beta-Arrestin 1 Antibody (ST51-08)

Images

 
Western Blot: beta-Arrestin 1 Antibody (ST51-08) [NBP2-67510] - Western blot analysis of beta-Arrestin 1 on different lysates. Proteins were transferred to a PVDF membrane and blocked with 5% BSA in PBS for 1 hour at ...read more
Immunocytochemistry/ Immunofluorescence: beta-Arrestin 1 Antibody (ST51-08) [NBP2-67510] - Beta Arrestin 1 in HeLa cells (green). The nuclear counter stain is DAPI (blue). Cells were fixed in paraformaldehyde, ...read more
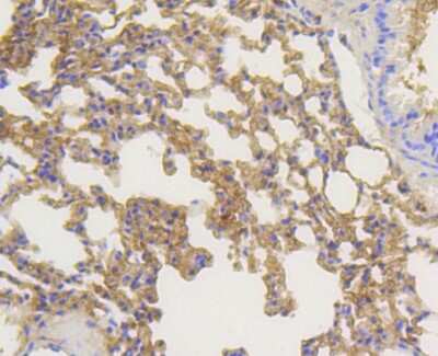
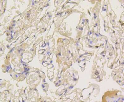
Immunohistochemistry-Paraffin: beta-Arrestin 1 Antibody (ST51-08) [NBP2-67510] - Analysis of paraffin-embedded mouse lung tissue using anti-beta Arrestin 1 antibody. Counter stained with hematoxylin.
Flow Cytometry: beta-Arrestin 1 Antibody (ST51-08) [NBP2-67510] - Analysis of Hela cells with beta Arrestin 1 antibody at 1:50 dilution (blue) compared with an unlabelled control (cells without incubation with primary ...read more
Genetic Strategies: Western Blot: beta-Arrestin 1 Antibody (ST51-08) [NBP2-67510] - Analysis of MIN6 and mouse pancreatic islets. Lane 1: Molecular Weight Ladder. Lanes 2-3: MIN6 cells (~10 ug). Lane 4: pooled ...read more
Western Blot: beta-Arrestin 1 Antibody (ST51-08) [NBP2-67510] - Analysis of beta Arrestin 1 on different lysates using anti-beta Arrestin 1 antibody at 1:1,000 dilution. Positive control: Lane 1: PC12 Lane 2: Jurkat.
Immunocytochemistry/ Immunofluorescence: beta-Arrestin 1 Antibody (ST51-08) [NBP2-67510] - Beta Arrestin 1 in PC12 cells (green). The nuclear counter stain is DAPI (blue). Cells were fixed in paraformaldehyde, ...read more
Immunocytochemistry/ Immunofluorescence: beta-Arrestin 1 Antibody (ST51-08) [NBP2-67510] - Beta Arrestin 1 in A549 cells (green). The nuclear counter stain is DAPI (blue). Cells were fixed in paraformaldehyde, ...read more
Immunohistochemistry-Paraffin: beta-Arrestin 1 Antibody (ST51-08) [NBP2-67510] - Analysis of paraffin-embedded human breast carcinoma tissue using anti-beta Arrestin 1 antibody. Counter stained with hematoxylin.
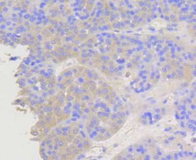
Immunohistochemistry-Paraffin: beta-Arrestin 1 Antibody (ST51-08) [NBP2-67510] - Analysis of paraffin-embedded human liver cancer tissue using anti-beta Arrestin 1 antibody. Counter stained with hematoxylin.
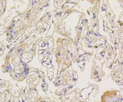
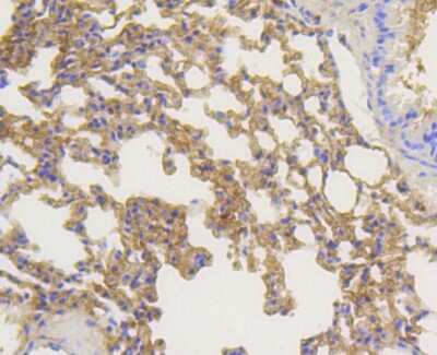
Immunohistochemistry-Paraffin: beta-Arrestin 1 Antibody (ST51-08) [NBP2-67510] - Analysis of paraffin-embedded human lung tissue using anti-beta Arrestin 1 antibody. Counter stained with hematoxylin.
Immunohistochemistry-Paraffin: beta-Arrestin 1 Antibody (ST51-08) [NBP2-67510] - Analysis of paraffin-embedded mouse brain tissue using anti-beta Arrestin 1 antibody. Counter stained with hematoxylin.

