DPP9 Antibody

Images

 
Immunocytochemistry/ Immunofluorescence: DPP9 Antibody [NBP1-89492] - Immunofluorescent staining of human cell line U-2 OS shows localization to cytosol.
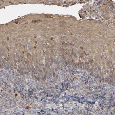
Immunohistochemistry-Paraffin: DPP9 Antibody [NBP1-89492] - Staining of human tonsil shows moderate cytoplasmic positivity in squamous epithelial cells.
Immunohistochemistry-Paraffin: DPP9 Antibody [NBP1-89492] - Staining of human heart muscle shows weak cytoplasmic positivity in cardiomyocytes.
Immunohistochemistry-Paraffin: DPP9 Antibody [NBP1-89492] - Staining of human skeletal muscle shows moderate cytoplasmic positivity in myocytes.

Product Details

Summary
Product Discontinued
View other related DPP9 Primary Antibodies

Order Details


    • Catalog Number
      NBP1-89492
    • Availability
      Product Discontinued

    Can't find what you are looking for? Use our Antibody Concierge Service & we will help you locate your antibody!

    Or feel free to contact us for alternative products.

DPP9 Antibody Summary

Immunogen
This antibody was developed against Recombinant Protein corresponding to amino acids: RDGKYAWAMFLDRPQQWLQLVLLPPALFIPSTENEEQRLASARAVPRNVQPYVVYEEVTNVWINVHDIFYPFPQSEGEDELCFL
Isotype
IgG
Clonality
Polyclonal
Host
Rabbit
Gene
DPP9
Purity
Immunogen affinity purified
Innovator's Reward
Test in a species/application not listed above to receive a full credit towards a future purchase.

Applications/Dilutions

Dilutions
  • Immunocytochemistry/ Immunofluorescence 0.25-2 ug/ml
  • Immunohistochemistry 1:20 - 1:50
  • Immunohistochemistry-Paraffin 1:20 - 1:50
Application Notes
For IHC-Paraffin, HIER pH 6 retrieval is recommended. ICC/IF Fixation Permeabilization: Use PFA/Triton X-100.

Reactivity Notes

Immunogen displays the following percentage of sequence identity for non-tested species: Mouse (81%)

Packaging, Storage & Formulations

Storage
Store at 4C short term. Aliquot and store at -20C long term. Avoid freeze-thaw cycles.
Buffer
PBS (pH 7.2) and 40% Glycerol
Preservative
0.02% Sodium Azide
Purity
Immunogen affinity purified

Alternate Names for DPP9 Antibody

  • dipeptidyl peptidase 9
  • Dipeptidyl peptidase IV-related protein 2
  • dipeptidyl peptidase IV-related protein-2
  • Dipeptidyl peptidase IX
  • Dipeptidyl peptidase-like protein 9
  • dipeptidylpeptidase 9
  • dipeptidyl-peptidase 9
  • DKFZp762F117
  • DP9
  • DPLP9
  • DPP IX
  • DPP9
  • DPRP2
  • DPRP-2
  • EC 3.4.14.5
  • FLJ16073

Background

DPP9 encodes a protein that is a member of the S9B family in clan SC of the serine proteases. The protein has been shown to have post-proline dipeptidyl aminopeptidase activity, cleaving Xaa-Pro dipeptides from the N-termini of proteins. Although the activity of this protein is similar to that of dipeptidyl peptidase 4 (DPP4), it does not appear to be membrane bound. In general, dipeptidyl peptidases appear to be involved in the regulation of the activity of their substrates and have been linked to a variety of diseases including type 2 diabetes, obesity and cancer. Several transcript variants of this gene have been described but not fully characterized.

Limitations

This product is for research use only and is not approved for use in humans or in clinical diagnosis. Primary Antibodies are guaranteed for 1 year from date of receipt.

Customers Who Viewed This Item Also Viewed...

AF1180
Species: Hu
Applications: ICC, IHC, Simple Western, WB
NBP2-01830
Species: Ca, Hu, Mu, Rt
Applications: IHC,  IHC-P, WB
AF3715
Species: Hu
Applications: Dual ISH-IHC, IHC, IP, KO, Simple Western, WB
NBP2-16669
Species: Hu, Mu, Rt
Applications: ICC/IF, IHC,  IHC-P, WB
NBP1-88502
Species: Hu
Applications: IHC,  IHC-P
AF3436
Species: Mu
Applications: IP, Neut, WB
NBP2-92546
Species: Hu, Mu
Applications: ELISA, ICC/IF, IHC, WB
NBP2-48836
Species: Ca, Hu
Applications: ICC/IF, IHC,  IHC-P
H00005729-B01P
Species: Hu
Applications: Flow, ICC/IF, WB
AF2335
Species: Mu
Applications: CyTOF-ready, Flow, ICC, IHC, IP, WB
NBP1-87404
Species: Hu, Mu, Rt
Applications: Flow, ICC/IF, IHC,  IHC-P, KD, WB
NBP1-46535
Species: Hu, Mu, Rb, Rt, Xp
Applications: ICC/IF, IHC-FrFl, IHC, IHC-Fr,  IHC-P, WB
NBP2-33950
Species: Hu, Mu
Applications: ICC/IF, IHC,  IHC-P, WB
NBP2-01249
Species: Hu, Mu, Rt
Applications: Flow, IHC,  IHC-P, WB

Publications for DPP9 Antibody (NBP1-89492) (0)

There are no publications for DPP9 Antibody (NBP1-89492).
By submitting your publication information earn gift cards and discounts for future purchases.

Reviews for DPP9 Antibody (NBP1-89492) (0)

There are no reviews for DPP9 Antibody (NBP1-89492). By submitting a review you will receive an Amazon e-Gift Card or Novus Product Discount.
  • Review with no image -- $10/€7/£6/$10 CAD/¥70 Yuan/¥1110 Yen
  • Review with an image -- $25/€18/£15/$25 CAD/¥150 Yuan/¥2500 Yen

Product General Protocols

Find general support by application which include: protocols, troubleshooting, illustrated assays, videos and webinars.

Video Protocols

ICC/IF Video Protocol

FAQs for DPP9 Antibody (NBP1-89492) (0)

There are no specific FAQs related to this product. Read our general customer & technical service FAQs.

Contact Information

Product PDFs

Calculators

Concentration Calculator

The concentration calculator allows you to quickly calculate the volume, mass or concentration of your vial. Simply enter your mass, volume, or concentration values for your reagent and the calculator will determine the rest.

=
÷

Review this Product

Be the first to review our DPP9 Antibody and receive a gift card or discount.

Bioinformatics

Gene Symbol DPP9