STEAP2 Products

Antibodies
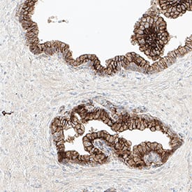
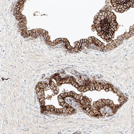
STEAP2 Antibody (1114318) [Un ...
STEAP2 Antibody (1114318) [Unconju...
MAB11742
Species: Hu
Applications: IHC, ICC/IF
Host: Mouse Monoclonal
Formulation Catalog # Availability Price  
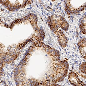
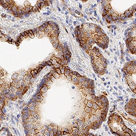
STEAP2 Antibody - BSA Free
STEAP2 Antibody - BSA Free
NBP3-45796
Species: Hu, Mu, Rt
Applications: WB, ELISA, IHC
Host: Rabbit Polyclonal
ELISA Kits
Human STEAP2 - Ready-To-Use ...
Human STEAP2 - Ready-To-Use ELISA...
NBP3-40541
Species: Hu
Applications: ELISA
Human STEAP2 ELISA Kit (Color ...
Human STEAP2 ELISA Kit (Colorimetric)
NBP3-40542
Species: Hu
Applications: ELISA
Proteins
Recombinant Human STEAP2 GST ...
Recombinant Human STEAP2 GST (N-Te...
H00261729-Q01
Species: Hu
Applications: WB, ELISA, MA, AP
STEAP2 Recombinant Protein An ...
STEAP2 Recombinant Protein Antigen
NBP1-83100PEP
Species: Hu
Applications: AC
STEAP2 Antibody Blocking Pept ...
STEAP2 Antibody Blocking Peptide
NBP1-76823PEP
Species: Hu
Applications: AC

Description

STEAP2 is predominantly expressed in prostate tissue, and is found to be upregulated in multiple cancer cell lines. The gene product is predicted to be a six transmembrane protein, and was shown to be a cell surface antigen significantly expressed at cell cell junctions.

Bioinformatics

Entrez Human
Mouse
Uniprot Human
Human
Product By Gene ID 261729
Alternate Names
  • EC 1.16.1
  • EC 1.16.1.-
  • IPCA1
  • metalloreductase STEAP2
  • PCANAP1STMP
  • prostate cancer associated protein 1
  • Prostate cancer-associated protein 1
  • Protein upregulated in metastatic prostate cancer
  • PUMPCn
  • six transmembrane epithelial antigen of prostate 2
  • six transmembrane epithelial antigen of the prostate 2
  • Six-transmembrane epithelial antigen of prostate 2
  • SixTransMembrane protein of prostate 1
  • STAMP1IPCA-1