Product Details

Summary
Product Discontinued
View other related beta-Arrestin 1 Primary Antibodies
Validated by:
     

Genetic Strategies

   

Order Details


    • Catalog Number
      NBP2-67510
    • Availability
      Product Discontinued

    Can't find what you are looking for? Use our Antibody Concierge Service & we will help you locate your antibody!

    Or feel free to contact us for alternative products.

beta-Arrestin 1 Antibody (ST51-08) Summary

Additional Information
Recombinant Monoclonal Antibody.
Immunogen
Synthetic peptide within Human beta-Arrestin 1 aa 1-50 / 418. (SwissProt: P49407 Human; SwissProt: Q8BWG8 Mouse; SwissProt: P29066 Rat)
Localization
Cell membrane, Cell projection, Coated pit, Cytoplasm, Cytoplasmic vesicle, Membrane, Nucleus.
Isotype
IgG
Clonality
Monoclonal
Host
Rabbit
Gene
ARRB1
Purity
Protein A purified
Innovator's Reward
Test in a species/application not listed above to receive a full credit towards a future purchase.

Applications/Dilutions

Dilutions
  • Flow Cytometry 1:50-1:100
  • Immunocytochemistry/ Immunofluorescence 1:50-1:200
  • Immunohistochemistry
  • Immunohistochemistry-Paraffin 1:50-1:100
  • Immunoprecipitation
  • Knockout Validated
  • Western Blot 1:1000-1:2000
Reviewed Applications
Read 1 Review rated 4
using
NBP2-67510 in the following applications:

Packaging, Storage & Formulations

Storage
Store at 4C short term. Aliquot and store at -20C long term. Avoid freeze-thaw cycles.
Buffer
TBS (pH7.4), 0.05% BSA, 40% Glycerol
Preservative
0.05% Sodium Azide
Concentration
1 mg/ml
Purity
Protein A purified

Alternate Names for beta-Arrestin 1 Antibody (ST51-08)

  • ARB1
  • ARR1
  • ARRB1
  • arrestin 2
  • Arrestin beta-1
  • arrestin, beta 1
  • betaArrestin 1
  • beta-Arrestin 1
  • beta-arrestin-1

Background

Members of arrestin/beta-arrestin protein family are thought to participate in agonist-mediated desensitization ofG-protein-coupled receptors and cause specific dampening of cellular responses to stimuli such as hormones,neurotransmitters, or sensory signals. Arrestin beta 1 is a cytosolic protein and acts as a cofactor in thebeta-adrenergic receptor kinase (BARK) mediated desensitization of beta-adrenergic receptors. Besides the centralnervous system, it is expressed at high levels in peripheral blood leukocytes, and thus the BARK/beta-arrestin systemis believed to play a major role in regulating receptor-mediated immune functions. Alternatively spliced transcriptsencoding different isoforms of arrestin beta 1 have been described, however, their exact functions are not known.(provided by RefSeq)

Limitations

This product is for research use only and is not approved for use in humans or in clinical diagnosis. Primary Antibodies are guaranteed for 1 year from date of receipt.

Customers Who Viewed This Item Also Viewed...

