TBC1D13 Antibody (OTI2C5) - Azide and BSA Free

Images

 
Western Blot: TBC1D13 Antibody (OTI2C5) - Azide and BSA Free [NBP2-74450] - Analysis of HEK293T cells were transfected with the pCMV6-ENTRY control (Left lane) or pCMV6-ENTRY TBC1D13.
Immunohistochemistry: TBC1D13 Antibody (OTI2C5) - Azide and BSA Free [NBP2-74450] - Analysis of Carcinoma of Human thyroid tissue. (Heat-induced epitope retrieval by 10mM citric buffer, pH6.0, 120C for 3min)
Western Blot: TBC1D13 Antibody (OTI2C5) - Azide and BSA Free [NBP2-74450] - Analysis of extracts (35ug) from 9 different cell lines by using TBC1D13 monoclonal antibody (HepG2: human; HeLa: human; SVT2: mouse; A549: ...read more
Immunohistochemistry: TBC1D13 Antibody (OTI2C5) - Azide and BSA Free [NBP2-74450] - Analysis of Carcinoma of Human liver tissue.(Heat-induced epitope retrieval by 10mM citric buffer, pH6.0, 120C for 3min)
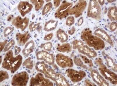
Immunohistochemistry: TBC1D13 Antibody (OTI2C5) - Azide and BSA Free [NBP2-74450] - Analysis of Human Kidney tissue. (Heat-induced epitope retrieval by 10mM citric buffer, pH6.0, 120C for 3min)

Product Details

Summary
Reactivity Hu, Mu, Rt, Ca, PmSpecies Glossary
Applications WB, IHC
Clone
OTI2C5
Clonality
Monoclonal
Host
Mouse
Conjugate
Unconjugated
Format
Azide and BSA Free
Concentration
LYOPH

Order Details

TBC1D13 Antibody (OTI2C5) - Azide and BSA Free Summary

Description
Novus Biologicals Mouse TBC1D13 Antibody (OTI2C5) - Azide and BSA Free (NBP2-45985) is a monoclonal antibody validated for use in IHC and WB. All Novus Biologicals antibodies are covered by our 100% guarantee.
Immunogen
Full length human recombinant protein of human TBC1D13 (NP_060671) produced in HEK293T cell.
Isotype
IgG1
Clonality
Monoclonal
Host
Mouse
Gene
TBC1D13
Purity
Immunogen affinity purified
Innovator's Reward
Test in a species/application not listed above to receive a full credit towards a future purchase.

Applications/Dilutions

Dilutions
  • Immunohistochemistry 1:150
  • Immunohistochemistry-Paraffin
  • Western Blot 1:2000
Theoretical MW
46.4 kDa.
Disclaimer note: The observed molecular weight of the protein may vary from the listed predicted molecular weight due to post translational modifications, post translation cleavages, relative charges, and other experimental factors.

Reactivity Notes

Please note that this antibody is reactive to Mouse and derived from the same host, Mouse. Mouse-On-Mouse blocking reagent may be needed for IHC and ICC experiments to reduce high background signal. You can find these reagents under catalog numbers PK-2200-NB and MP-2400-NB. Please contact Technical Support if you have any questions.

Packaging, Storage & Formulations

Storage
Store at -20C. Avoid freeze-thaw cycles.
Buffer
Lyophilized from PBS (pH 7.3) with 8% Trehalose
Preservative
No Preservative
Concentration
LYOPH
Purity
Immunogen affinity purified
Reconstitution Instructions
we recommend adding 100uL distilled water to a final antibody concentration of about 1 mg/mL. To use this carrier-free antibody for conjugation experiment, we strongly recommend performing another round of desalting process.

Alternate Names for TBC1D13 Antibody (OTI2C5) - Azide and BSA Free

  • FLJ10743
  • TBC1 domain family member 13
  • TBC1 domain family, member 13

Background

TBC1D13 may act as a GTPase-activating protein for Rab family protein(s)

Limitations

This product is for research use only and is not approved for use in humans or in clinical diagnosis. Primary Antibodies are guaranteed for 1 year from date of receipt.

Customers Who Viewed This Item Also Viewed...

MAB1417
Species: Bv, Hu, Mu
Applications: ICC, IHC
NBP1-49533
Species: Hu, Mu, Pl, Rt
Applications: Flow-IC, Flow, ICC/IF, IHC,  IHC-P, KD, WB
NBP2-23392
Species: Hu
Applications: PAGE, WB
NBP2-04611
Species: Hu
Applications: WB
NBP2-20042
Species: Ha, Hu, Mu, Rt
Applications: ICC/IF, IHC,  IHC-P, WB
NBP1-54654
Species: Hu
Applications: IHC,  IHC-P, WB

Publications for TBC1D13 Antibody (NBP2-74450) (0)

There are no publications for TBC1D13 Antibody (NBP2-74450).
By submitting your publication information earn gift cards and discounts for future purchases.

Reviews for TBC1D13 Antibody (NBP2-74450) (0)

There are no reviews for TBC1D13 Antibody (NBP2-74450). By submitting a review you will receive an Amazon e-Gift Card or Novus Product Discount.
  • Review with no image -- $10/€7/£6/$10 CAD/¥70 Yuan/¥1110 Yen
  • Review with an image -- $25/€18/£15/$25 CAD/¥150 Yuan/¥2500 Yen

Product General Protocols

Find general support by application which include: protocols, troubleshooting, illustrated assays, videos and webinars.

Video Protocols

WB Video Protocol

FAQs for TBC1D13 Antibody (NBP2-74450) (0)

There are no specific FAQs related to this product. Read our general customer & technical service FAQs.

Secondary Antibodies

 

Isotype Controls

Additional TBC1D13 Products

Research Areas for TBC1D13 Antibody (NBP2-74450)

Find related products by research area.

Blogs on TBC1D13

There are no specific blogs for TBC1D13, but you can read our latest blog posts.

Customers Who Bought This Also Bought

Contact Information

Product PDFs

Calculators

Concentration Calculator

The concentration calculator allows you to quickly calculate the volume, mass or concentration of your vial. Simply enter your mass, volume, or concentration values for your reagent and the calculator will determine the rest.

=
÷

Review this Product

Be the first to review our TBC1D13 Antibody (OTI2C5) - Azide and BSA Free and receive a gift card or discount.

Bioinformatics

Gene Symbol TBC1D13