STAC2 Antibody - BSA Free

Images

 
Western Blot: STAC2 Antibody - BSA Free [NBP3-45804] - SH-SY5Y cells were subjected to SDS PAGE followed by western blot with (STAC2 Antibody) at dilution of 1:300
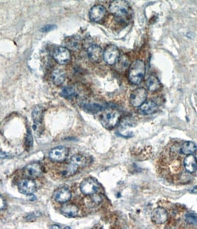
Immunohistochemistry: STAC2 Antibody - BSA Free [NBP3-45804] - Immunohistochemistry of paraffin-embedded human prostate hyperplasia slide using (STAC2 Antibody) at dilution of 1:50

Product Details

Summary
Reactivity HuSpecies Glossary
Applications WB, ELISA, IHC
Clonality
Polyclonal
Host
Rabbit
Conjugate
Unconjugated
Format
BSA Free

Order Details

STAC2 Antibody - BSA Free Summary

Description
Novus Biologicals Rabbit STAC2 Antibody - BSA Free (NBP3-45804) is a polyclonal antibody validated for use in IHC, WB and ELISA. All Novus Biologicals antibodies are covered by our 100% guarantee.
Immunogen
SH3 and cysteine rich domain 2. (Uniprot# Q6ZMT1)
Isotype
IgG
Clonality
Polyclonal
Host
Rabbit
Gene
STAC2
Purity
Immunogen affinity purified
Innovator's Reward
Test in a species/application not listed above to receive a full credit towards a future purchase.

Applications/Dilutions

Dilutions
  • ELISA
  • Immunohistochemistry 1:20-1:200
  • Western Blot 1:500-1:2000
Application Notes
Theoretical Molecular Weight is 42-45 kDa

Packaging, Storage & Formulations

Storage
Store at -20C. Avoid freeze-thaw cycles.
Buffer
PBS, 50% Glycerol, pH (7.3)
Preservative
0.02% Sodium Azide
Purity
Immunogen affinity purified

Alternate Names for STAC2 Antibody - BSA Free

  • 24b2/STAC2
  • MGC129694
  • SH3 and cysteine rich domain 2,24b2
  • SH3 and cysteine-rich domain-containing protein 2
  • Src homology 3 and cysteine-rich domain-containing protein 2

Limitations

This product is for research use only and is not approved for use in humans or in clinical diagnosis. Primary Antibodies are guaranteed for 1 year from date of receipt.

Customers Who Viewed This Item Also Viewed...

H00006769-D01P
Species: Hu, Mu, Rt
Applications: WB
AF1404
Species: Mu, Rt
Applications: Block, IHC, Simple Western, WB
AF1056
Species: Rt
Applications: IHC, WB
NBP3-45804
Species: Hu
Applications: WB, ELISA, IHC

Publications for STAC2 Antibody (NBP3-45804) (0)

There are no publications for STAC2 Antibody (NBP3-45804).
By submitting your publication information earn gift cards and discounts for future purchases.

Reviews for STAC2 Antibody (NBP3-45804) (0)

There are no reviews for STAC2 Antibody (NBP3-45804). By submitting a review you will receive an Amazon e-Gift Card or Novus Product Discount.
  • Review with no image -- $10/€7/£6/$10 CAD/¥70 Yuan/¥1110 Yen
  • Review with an image -- $25/€18/£15/$25 CAD/¥150 Yuan/¥2500 Yen

Product General Protocols

Find general support by application which include: protocols, troubleshooting, illustrated assays, videos and webinars.

Video Protocols

WB Video Protocol

FAQs for STAC2 Antibody (NBP3-45804) (0)

There are no specific FAQs related to this product. Read our general customer & technical service FAQs.

Customers Who Bought This Also Bought

Contact Information

Product PDFs

Calculators

Concentration Calculator

The concentration calculator allows you to quickly calculate the volume, mass or concentration of your vial. Simply enter your mass, volume, or concentration values for your reagent and the calculator will determine the rest.

=
÷

Review this Product

Be the first to review our STAC2 Antibody - BSA Free and receive a gift card or discount.

Bioinformatics

Gene Symbol STAC2