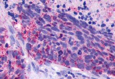
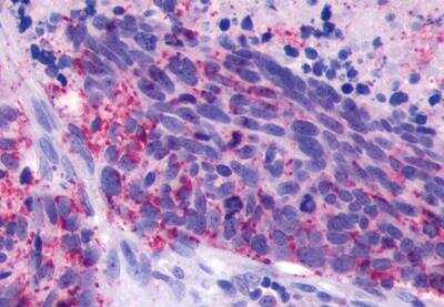
Immunohistochemistry-Paraffin: GPR110 Antibody [NLS2019] - Brain, Caudate, Neurons and glia
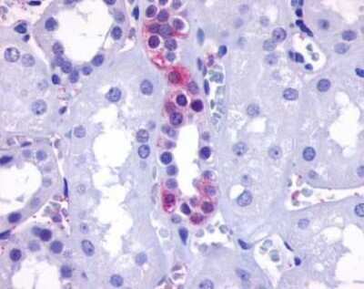
Immunohistochemistry-Paraffin: GPR110 Antibody [NLS2019] - Analysis of anti-GPR110 antibody with kidney, renal tubules.
Immunohistochemistry-Paraffin: GPR110 Antibody [NLS2019] - Analysis of anti-GPR110 antibody with human brain, glioblastoma.
Immunohistochemistry-Paraffin: GPR110 Antibody [NLS2019] - Human Lung, Small Cell Carcinoma tissue after heat-induced antigen retrieval.
Immunohistochemistry-Paraffin: GPR110 Antibody [NLS2019] - Brain, Putamen

Product Details

Summary
Product Discontinued
View other related GPR110 Primary Antibodies

Order Details


    • Catalog Number
      NLS2019
    • Availability
      Product Discontinued

    Can't find what you are looking for? Use our Antibody Concierge Service & we will help you locate your antibody!

    Or feel free to contact us for alternative products.

GPR110 Antibody Summary

Immunogen
Synthetic 18 amino acid peptide from N-terminal extracellular domain of human GPR110.
Epitope
N-terminal extracellular domain of human
Specificity
Human GPR110. BLAST analysis of the peptide immunogen showed no homology with other human proteins.
Predicted Species
Primate (100%). Backed by our 100% Guarantee.
Isotype
IgG
Clonality
Polyclonal
Host
Rabbit
Gene
ADGRF1
Purity
Immunogen affinity purified
Innovator's Reward
Test in a species/application not listed above to receive a full credit towards a future purchase.

Applications/Dilutions

Dilutions
  • Immunohistochemistry
  • Immunohistochemistry-Paraffin 8 - 15 ug/ml

Reactivity Notes

Predicted cross-reactivity based on sequence identity: Gorilla (100%), Gibbon (100%), Canine (89%), Marmoset (83%).

Packaging, Storage & Formulations

Storage
Store at 4C short term. Aliquot and store at -20C long term. Avoid freeze-thaw cycles.
Buffer
PBS
Preservative
0.1% Sodium Azide
Concentration
1.0 mg/ml
Purity
Immunogen affinity purified

Alternate Names for GPR110 Antibody

  • FLJ22684
  • FLJ30646
  • G protein-coupled receptor 110
  • G protein-coupled receptor PGR19
  • GPCR36
  • GPR110
  • G-protein coupled receptor 110
  • G-protein coupled receptor KPG_012
  • G-protein coupled receptor PGR19
  • hGPCR36
  • KPG_012
  • PGR19
  • PGR19MGC125952
  • probable G-protein coupled receptor 110
  • seven transmembrane helix receptor

Background

G Protein-Coupled Receptor GPR110 is an Orphan-B GPCR with an unknown ligand. ESTs have been isolated from amnion, brain, breast, kidney, and testis libraries.

Limitations

This product is for research use only and is not approved for use in humans or in clinical diagnosis. Primary Antibodies are guaranteed for 1 year from date of receipt.

Customers Who Viewed This Item Also Viewed...

NLS1519
Species: Hu, Pm, Pm
Applications: IHC,  IHC-P
AF4634
Species: Hu
Applications: CyTOF-ready, Flow, Simple Western, WB
AF5437
Species: Hu
Applications: WB
AF6494
Species: Hu
Applications: WB
AF4894
Species: Hu
Applications: Neut, WB
AF7977
Species: Hu, Mu, Rt
Applications: Flow, IHC, WB
MAB8496
Species: Hu
Applications: CyTOF-ready, Flow, IHC
NBP1-03561
Species: Hu, Mu
Applications: IHC,  IHC-P, PEP-ELISA, WB
NBP1-87285
Species: Hu
Applications: ICC/IF, IHC,  IHC-P
NBP1-83262
Species: Hu
Applications: IHC,  IHC-P
NBP3-14348
Species: Hu
Applications: IHC,  IHC-P
NLS418
Species: Hu
Applications: IHC,  IHC-P
AF4984
Species: Hu
Applications: ChIP, CyTOF-ready, ICC, ICFlow, Simple Western, WB
MAB194
Species: Hu, Mu
Applications: CyTOF-ready, Flow, ICC, WB
AF2950
Species: Mu
Applications: CyTOF-ready, Flow, ICC, WB
NBP2-67375
Species: Hu, Mu, Rt
Applications: ChIP, ICC/IF, IHC,  IHC-P, WB
H00004585-M07
Species: Hu, Mu
Applications: ELISA, IHC,  IHC-P, WB
NLS2019
Species: Hu, Pm
Applications: IHC

Publications for GPR110 Antibody (NLS2019) (0)

There are no publications for GPR110 Antibody (NLS2019).
By submitting your publication information earn gift cards and discounts for future purchases.

Reviews for GPR110 Antibody (NLS2019) (0)

There are no reviews for GPR110 Antibody (NLS2019). By submitting a review you will receive an Amazon e-Gift Card or Novus Product Discount.
  • Review with no image -- $10/€7/£6/$10 CAD/¥70 Yuan/¥1110 Yen
  • Review with an image -- $25/€18/£15/$25 CAD/¥150 Yuan/¥2500 Yen

Product General Protocols

View specific protocols for GPR110 Antibody (NLS2019): Find general support by application which include: protocols, troubleshooting, illustrated assays, videos and webinars.

FAQs for GPR110 Antibody (NLS2019) (0)

There are no specific FAQs related to this product. Read our general customer & technical service FAQs.

Secondary Antibodies

 

Isotype Controls

Additional GPR110 Products

Research Areas for GPR110 Antibody (NLS2019)

Find related products by research area.

Blogs on GPR110

There are no specific blogs for GPR110, but you can read our latest blog posts.

Contact Information

Product PDFs

Calculators

Concentration Calculator

The concentration calculator allows you to quickly calculate the volume, mass or concentration of your vial. Simply enter your mass, volume, or concentration values for your reagent and the calculator will determine the rest.

=
÷

Review this Product

Be the first to review our GPR110 Antibody and receive a gift card or discount.

Bioinformatics

Gene Symbol ADGRF1
Entrez