RNF180 Antibody

Images

 
Immunohistochemistry-Paraffin: RNF180 Antibody [NBP1-86127] - Staining of human cerebral cortex shows strong positivity in neuropil.
Immunohistochemistry-Paraffin: RNF180 Antibody [NBP1-86127] - Staining of human endometrium shows weak membranous positivity in glandular cells.
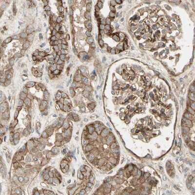
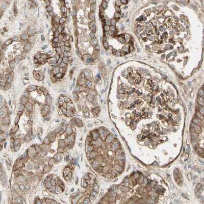
Immunohistochemistry-Paraffin: RNF180 Antibody [NBP1-86127] - Staining of human kidney shows weak to moderate membranous positivity.
Immunohistochemistry-Paraffin: RNF180 Antibody [NBP1-86127] - Staining of human placenta shows low positivity in trophoblastic cells as expected.
Immunohistochemistry-Paraffin: RNF180 Antibody [NBP1-86127] - Staining of human parathyroid gland shows moderate membranous positivity in glandular cells.

Product Details

Summary
Product Discontinued
View other related RNF180 Primary Antibodies

Order Details


    • Catalog Number
      NBP1-86127
    • Availability
      Product Discontinued

    Can't find what you are looking for? Use our Antibody Concierge Service & we will help you locate your antibody!

    Or feel free to contact us for alternative products.

RNF180 Antibody Summary

Immunogen
This antibody was developed against Recombinant Protein corresponding to amino acids: EKLTLLPTLYEIHSKTTAYSRLNETQPIDLSGLPLQSSKNSYSFQNPSSFDPSMLLQRFSVAPHETQTQRGGEFQCGLEAASVYSDHTNTNNLTFLMDLPSAGRSMPEASDQEEHLSPLDFLHSAN
Isotype
IgG
Clonality
Polyclonal
Host
Rabbit
Gene
RNF180
Purity
Immunogen affinity purified
Innovator's Reward
Test in a species/application not listed above to receive a full credit towards a future purchase.

Applications/Dilutions

Dilutions
  • Immunohistochemistry 1:50 - 1:200
  • Immunohistochemistry-Paraffin 1:50 - 1:200
Application Notes
For IHC-Paraffin, HIER pH 6 retrieval is recommended.
Publications
Read Publications using
NBP1-86127 in the following applications:

Reactivity Notes

Reactivity reported in scientific literature (PMID: 23435261)

Packaging, Storage & Formulations

Storage
Store at 4C short term. Aliquot and store at -20C long term. Avoid freeze-thaw cycles.
Buffer
PBS (pH 7.2) and 40% Glycerol
Preservative
0.02% Sodium Azide
Purity
Immunogen affinity purified

Alternate Names for RNF180 Antibody

  • E3 ubiquitin-protein ligase RNF180
  • EC 6.3.2.-
  • MGC120328
  • ring finger protein 180MGC120326

Limitations

This product is for research use only and is not approved for use in humans or in clinical diagnosis. Primary Antibodies are guaranteed for 1 year from date of receipt.

Customers Who Viewed This Item Also Viewed...

NBP2-21590
Species: Hu, Mu
Applications: ICC/IF, IHC-Fr, Simple Western, WB
NBP2-29373
Species: Hu, Mu, Rt
Applications: Flow-CS, Flow, ICC/IF
973-TM
Species: Hu
Applications: InhibAct
NB200-106
Species: Mu, Rt
Applications: ELISA, ICC/IF, IHC, IHC-Fr,  IHC-P, WB
MAB1417
Species: Bv, Hu, Mu
Applications: ICC, IHC
NBP2-24716
Species: Hu, Mu, Pm
Applications: ICC/IF, IHC,  IHC-P, WB
NBP2-21037
Species: Hu
Applications: IHC,  IHC-P, WB
NBP1-78983
Species: Hu, Mu
Applications: ICC/IF, IHC,  IHC-P, WB (-)
NBP2-31361
Species: Hu
Applications: IHC,  IHC-P, WB
NBP1-81988
Species: Hu
Applications: IHC,  IHC-P

Publications for RNF180 Antibody (NBP1-86127)(2)

We have publications tested in 1 confirmed species: Human.

We have publications tested in 1 application: IF/IHC.


Filter By Application
IF/IHC
(1)
All Applications
Filter By Species
Human
(1)
All Species
Showing Publications 1 - 2 of 2.
Publications using NBP1-86127 Applications Species
Stadler C, Rexhepaj E, Singan VR et al. Immunofluorescence and fluorescent-protein tagging show high correlation for protein localization in mammalian cells. Nat Methods 2013-04-01 [PMID: 23435261]
Zhang E, Tang H, Guan Y et al. Overexpression of RNF180 Inhibits Progression and Metastasis by Epithelial Mesenchymal Transformation and Immune Infiltration in Renal Cancer Research Square 2022-02-16 (IF/IHC, Human) IF/IHC Human

Reviews for RNF180 Antibody (NBP1-86127) (0)

There are no reviews for RNF180 Antibody (NBP1-86127). By submitting a review you will receive an Amazon e-Gift Card or Novus Product Discount.
  • Review with no image -- $10/€7/£6/$10 CAD/¥70 Yuan/¥1110 Yen
  • Review with an image -- $25/€18/£15/$25 CAD/¥150 Yuan/¥2500 Yen

Product General Protocols

Find general support by application which include: protocols, troubleshooting, illustrated assays, videos and webinars.

FAQs for RNF180 Antibody (NBP1-86127) (0)

There are no specific FAQs related to this product. Read our general customer & technical service FAQs.

Secondary Antibodies

 

Isotype Controls

Additional RNF180 Products

Research Areas for RNF180 Antibody (NBP1-86127)

Find related products by research area.

Blogs on RNF180

There are no specific blogs for RNF180, but you can read our latest blog posts.

Contact Information

Product PDFs

Calculators

Concentration Calculator

The concentration calculator allows you to quickly calculate the volume, mass or concentration of your vial. Simply enter your mass, volume, or concentration values for your reagent and the calculator will determine the rest.

=
÷

Review this Product

Be the first to review our RNF180 Antibody and receive a gift card or discount.

Bioinformatics

Gene Symbol RNF180