R9AP Antibody - BSA Free

Images

 
Immunohistochemistry-Paraffin: R9AP Antibody [NBP2-48946] - Staining of human retina shows strong cytoplasmic positivity in rods.
Staining of human liver shows no positivity in hepatocytes as expected.
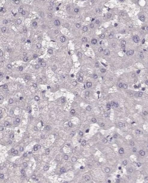
Staining of human pancreas shows no positivity in exocrine glandular cells as expected.
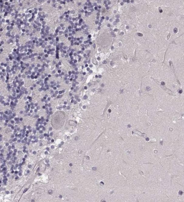
Staining of human cerebellum shows no positivity in Purkinje cells as expected.

Product Details

Summary
Reactivity HuSpecies Glossary
Applications IHC
Clonality
Polyclonal
Host
Rabbit
Conjugate
Unconjugated
Format
BSA Free

Order Details

View Available Formulations
Catalog# & Formulation Size Price

R9AP Antibody - BSA Free Summary

Description
Novus Biologicals Rabbit R9AP Antibody - BSA Free (NBP2-48946) is a polyclonal antibody validated for use in IHC. All Novus Biologicals antibodies are covered by our 100% guarantee.
Immunogen
This antibody was developed against a recombinant protein corresponding to amino acids: LDGLNKTTACYHHLVLTVGGSADSQDLRQELQKTRQKAQELAVSTCARLTAVLRDRGLAADERAEFERLWVAFSGCLDLLEAD
Isotype
IgG
Clonality
Polyclonal
Host
Rabbit
Gene
RGS9BP
Purity
Affinity purified
Innovator's Reward
Test in a species/application not listed above to receive a full credit towards a future purchase.

Applications/Dilutions

Dilutions
  • Immunohistochemistry 1:200 - 1:500
  • Immunohistochemistry-Paraffin 1:200 - 1:500
Application Notes
IHC-Paraffin, HIER pH 6 retrieval is recommended.
Control Peptide
R9AP Recombinant Protein Antigen (NBP2-48946PEP)

Reactivity Notes

Mouse (87%), Rat (84%)

Packaging, Storage & Formulations

Storage
Store at 4C short term. Aliquot and store at -20C long term. Avoid freeze-thaw cycles.
Buffer
PBS (pH 7.2) and 40% Glycerol
Preservative
0.02% Sodium Azide
Purity
Affinity purified

Alternate Names for R9AP Antibody - BSA Free

  • PERRS
  • R9AP
  • regulator of G protein signaling 9 binding protein
  • RGS9

Limitations

This product is for research use only and is not approved for use in humans or in clinical diagnosis. Primary Antibodies are guaranteed for 1 year from date of receipt.

Customers Who Viewed This Item Also Viewed...

NBP3-46207
Species: Hu, Mu, Rt
Applications: ELISA, IHC, IP, WB
NBP3-46743
Species: Hu, Mu, Rt
Applications: ELISA, IHC, WB
NB100-56658
Species: Hu, Mu, Rt
Applications: WB
NBP1-32728
Species: Hu, Mu, Rt
Applications: ICC/IF, IHC,  IHC-P, IP, WB
NB100-56659
Species: Hu, Mu, Rt
Applications: WB
664-LI
Species: Hu
Applications: BA
NBP2-46123
Species: Hu
Applications: ICC/IF, IHC,  IHC-P, WB
NBP2-25160
Species: Bv, Ca, Eq, Hu, Mu, Po, Rt
Applications: ICC/IF, IHC, WB
NBP3-25636
Species: Hu, Mu, Rt
Applications: ICC/IF, IHC,  IHC-P, WB
NLS418
Species: Hu
Applications: IHC,  IHC-P
NLS2756
Species: Hu, Pm
Applications: ICC, IHC,  IHC-P
MAB8458
Species: Hu
Applications: CyTOF-ready, Flow, ICC
MAB194
Species: Hu, Mu
Applications: CyTOF-ready, Flow, ICC, WB
NBP2-48946
Species: Hu
Applications: IHC

Publications for R9AP Antibody (NBP2-48946) (0)

There are no publications for R9AP Antibody (NBP2-48946).
By submitting your publication information earn gift cards and discounts for future purchases.

Reviews for R9AP Antibody (NBP2-48946) (0)

There are no reviews for R9AP Antibody (NBP2-48946). By submitting a review you will receive an Amazon e-Gift Card or Novus Product Discount.
  • Review with no image -- $10/€7/£6/$10 CAD/¥70 Yuan/¥1110 Yen
  • Review with an image -- $25/€18/£15/$25 CAD/¥150 Yuan/¥2500 Yen

Product General Protocols

Find general support by application which include: protocols, troubleshooting, illustrated assays, videos and webinars.

FAQs for R9AP Antibody (NBP2-48946) (0)

There are no specific FAQs related to this product. Read our general customer & technical service FAQs.

Customers Who Bought This Also Bought

Contact Information

Product PDFs

Calculators

Concentration Calculator

The concentration calculator allows you to quickly calculate the volume, mass or concentration of your vial. Simply enter your mass, volume, or concentration values for your reagent and the calculator will determine the rest.

=
÷

Review this Product

Be the first to review our R9AP Antibody - BSA Free and receive a gift card or discount.

Bioinformatics

Gene Symbol RGS9BP