Cyclin G2 Antibody

Images

 
Western Blot: Cyclin G2 Antibody [NBP1-87518] - Analysis in control (vector only transfected HEK293T lysate) and CCNG2 over-expression lysate (Co-expressed with a C-terminal myc-DDK tag (3.1 kDa) in mammalian HEK293T ...read more
Immunocytochemistry/ Immunofluorescence: Cyclin G2 Antibody [NBP1-87518] - Staining of human cell line U-251 MG shows localization to nucleoplasm & cytosol. Antibody staining is shown in green.
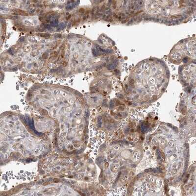
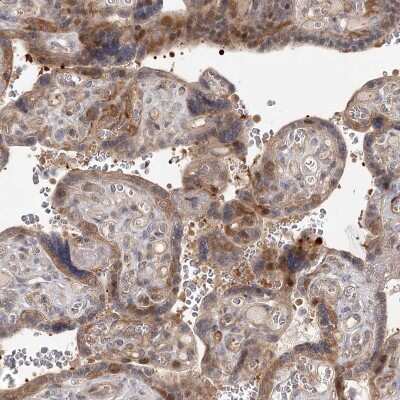
Immunohistochemistry-Paraffin: Cyclin G2 Antibody [NBP1-87518] - Staining of human placenta shows moderate to strong cytoplasmic positivity in trophoblastic cells.
Immunohistochemistry-Paraffin: Cyclin G2 Antibody [NBP1-87518] - Staining of human skeletal muscle shows no positivity in myocytes as expected.
Immunohistochemistry-Paraffin: Cyclin G2 Antibody [NBP1-87518] - Staining of human cerebellum shows moderate to strong cytoplasmic positivity in Purkinje cells.
Immunohistochemistry-Paraffin: Cyclin G2 Antibody [NBP1-87518] - Staining of human tonsil shows moderate to strong cytoplasmic positivity in germinal center cells.

Product Details

Summary
Product Discontinued
View other related Cyclin G2 Primary Antibodies

Order Details


    • Catalog Number
      NBP1-87518
    • Availability
      Product Discontinued

    Can't find what you are looking for? Use our Antibody Concierge Service & we will help you locate your antibody!

    Or feel free to contact us for alternative products.

Cyclin G2 Antibody Summary

Immunogen
This antibody was developed against Recombinant Protein corresponding to amino acids: PSVLALCLLNLEVETLKSVELLEILLLVKKHSKINDTEFFYWRELVSKCLAEYSSPECCKPDLKKLVWIVSRRTAQNLHNSYYSVPELPTIPEGGCFDESES
Predicted Species
Mouse (92%), Rat (93%). Backed by our 100% Guarantee.
Isotype
IgG
Clonality
Polyclonal
Host
Rabbit
Gene
CCNG2
Purity
Immunogen affinity purified
Innovator's Reward
Test in a species/application not listed above to receive a full credit towards a future purchase.

Applications/Dilutions

Dilutions
  • Immunocytochemistry/ Immunofluorescence 0.25-2 ug/ml
  • Immunohistochemistry 1:50 - 1:200
  • Immunohistochemistry-Paraffin 1:50-1:200
  • Western Blot 0.04-0.4 ug/ml
Application Notes
For IHC-Paraffin, HIER pH 6 retrieval is recommended. ICC/IF Fixation Permeabilization: Use PFA/Triton X-100.

Packaging, Storage & Formulations

Storage
Store at 4C short term. Aliquot and store at -20C long term. Avoid freeze-thaw cycles.
Buffer
PBS (pH 7.2) and 40% Glycerol
Preservative
0.02% Sodium Azide
Purity
Immunogen affinity purified

Alternate Names for Cyclin G2 Antibody

  • cyclin G2
  • cyclin-G2

Background

The eukaryotic cell cycle is governed by cyclin-dependent protein kinases (CDKs) whose activities are regulated by cyclins and CDK inhibitors. The 8 species of cyclins reported in mammals, cyclins A through H, share a conserved amino acid sequence of about 90 residues called the cyclin box. The amino acid sequence of cyclin G is well conserved among mammals. The nucleotide sequence of cyclin G1 and cyclin G2 are 53% identical. Unlike cyclin G1, cyclin G2 contains a C-terminal PEST protein destabilization motif, suggesting that cyclin G2 expression is tightly regulated through the cell cycle.

