CLEC18A Antibody - BSA Free

Images

 
Western Blot: CLEC18A Antibody - BSA Free [NBP3-47588] - HeLa cells were subjected to SDS PAGE followed by western blot with (CLEC18A antibody) at dilution of 1:500
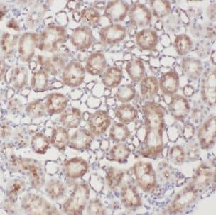
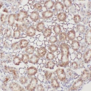
Immunohistochemistry: CLEC18A Antibody - BSA Free [NBP3-47588] - Immunohistochemistry of paraffin-embedded human kidney using (CLEC18A antibody) at dilution of 1:50

Product Details

Summary
Reactivity Hu, Mu, RtSpecies Glossary
Applications WB, ELISA, IHC
Clonality
Polyclonal
Host
Rabbit
Conjugate
Unconjugated
Format
BSA Free

Order Details

CLEC18A Antibody - BSA Free Summary

Immunogen
C-type lectin domain family 18, member A. (Uniprot# A5D8T8)
Isotype
IgG
Clonality
Polyclonal
Host
Rabbit
Purity
Immunogen affinity purified
Innovator's Reward
Test in a species/application not listed above to receive a full credit towards a future purchase.

Applications/Dilutions

Dilutions
  • ELISA
  • Immunohistochemistry 1:20-1:200
  • Western Blot 1:500-1:2000
Application Notes
Theoretical Molecular Weight is 47-50 kDa

Packaging, Storage & Formulations

Storage
Store at -20C. Avoid freeze-thaw cycles.
Buffer
PBS, 50% Glycerol, pH (7.3)
Preservative
0.02% Sodium Azide
Purity
Immunogen affinity purified

Alternate Names for CLEC18A Antibody - BSA Free

  • CLEC18A
  • Mrcl
  • MRCL1
  • MRLP2

Limitations

This product is for research use only and is not approved for use in humans or in clinical diagnosis. Primary Antibodies are guaranteed for 1 year from date of receipt.

Customers Who Viewed This Item Also Viewed...

NB100-565
Species: Hu, Mu, Rt
Applications: ICC/IF, IHC,  IHC-P, IP, KO, WB
MEP00B
Species: Mu
Applications: ELISA
NBP1-51911
Species: Hu, Mu
Applications: ChIP, IHC,  IHC-P, PEP-ELISA, WB
2914-HT
Species: Hu
Applications: BA

Publications for CLEC18A Antibody (NBP3-47588) (0)

There are no publications for CLEC18A Antibody (NBP3-47588).
By submitting your publication information earn gift cards and discounts for future purchases.

Reviews for CLEC18A Antibody (NBP3-47588) (0)

There are no reviews for CLEC18A Antibody (NBP3-47588). By submitting a review you will receive an Amazon e-Gift Card or Novus Product Discount.
  • Review with no image -- $10/€7/£6/$10 CAD/¥70 Yuan/¥1110 Yen
  • Review with an image -- $25/€18/£15/$25 CAD/¥150 Yuan/¥2500 Yen

Product General Protocols

Find general support by application which include: protocols, troubleshooting, illustrated assays, videos and webinars.

Video Protocols

WB Video Protocol

FAQs for CLEC18A Antibody (NBP3-47588) (0)

There are no specific FAQs related to this product. Read our general customer & technical service FAQs.

Customers Who Bought This Also Bought

Contact Information

Product PDFs

Calculators

Concentration Calculator

The concentration calculator allows you to quickly calculate the volume, mass or concentration of your vial. Simply enter your mass, volume, or concentration values for your reagent and the calculator will determine the rest.

=
÷

Review this Product

Be the first to review our CLEC18A Antibody - BSA Free and receive a gift card or discount.