TRMT61B Antibody - BSA Free

Images

 
Independent Antibodies: Staining of human cerebral cortex, duodenum, kidney and liver using NBP1-83641 (A) shows similar protein distribution across tissues to independent antibody NBP1-83640 (B).
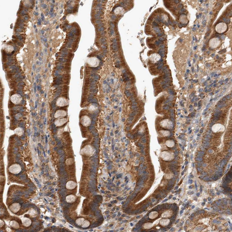
Staining of human duodenum shows strong granular cytoplasmic positivity in glandular cells.
Analysis in control (vector only transfected HEK293T lysate) and TRMT61B over-expression lysate (Co-expressed with a C-terminal myc-DDK tag (3.1 kDa) in mammalian HEK293T cells).
Staining of human liver shows moderate to strong granular cytoplasmic positivity in hepatocytes.
Staining of human cerebral cortex shows strong granular cytoplasmic positivity in neuronal cells.
Staining of human kidney shows strong granular cytoplasmic positivity in cells in tubules.

Product Details

Summary
Reactivity HuSpecies Glossary
Applications IHC
Clonality
Polyclonal
Host
Rabbit
Conjugate
Unconjugated
Format
BSA Free
Validated by:
 

Independent Antibodies

       

Order Details

View Available Formulations
Catalog# & Formulation Size Price

TRMT61B Antibody - BSA Free Summary

Description
Novus Biologicals Rabbit TRMT61B Antibody - BSA Free (NBP1-83641) is a polyclonal antibody validated for use in IHC. All Novus Biologicals antibodies are covered by our 100% guarantee.
Immunogen
This antibody was developed against Recombinant Protein corresponding to amino acids: KRGTAITFPKDINMILSMMDINPGDTVLEAGSGSGGMSLFLSKAVGSQGRVISFEVRKDHHDLAKKNYKHWRDSWKLSHVEEWPDNVDFIHKDISGATEDIKSLTFDAVALDMLN
Isotype
IgG
Clonality
Polyclonal
Host
Rabbit
Gene
TRMT61B
Purity
Immunogen affinity purified
Innovator's Reward
Test in a species/application not listed above to receive a full credit towards a future purchase.

Applications/Dilutions

Dilutions
  • Immunohistochemistry 1:20 - 1:50
  • Immunohistochemistry-Paraffin 1:20 - 1:50
Application Notes
For IHC-Paraffin, HIER pH 6 retrieval is recommended.
Control Peptide
TRMT61B Protein (NBP1-83641PEP)

Packaging, Storage & Formulations

Storage
Store at 4C short term. Aliquot and store at -20C long term. Avoid freeze-thaw cycles.
Buffer
PBS (pH 7.2) and 40% Glycerol
Preservative
0.02% Sodium Azide
Purity
Immunogen affinity purified

Alternate Names for TRMT61B Antibody - BSA Free

  • DKFZp564I2178
  • EC 2.1.1.36
  • FLJ20628
  • potential tRNA (adenine-N(1)-)-methyltransferase catalytic subunit TRMT61B
  • tRNA methyltransferase 61 homolog B (S. cerevisiae)

Limitations

This product is for research use only and is not approved for use in humans or in clinical diagnosis. Primary Antibodies are guaranteed for 1 year from date of receipt.

Customers Who Viewed This Item Also Viewed...

NBP2-13486
Species: Hu
Applications: ICC/IF, IHC,  IHC-P
MAB7447
Species: Hu
Applications: IHC, WB
NBP2-94200
Species: Hu, Mu, Rt
Applications: ELISA, IHC,  IHC-P, WB
NBP1-83641
Species: Hu
Applications: IHC

Publications for TRMT61B Antibody (NBP1-83641) (0)

There are no publications for TRMT61B Antibody (NBP1-83641).
By submitting your publication information earn gift cards and discounts for future purchases.

Reviews for TRMT61B Antibody (NBP1-83641) (0)

There are no reviews for TRMT61B Antibody (NBP1-83641). By submitting a review you will receive an Amazon e-Gift Card or Novus Product Discount.
  • Review with no image -- $10/€7/£6/$10 CAD/¥70 Yuan/¥1110 Yen
  • Review with an image -- $25/€18/£15/$25 CAD/¥150 Yuan/¥2500 Yen

Product General Protocols

Find general support by application which include: protocols, troubleshooting, illustrated assays, videos and webinars.

FAQs for TRMT61B Antibody (NBP1-83641) (0)

There are no specific FAQs related to this product. Read our general customer & technical service FAQs.

Customers Who Bought This Also Bought

Contact Information

Product PDFs

Calculators

Concentration Calculator

The concentration calculator allows you to quickly calculate the volume, mass or concentration of your vial. Simply enter your mass, volume, or concentration values for your reagent and the calculator will determine the rest.

=
÷

Review this Product

Be the first to review our TRMT61B Antibody - BSA Free and receive a gift card or discount.

Bioinformatics

Gene Symbol TRMT61B