Limitations

This product is for research use only and is not approved for use in humans or in clinical diagnosis. Primary Antibodies are guaranteed for 1 year from date of receipt.

Customers Who Viewed This Item Also Viewed...

NBP2-92649
Species: Hu, Mu, Rt
Applications: ELISA, IHC,  IHC-P, WB
NB200-103
Species: Hu, Mu, Rt, Xp(-), Ye
Applications: CyTOF-ready, ELISA, Flow-IC, Flow, ICC/IF, IHC, IHC-Fr,  IHC-P, IP, WB
NBP2-16521
Species: Hu, Mu, Rt, Sq, Xp
Applications: ChIP, ICC/IF, IHC,  IHC-P, IP, KD, WB
NBP2-29463
Species: Pm, Hu, Pm, Mu
Applications: Flow, ICC/IF, IHC,  IHC-P, WB
NBP2-00776
Species: Ca, Hu, Pm, Mu, Rt
Applications: Flow, ICC/IF, IHC,  IHC-P, WB
MAB77491
Species: Hu
Applications: CyTOF-ready, Flow
NBP1-82455
Species: Hu
Applications: ICC/IF, IHC,  IHC-P, WB
NBP2-32840
Species: Hu, Pm, Mu, Rt
Applications: Flow, ICC/IF, IHC,  IHC-P, WB
NB600-607
Species: Hu, Rt
Applications: ELISA, IHC,  IHC-P, WB
AF6897
Species: Hu, Mu
Applications: IHC, Simple Western, WB
NBP3-13225
Species: Hu
Applications: ICC/IF, IHC,  IHC-P, WB
NBP2-38206
Species: Hu
Applications: IHC,  IHC-P, KD, WB
NBP3-38210
Species: Hu, Mu, Rt
Applications: ELISA, ICC/IF, IHC,  IHC-P, WB
NBP1-31308
Species: Bv, Hu, Mu, Rt
Applications: ICC/IF, IHC,  IHC-P, Simple Western, WB
NBP3-48071
Species: Hu, Mu, Rt
Applications: ELISA, IHC, WB
NBP2-45269
Species: Hu
Applications: Flow, ICC/IF, IHC,  IHC-P, WB
NBP2-19804
Species: Hu, Mu
Applications: ICC/IF, IHC,  IHC-P, WB
NBP2-15071
Species: Hu, Mu, Rt
Applications: ICC/IF, IHC,  IHC-P, KO, WB
NBP2-46404
Species: Hu, Mu, Rt
Applications: IHC,  IHC-P

Publications for Cyclin G2 Antibody (NBP1-87518) (0)

There are no publications for Cyclin G2 Antibody (NBP1-87518).
By submitting your publication information earn gift cards and discounts for future purchases.

Reviews for Cyclin G2 Antibody (NBP1-87518) (0)

There are no reviews for Cyclin G2 Antibody (NBP1-87518). By submitting a review you will receive an Amazon e-Gift Card or Novus Product Discount.
  • Review with no image -- $10/€7/£6/$10 CAD/¥70 Yuan/¥1110 Yen
  • Review with an image -- $25/€18/£15/$25 CAD/¥150 Yuan/¥2500 Yen

Product General Protocols

Find general support by application which include: protocols, troubleshooting, illustrated assays, videos and webinars.

Video Protocols

WB Video Protocol
ICC/IF Video Protocol

FAQs for Cyclin G2 Antibody (NBP1-87518) (0)

There are no specific FAQs related to this product. Read our general customer & technical service FAQs.

Secondary Antibodies

 

Isotype Controls

Additional Cyclin G2 Products

Research Areas for Cyclin G2 Antibody (NBP1-87518)

Find related products by research area.

Blogs on Cyclin G2

There are no specific blogs for Cyclin G2, but you can read our latest blog posts.

Contact Information

Product PDFs

Calculators

Concentration Calculator

The concentration calculator allows you to quickly calculate the volume, mass or concentration of your vial. Simply enter your mass, volume, or concentration values for your reagent and the calculator will determine the rest.

=
÷

Review this Product

Be the first to review our Cyclin G2 Antibody and receive a gift card or discount.

Bioinformatics

Gene Symbol CCNG2