RSPH4A Antibody - BSA Free

Images

 
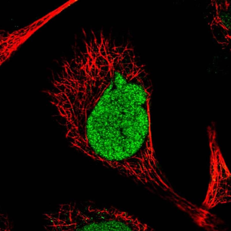
Staining of human cell line A-431 shows localization to nucleus.
Orthogonal Strategies: Immunohistochemistry-Paraffin: RSPH4A Antibody [NBP1-90573] - Staining in human fallopian tube and liver tissues using anti-RSPH4A antibody. Corresponding RSPH4A RNA-seq data are presented ...read more
Immunohistochemistry-Paraffin: RSPH4A Antibody [NBP1-90573] - Staining of human fallopian tube shows high expression.
Immunohistochemistry-Paraffin: RSPH4A Antibody [NBP1-90573] - Staining of human liver shows low expression as expected.

Product Details

Summary
Reactivity HuSpecies Glossary
Applications ICC/IF, IHC
Clonality
Polyclonal
Host
Rabbit
Conjugate
Unconjugated
Format
BSA Free
Validated by:
       

Orthogonal Strategies

 

Order Details

View Available Formulations
Catalog# & Formulation Size Price

RSPH4A Antibody - BSA Free Summary

Description
Novus Biologicals Rabbit RSPH4A Antibody - BSA Free (NBP1-90573) is a polyclonal antibody validated for use in IHC and ICC/IF. Anti-RSPH4A Antibody: Cited in 1 publication. All Novus Biologicals antibodies are covered by our 100% guarantee.
Immunogen
This antibody was developed against Recombinant Protein corresponding to amino acids: RPWEGKTAASPQYSEPESSEPLEAKQGPETGRQSRSSRPWSPQSRAKTPLGGPAGPETSSPAPVSPREPSSSP
Isotype
IgG
Clonality
Polyclonal
Host
Rabbit
Gene
RSPH4A
Purity
Affinity purified
Innovator's Reward
Test in a species/application not listed above to receive a full credit towards a future purchase.

Applications/Dilutions

Dilutions
  • Immunocytochemistry/ Immunofluorescence 0.25-2 ug/ml
  • Immunohistochemistry 1:50 - 1:200
  • Immunohistochemistry-Paraffin 1:50 - 1:200
Application Notes
For IHC-Paraffin, HIER pH 6 retrieval is recommended. ICC/IF Fixation/Permeabilization: PFA/Triton X-100.
Control Peptide
RSPH4A Protein (NBP1-90573PEP)
Publications
Read Publication using NBP1-90573.

Reactivity Notes

Reactivity reported in scientific literature (PMID: 24518672)

Packaging, Storage & Formulations

Storage
Store at 4C short term. Aliquot and store at -20C long term. Avoid freeze-thaw cycles.
Buffer
PBS (pH 7.2) and 40% Glycerol
Preservative
0.02% Sodium Azide
Purity
Affinity purified

Alternate Names for RSPH4A Antibody - BSA Free

  • MGC126303
  • radial spoke head 4 homolog A (Chlamydomonas)
  • radial spokehead-like 3

Limitations

This product is for research use only and is not approved for use in humans or in clinical diagnosis. Primary Antibodies are guaranteed for 1 year from date of receipt.

Customers Who Viewed This Item Also Viewed...

NBP1-86750
Species: Hu
Applications: ICC/IF, IHC,  IHC-P
NBP1-89839
Species: Hu, Mu
Applications: IHC,  IHC-P, WB

Publications for RSPH4A Antibody (NBP1-90573)(1)

Reviews for RSPH4A Antibody (NBP1-90573) (0)

There are no reviews for RSPH4A Antibody (NBP1-90573). By submitting a review you will receive an Amazon e-Gift Card or Novus Product Discount.
  • Review with no image -- $10/€7/£6/$10 CAD/¥70 Yuan/¥1110 Yen
  • Review with an image -- $25/€18/£15/$25 CAD/¥150 Yuan/¥2500 Yen

Product General Protocols

Find general support by application which include: protocols, troubleshooting, illustrated assays, videos and webinars.

Video Protocols

ICC/IF Video Protocol

FAQs for RSPH4A Antibody (NBP1-90573) (0)

There are no specific FAQs related to this product. Read our general customer & technical service FAQs.

Customers Who Bought This Also Bought

Contact Information

Product PDFs

Calculators

Concentration Calculator

The concentration calculator allows you to quickly calculate the volume, mass or concentration of your vial. Simply enter your mass, volume, or concentration values for your reagent and the calculator will determine the rest.

=
÷

Review this Product

Be the first to review our RSPH4A Antibody - BSA Free and receive a gift card or discount.

Bioinformatics

Gene Symbol RSPH4A