NBP2-24569
Species: Bv, Ca, Ch, Eq, Hu, Mu, Pm, Rt, Xp, Ze
Applications: IHC,  IHC-P, Simple Western, WB
NBP2-25160
Species: Bv, Ca, Eq, Hu, Mu, Po, Rt
Applications: ICC/IF, IHC, WB
AF4339
Species: Hu, Mu, Rt
Applications: IHC, KO, WB
AF1230
Species: Hu, Mu, Rt
Applications: IHC, KO, WB
MAB4785
Species: Hu
Applications: WB
NLS418
Species: Hu
Applications: IHC,  IHC-P
NLS2756
Species: Hu, Pm
Applications: ICC, IHC,  IHC-P
MAB8458
Species: Hu
Applications: CyTOF-ready, Flow, ICC
NLS1017
Species: Bt, Bv, Ca, Eq, Hu, Mu
Applications: IHC,  IHC-P
NLS2576
Species: Hu, Pm, Rt
Applications: IHC,  IHC-P
MAB194
Species: Hu, Mu
Applications: CyTOF-ready, Flow, ICC, WB
664-LI
Species: Hu
Applications: BA
AF467
Species: Hu, Mu
Applications: CyTOF-ready, Flow, ICC, IHC, Simple Western, WB
NBP2-67510
Species: Hu, Mu, Rt
Applications: WB, Flow, ICC/IF, IHC, IP, KO

Publications for beta-Arrestin 1 Antibody (NBP2-67510) (0)

There are no publications for beta-Arrestin 1 Antibody (NBP2-67510).
By submitting your publication information earn gift cards and discounts for future purchases.

Review for beta-Arrestin 1 Antibody (NBP2-67510) (1) 41

Average Rating: 4
(Based on 1 review)
We have 1 review tested in 1 species: Mouse.

Reviews using NBP2-67510:
Filter by Applications
WB
(1)
All Applications
Filter by Species
Mouse
(1)
All Species
Images Ratings Applications Species Date Details
Western Blot beta-Arrestin 1 NBP2-67510
Enlarge
4
reviewed by:
Verified Customer
WB Mouse 04/22/2019
View

Summary

ApplicationWestern Blot
Sample TestedMin6 mouse insulinoma whole cell lysate,Mouse Pancreatic islet,Mouse Pancreatic islets
SpeciesMouse
LotHJ0307

Comments

CommentsLane 1: Molecular Weight Ladder. Lanes 2-3: Samples from MIN6 cells (Load: ~10ug). Lane 4: pooled wild-type pancreatic islets (load: ~5ug). Lane 5: pooled beta-arrestin 1 knockout pancreatic islets (load: ~5ug). Primary Antibody: Anti-beta-arrestin 1 Ab at 1:750 overnight at 4C. Secondary Antibody: Goat Anti-rabbit IgG: HRP at 1:3000 for 1hr RT.

Product General Protocols

Video Protocols

WB Video Protocol
ICC/IF Video Protocol

FAQs for beta-Arrestin 1 Antibody (NBP2-67510) (0)

There are no specific FAQs related to this product. Read our general customer & technical service FAQs.

Secondary Antibodies

 

Isotype Controls

Additional beta-Arrestin 1 Products

Research Areas for beta-Arrestin 1 Antibody (NBP2-67510)

Find related products by research area.

Blogs on beta-Arrestin 1

There are no specific blogs for beta-Arrestin 1, but you can read our latest blog posts.

Contact Information

Product PDFs

Calculators

Concentration Calculator

The concentration calculator allows you to quickly calculate the volume, mass or concentration of your vial. Simply enter your mass, volume, or concentration values for your reagent and the calculator will determine the rest.

=
÷

Recent Reviews

4
5
0
4
1
3
0
2
0
1
0

Verified Customer
04/22/2019
Application: WB
Species: Mouse

Bioinformatics

Gene Symbol ARRB1